치주염치료비용보다 '이것'이 중요합니다
안녕하세요.
치주염치료비용 찾고 계신가요?
디데이치과 대표원장 김무진입니다.

환자분들의 건강한 미소를 위해
항상 최선을 다하고 있습니다.
최근에 정말 많은 분들이
치주염 때문에 걱정하시더라고요.
원장님,
치주염 치료비용이
너무 비싸다던데
얼마나 들까요?
라고 물어보시는 분들이 정말 많습니다.
그런데 사실 치주염에서
가장 중요한 건 비용이 아닙니다.
치료 시기를 놓치면 비용은 몇 배로 늘어나고,
더 심각한 문제들이 생기거든요.

잇몸에서 피가 나거나 붓는 증상을
그냥 방치하고 계시다면,
이 글을 꼭 끝까지 읽어보시길 바랍니다.
치주염이 진행되면서 생기는 무서운 일들과 정말 중요한 것이 무엇인지 자세히 말씀드리겠습니다.
<목차>
- 치주염치료비용,
치주염 방치하면 생기는 일들
- 치주염치료비용,
치주염에서 정말 중요한 것
- 치주염치료비용,
디데이치과에서 드리는 조언
- 치주염치료비용,
치주염 방치하면 생기는 일들
치주염을 그냥 놔두면 정말
무서운 일들이 연쇄적으로 일어납니다.
처음에는 단순히 잇몸에서
피가 나는 정도로 시작하지만,
시간이 지나면서 상황이 완전히 달라지거든요.

출처:헬스조선
가장 먼저 잇몸뼈가 녹기 시작합니다.
이건 마치 집의 기초가
무너지는 것과 같은 상황이에요.
기초가 약해지면 그 위의 치아들이
하나둘씩 흔들리기 시작하죠.

더 심각한 건 다른 질병들과의 연관성입니다.
치주염균이 혈관을 타고 온몸으로 퍼지면서
심혈관 질환, 당뇨병 악화, 심지어 치매 위험까지
높인다는 연구 결과들이 계속 나오고 있습니다.
실제로 만성 치주염 환자분들은
심근경색 위험이 4배나 높다는 보고도 있어요.
단순히 입안의 문제가 아니라
전신 건강에 직접적인 영향을 미치는 겁니다.
- 치주염치료비용,
치주염에서 정말 중요한 것
그렇다면 치주염에서
가장 중요한 것은 무엇일까요?
바로 '조기 발견과 적절한 치료 시기'입니다.
초기 치은염 단계에서는 간단한
스케일링만으로도 완전히 회복이 가능합니다.
이때 치료비용은 부담스럽지 않죠.
하지만 치주염으로 진행되면
상황이 완전히 달라집니다.
중등도 치주염이 되면 치근활택술,
치주소파술 같은 더 복잡한 치료가 필요해지고,
심한 경우에는 잇몸수술이나
뼈이식까지 해야 할 수 있거든요.
이렇게 되면 치료비용은
몇십 배로 늘어날 수 있습니다.
가장 무서운 건 치아를 뽑아야 하는
상황까지 가는 경우입니다.
그러면 임플란트나 브릿지 같은
보철치료가 필요해지는데,
이때의 비용은 정말 상상을 초월하죠.

결국 비용을 아끼려고 초기 치료를 미뤘다가
나중에 몇십 배의 비용을 지불하게 되는
악순환이 반복되는 겁니다.
- 치주염치료비용,
디데이치과에서 드리는 조언
저는 항상 환자분들께 이렇게 말씀드립니다.
"치주염은 완치보다는
관리가 중요한 만성질환입니다."
정기적인 검진과 스케일링을 통해 초기에
발견하고 관리하는 것이 가장 현명한 방법이에요.

3-6개월마다 한 번씩 치과에 오셔서
잇몸 상태를 점검받으시고,
집에서는 올바른 칫솔질과 치실 사용을
생활화하시는 것이 중요합니다.
특히 40대 이후부터는 더욱 신경 쓰셔야 합니다.
나이가 들면서 치주염 발병률이
급격히 높아지거든요.

양치할 때 피가 나거나
잇몸이 붓는 증상이 있다면
절대 방치하지 마시고 바로 치과에 오세요.
비용이 걱정되신다면,
더더욱 미루지 마세요.
초기에 치료하면 정말 부담스럽지 않은
비용으로 해결할 수 있지만, 늦어질수록 비용은 기하급수적으로 늘어나거든요.


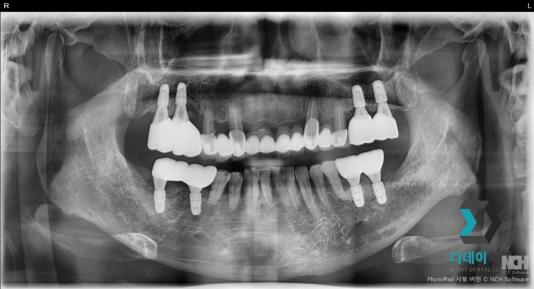
25-07-15
양쪽 위아래 심한 치주염으로 발치 후 즉시 임플란트 식립
치주염에서 가장 중요한 건
비용이 아니라 시기입니다.
건강한 잇몸을 유지하셔서
평생 자신의 치아로 맛있게 드시고
환하게 웃으실 수 있기를 진심으로 바랍니다.
| 꼭 필요한 치료만 정직하게 권하는 곳디데이치과 네이버 예약 ✔ |
| 서울 디데이치과 진료 문의 |
|---|
| 대표전화 : 02-568-2877 (바로가기)네이버 톡톡 문의 (바로 가기) |

| 본 게시물은 의료광고법 제56조 1항을 준수하여, 의료 정보 제공 및 병원 홍보를 목적으로 디데이치과의원에서 직접 작성하였습니다.다만, 블로그에서 제공해 드리는 정보는 참조용으로만 활용하시고, 정확한 개인의 증상 파악은 의료기관에 직접 내방하시어 의료진을 통해 확인하실 것을 권유 드립니다.치과에서 진행되는 모든 시술 및 수술(임플란트 포함)은 개인에 따라 부작용 (염증, 출혈, 부기, 신경 손상 등) 가능성이 있습니다. 따라서 사전에 의료진과 충분한 상담을 통해 결정하시길 바랍니다.게시물의 치료 사진은 실제 본원에서 모든 치료 과정을 마친 환자분의 동의하에 촬영되었습니다. 전후 사진은 동일인이며, 동일 조건하에 촬영되었음을 밝힙니다. |
치주염치료비용보다 '이것'이 중요합니다








