아카이브 요약
이 페이지의 역할
디데이치과의원의 네이버 블로그 원문을 보존한 아카이브 페이지입니다. 치아미백 카테고리의 선릉역치아미백후기 보기 전에 글을 통해 병원의 한국어 정보 제공 방식과 진료 관련 안내 톤을 확인할 수 있습니다.
원문 검증
필요하면 원문 블로그와 병원 프로필로 바로 이동해 문맥을 다시 확인할 수 있습니다.
출처 아카이브 열기아카이브된 블로그 글
디데이치과의원 · 통합치의학과 전문의 2명의 솔직한 치과 이야기
선릉역치아미백후기 보기 전에 '이것' 2가지는 알아야 합니다 치아미백후기 안녕하세요. 디데이치과 오태훈 대표원장입니다. 원장님, 미백 받고 나서 오히려 더 불만족스러워요. 얼마 전 다른 치과에서 미백을 받고 오신 30대 중반 여성분이 하신 말씀입니다. 돈과 시간...
게시일
2025년 12월 17일
원문 기준으로 확인된 발행일입니다.
카테고리
치아미백
원문 블로그 카테고리를 정리해 함께 표시합니다.
이미지 수
19
현재 아카이브에 연결된 이미지 수입니다.
아카이브 요약
디데이치과의원의 네이버 블로그 원문을 보존한 아카이브 페이지입니다. 치아미백 카테고리의 선릉역치아미백후기 보기 전에 글을 통해 병원의 한국어 정보 제공 방식과 진료 관련 안내 톤을 확인할 수 있습니다.
원문 검증
필요하면 원문 블로그와 병원 프로필로 바로 이동해 문맥을 다시 확인할 수 있습니다.
출처 아카이브 열기'이것' 2가지는 알아야 합니다
치아미백후기
안녕하세요.
디데이치과
오태훈 대표원장입니다.

원장님, 미백 받고 나서
오히려 더 불만족스러워요.
얼마 전 다른 치과에서
미백을 받고 오신
30대 중반 여성분이 하신 말씀입니다.
돈과 시간을 들였는데
기대했던 것만큼 하얗게 되지 않았고,
이가 너무 시려서
며칠간 고생하셨다고 하더라고요.
사실 이런 경우가 생각보다 많습니다.

선릉역치아미백후기 보기 전에 '이것' 2가지는 알아야 합니다-디데이치과
인터넷에 올라온 화사한 미백 후기만 보고
기대감을 갖고 병원을 찾았다가
실망하시는 분들이요.
왜 이런 일이
생길까요?
답은 간단합니다.
미백 전에 꼭 알아야 할 것들을 모르고
시술을 받았기 때문입니다.
오늘은 선릉역 치아미백후기 후기를 보시기 전에
꼭 확인하셔야 할 2가지를 말씀드리겠습니다.
이 내용만 제대로 이해하신다면
불필요한 실망이나 부작용 없이
만족스러운 결과를 얻으실 수 있을 겁니다.
| 1. 내 치아 상태가 미백에 적합한지 먼저 확인하세요2. '얼마나' 하얘질지에 대한 현실적인 기대치를 가지세요 |
적합한지 먼저 확인하세요
치아미백은
생각보다 까다로운 시술입니다.
단순히 미백제를 바르고
광선을 쬐면 끝나는 게 아니거든요.
가장 먼저 확인해야 할 것은
충치나 잇몸질환이 있는지 여부입니다.
치아미백후기

치아미백후기 보기 전에 '이것' 2가지는 알아야 합니다-디데이치과
만약 충치가 있는 상태에서
미백을 받으면 어떻게 될까요?
미백제가 충치 부위로 스며들면서
극심한 통증을 유발할 수 있습니다.
잇몸이 건강하지 않다면
미백 효과도 제대로 나타나지 않을 뿐더러
기존 질환이
더 악화될 가능성도 있습니다.
치아 마모 정도도 중요합니다.
치아미백후기
법랑질이 많이 닳아서 얇아진 경우,
미백을 하면 이가 굉장히 시릴 수 있거든요.
마치 상처 난 피부에
자극적인 화장품을 바르는 것과
비슷하다고 보시면 됩니다.

선릉역치아미백후기 보기 전에 '이것' 2가지는 알아야 합니다-디데이치과
그렇다면
어떻게 해야 할까요?
미백을 결심하셨다면
후기만 보지 마시고,
먼저 치과에 방문하셔서
본인의 치아 상태를 정확히 진단받으시는 것이
가장 중요합니다.
제가 진료하면서
항상 강조하는 부분이 바로 이겁니다.
환자분의 구강 상태를 꼼꼼히 확인하고
지금 미백을 받아도 되는 상태인지
다른 치료가 먼저 필요한지를
정확히 말씀드려야 한다는 점이죠.
무리하게 환자분을 끌고가면서 치료하지 않는 것,
그게 제 진료 원칙입니다.
선릉역치아미백후기

치아미백후기 보기 전에 '이것' 2가지는 알아야 합니다-디데이치과
현실적인 기대치를 가지세요
원장님,
연예인처럼 하얗게 될 수 있나요?
치아미백후기
정말 많이 받는 질문입니다.
솔직하게 말씀드리자면,
미백만으로는 어렵습니다.
치아 색상은
원래 완전한 흰색이 아닙니다.
약간의 노란 톤이 섞여 있는 게
자연스러운 상태거든요.
미백은 이 자연스러운 톤을
2~3단계 정도 밝게 만드는 시술입니다.
여기서
중요한 포인트가 있습니다.
원래 치아가 많이 누런 분들은
변화가 드라마틱하게 느껴지지만,
이미 어느 정도 밝은 톤을 가지신 분들은
큰 변화를 체감하기 어려울 수 있다는 점입니다.
그래서 환자분마다 기대치가 다르면
만족도도 달라집니다.

선릉역치아미백후기 보기 전에 '이것' 2가지는 알아야 합니다-디데이치과
만약 연예인처럼
극도로 하얀 치아를 원하신다면
미백보다는 라미네이트나 크라운 같은
보철 치료를 고려하셔야 합니다.
물론 자연치아를 삭제해야 한다는
부담이 있지만 말이죠.
진료하면서 느끼는 건데,
환자분들께서 정확한 정보를 알고 계실 때
만족도가 훨씬 높습니다.
그래서 상담할 때 항상
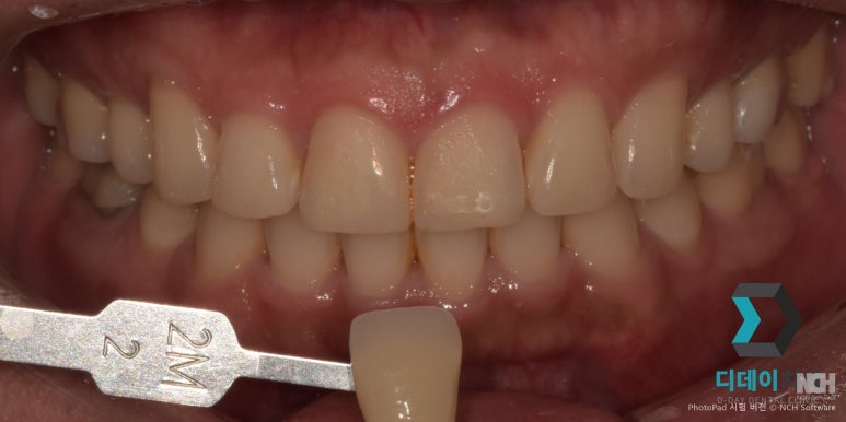
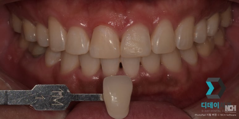
치아 색상 샘플을 보여드리면서
"이 정도까지 밝아질 수 있습니다"라고
구체적으로 설명드리는 편입니다.
환자분이 납득하는 치료를 하는 것,
그게 제가 생각하는 좋은 진료거든요.
선릉역치아미백후기


치아 미백을 위해 내원하신 환자분입니다.
원데이 전문가 미백 치료를 진행하였으며 당일진료가 가능합니다
2025.10.27
또 한 가지,
미백은 영구적이지 않습니다.
커피, 와인, 카레 같은
착색 음식을 드시면
다시 누렇게 변할 수 있어요.
그래서 6개월에서 1년마다 관리 차원에서
재시술을 받으시는 분들이 많습니다.

선릉역치아미백후기 보기 전에 '이것' 2가지는 알아야 합니다-디데이치과
오늘 말씀드린
내용을 정리하면 이렇습니다.
치아미백 후기를 보기 전에
먼저 본인의 치아 상태가
시술에 적합한지 확인하시고,
얼마나 하얘질 수 있는지에 대한
현실적인 기대치를
가지시는 것이 중요합니다.
무작정 저렴한 곳을 찾기보다는
꼼꼼하게 진단해주고
솔직하게 설명해주는 곳을
선택하세요.
그래야 시간과 비용을 낭비하지 않고
만족스러운 결과를 얻으실 수 있습니다.
환자분들께서 웃을 때
자신감을 되찾으시는 모습을 볼 때마다
참 보람을 느낍니다.
감사합니다.
디데이치과
대표원장 오태훈
| 꼭 필요한 치료만 정직하게 권하는 곳디데이치과 네이버 예약 ✔ |
| 서울 디데이치과 진료 문의 |
|---|
| 대표전화 : 02-568-2877 (바로가기)네이버 톡톡 문의 (바로 가기) |


선릉역치아미백후기 보기 전에 '이것' 2가지는 알아야 합니다







