아카이브 요약
이 페이지의 역할
디데이치과의원의 네이버 블로그 원문을 보존한 아카이브 페이지입니다. 일반치료 카테고리의 앞니살짝깨짐 이 1가지만 확인하면 치료 방향 결정됩니다 글을 통해 병원의 한국어 정보 제공 방식과 진료 관련 안내 톤을 확인할 수 있습니다.
원문 검증
필요하면 원문 블로그와 병원 프로필로 바로 이동해 문맥을 다시 확인할 수 있습니다.
출처 아카이브 열기아카이브된 블로그 글
디데이치과의원 · 통합치의학과 전문의 2명의 솔직한 치과 이야기
앞니살짝깨짐 이 1가지만 확인하면 치료 방향 결정됩니다 앞니살짝깨짐 안녕하세요. 디데이치과 대표원장 오태훈입니다. 혹시 지금 거울을 한번 보시겠어요? 앞니살짝깨짐 앞니가 살짝 깨진 부분, 손톱으로 살짝 긁어보면 걸리는 느낌이 드시나요? 아니면 매끄러운가요? ...
게시일
2025년 12월 18일
원문 기준으로 확인된 발행일입니다.
카테고리
일반치료
원문 블로그 카테고리를 정리해 함께 표시합니다.
이미지 수
21
현재 아카이브에 연결된 이미지 수입니다.
아카이브 요약
디데이치과의원의 네이버 블로그 원문을 보존한 아카이브 페이지입니다. 일반치료 카테고리의 앞니살짝깨짐 이 1가지만 확인하면 치료 방향 결정됩니다 글을 통해 병원의 한국어 정보 제공 방식과 진료 관련 안내 톤을 확인할 수 있습니다.
원문 검증
필요하면 원문 블로그와 병원 프로필로 바로 이동해 문맥을 다시 확인할 수 있습니다.
출처 아카이브 열기앞니살짝깨짐 이 1가지만 확인하면
치료 방향 결정됩니다
앞니살짝깨짐
안녕하세요.
디데이치과
대표원장 오태훈입니다.

혹시 지금 거울을 한번
보시겠어요?
앞니살짝깨짐
앞니가 살짝 깨진 부분,
손톱으로 살짝 긁어보면
걸리는 느낌이 드시나요?
아니면 매끄러운가요?
깨진 부분 안쪽이 노랗게 보이나요,
아니면 하얗게 보이나요?
방금 확인하신
이 두 가지 질문의 답에 따라,
여러분께 필요한 치 료 가 완전히 달라집니다.

앞니살짝깨짐 이 1가지만 확인하면
방향 결정됩니다-디데이치과
많은 분들이 앞니가 살짝 깨지면
"이 정도는 괜찮겠지"라고 생각하시며
미루시더라고요.
혹은 반대로 "라미네이트 해야 하나?"라며
과도하게 걱정하시는 분들도 계십니다.
그런데 사실
앞니가 깨진 정도와 범위에 따라
방법이 완전히 달라집니다.
똑같이 보이는 살짝 깨진 앞니라도,
어떤 분은 당일 레진으로 30분이면 해결되고,
어떤 분은 라미네이트까지 고려해야 하거든요.
오늘 이 글을 끝까지 읽으시면,
병원 가기 전에 본인에게 어떤 치 료 가
필요한지 미리 예상하실 수 있을 겁니다.
| 1. 깨진 정도가치료를 결정합니다2. 레진 vs 라미네이트, 이렇게 다릅니다3. 통증 없는 치료, 자세한 설명이 답입니다 |
치료를 결정합니다
앞니 치료에서 가장 중요한 것은
바로 '깨진 범위'입니다.
치아 표면만
아주 살짝 깨진 경우라면
다듬기만 하거나
레진으로 간단히 때우는 것으로
충분합니다.


앞니 안쪽 충치 레진을 위해 내원하신 환자분입니다.
2021.05.24
레진은 치아와 색상이 유사하고
접착력도 우수해서,
작은 파절에는 정말 효과적인 재료거든요.
그런데 깨진 범위가 조금 더 넓거나,
치아 안쪽 신경 부분까지 영향을 받았다면
이야기가 달라집니다.
단순히 때우는 것만으로는
해결되지 않고,
형태적 회복과 추가 파절 방지를 위해
라미네이트나 크라운 같은
보철 치 료 가 필요할 수 있습니다.
그렇다면
어떻게 구분할 수 있을까요?
깨진 부분을 만져봤을 때
거친 느낌이 많이 든다면,
그리고 안쪽이 노랗거나 갈색으로 보인다면
신경까지 침범했을 가능성이 있습니다.
반대로 표면만 하얗게 살짝 깨졌다면
레진으로 충분히 해결 가능한 경우가 많죠.

앞니살짝깨짐 이 1가지만 확인하면
방향 결정됩니다-디데이치과
이렇게 다릅니다
레진 치 료 의 가장 큰 장점은
치아 삭제가 거의 없다는 겁니다.
깨진 부분만 정리하고
그 위에 레진을 붙이기 때문에
건강한 치아를 최대한 보존할 수 있죠.
비용도 저렴하고
당일 치 료 가 가능하다는 점도
큰 매력입니다.
다만 레진에도
단점은 있습니다.
시간이 지나면서 변색이 될 수 있고,
강도가 라미네이트보다는 약해서
탈락 가능성이 있거든요.

앞니살짝깨짐 이 1가지만 확인하면
방향 결정됩니다-디데이치과
특히 치아 사이 경계 부위에서
변색이 일어나는 경우가 많습니다.
반면 라미네이트는
심미성이 훨씬 뛰어납니다.
변색 걱정도 적고,
오래 사용할 수 있죠.
크라운보다는 치아 삭제량이 훨씬 적어서
신경치 료 를 하지 않아도 되는 경우가
대부분입니다.
과거에 레진 치 료 를 받았는데
변색이 되어서
스트레스를 받으셨던 분들이라면,
라미네이트로 바꾸는 것도
좋은 선택이 될 수 있습니다.
다만 라미네이트는
비용이 더 든다는 점은 감안하셔야 합니다.


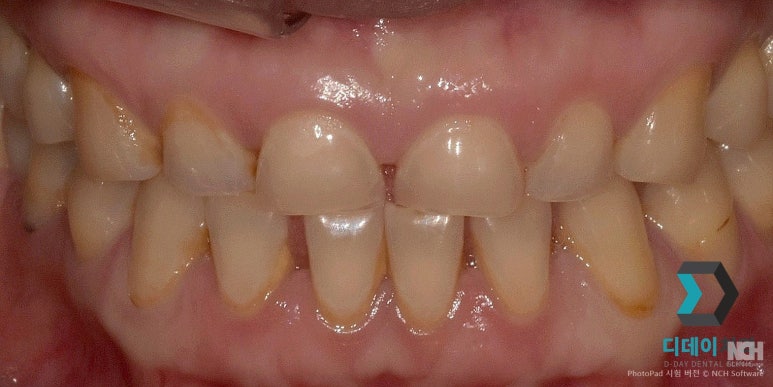
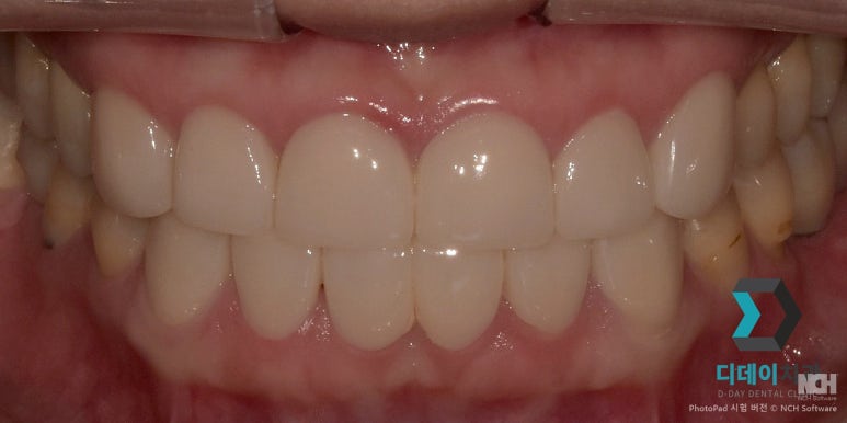
밝고 가지런한 앞니를 위해 내원하신 심미보철 환자분입니다.
위 아래 앞니 12개 치아 라미네이트 진행하였습니다.
2025.12.08
자세한 설명이 답입니다
저는 항상
환자분께 이렇게 말씀드립니다.
무리하게 끌고 가면서 치 료 하지 않겠습니다.
앞니살짝깨짐

앞니살짝깨짐 이 1가지만 확인하면 방향 결정됩니다
디데이치과
앞니가 살짝 깨졌다고 해서
무조건 라미네이트를 권하지 않습니다.
레진으로 충분히 해결될 수 있다면
레진으로 먼저 해 드리고,
만약 시간이 지나면서 변색이나 탈락이 생긴다면
그때 라미네이트를 고려해도 늦지 않거든요.
치 료 전에는 반드시
환자분의 상태를 꼼꼼히 확인하고,
왜 이 치 료 가 필요한지 자세히 설명드립니다.
어떤 재료를 사용할 것인지
치 료 후 어떻게 관리해야 하는지
통증은 없을지까지 하나하나 말씀드리죠.
특히 통증에 민감하신 분들이라면
더욱 신경 씁니다.
마취 시간도 조금 길게 가져가서
최대한 아프지 않게 치 료하는 것이
제 목표거든요.
치과가 무섭고 두렵다는 분들의
마음을 누구보다 잘 알고 있습니다.
앞니살짝깨짐


저희 디데이치과는 어떻게 하면 더 편안하고 안전하게 시술할 수
있을지 정기적으로 연구하며, 최선의 진료 방향을 고민합니다.
앞니가 살짝 깨졌다면,
당황하지 마시고 거울을 한번 보세요.
깨진 범위가 작고 표면만 하얗게 깨졌다면
레진으로 간단히 해결될 가능성이 높습니다.
하지만 범위가 넓거나 안쪽까지 손상됐다면
라미네이트를 고려해야 할 수도 있죠.

앞니살짝깨짐 이 1가지만 확인하면 방향 결정됩니다
디데이치과
가장 중요한 것은
정확한 진단입니다.
치과에 방문하셔서
현미경과 장비를 통해
정밀하게 확인받으시고,
본인에게 꼭 맞는 치료를
선택하시길 바랍니다.
건강한 치아를
최대한 오래 보존하는 것,
그것이 가장 좋은 치료니까요.
| 꼭 필요한 치료만 정직하게 권하는 곳디데이치과 네이버 예약 ✔ |
| 서울 디데이치과 진료 문의 |
|---|
| 대표전화 : 02-568-2877 (바로가기)네이버 톡톡 문의 (바로 가기) |


앞니살짝깨짐 이 1가지만 확인하면 치료 방향 결정됩니다






