아카이브 요약
이 페이지의 역할
디데이치과의원의 네이버 블로그 원문을 보존한 아카이브 페이지입니다. 임플란트 카테고리의 신논현역임플란트, 수술 경험 많은 의사가 알려주는 2가지 기준 글을 통해 병원의 한국어 정보 제공 방식과 진료 관련 안내 톤을 확인할 수 있습니다.
원문 검증
필요하면 원문 블로그와 병원 프로필로 바로 이동해 문맥을 다시 확인할 수 있습니다.
출처 아카이브 열기아카이브된 블로그 글
디데이치과의원 · 통합치의학과 전문의 2명의 솔직한 치과 이야기
신논현역임플란트, 수술 경험 많은 의사가 알려주는 2가지 기준 신논현역임플란트 안녕하세요. 신논현역임플란트 찾고 계신가요? 디데이치과 대표원장 오태훈입니다. 지난주에 한 환자분이 오셨는데요. 다른 치과 3곳을 다녀오셨다고 하더라고요. 그런데 각 치과마다 임플란트...
게시일
2026년 1월 20일
원문 기준으로 확인된 발행일입니다.
카테고리
임플란트
원문 블로그 카테고리를 정리해 함께 표시합니다.
이미지 수
14
현재 아카이브에 연결된 이미지 수입니다.
아카이브 요약
디데이치과의원의 네이버 블로그 원문을 보존한 아카이브 페이지입니다. 임플란트 카테고리의 신논현역임플란트, 수술 경험 많은 의사가 알려주는 2가지 기준 글을 통해 병원의 한국어 정보 제공 방식과 진료 관련 안내 톤을 확인할 수 있습니다.
원문 검증
필요하면 원문 블로그와 병원 프로필로 바로 이동해 문맥을 다시 확인할 수 있습니다.
출처 아카이브 열기신논현역임플란트, 수술 경험 많은 의사가
알려주는 2가지 기준
신논현역임플란트
안녕하세요.
신논현역임플란트 찾고 계신가요?
디데이치과
대표원장 오태훈입니다.

지난주에 한 환자분이 오셨는데요.
다른 치과 3곳을
다녀오셨다고 하더라고요.
그런데 각 치과마다 임플란트 견적이
천차만별이었다는 겁니다.
어떤 곳은 200만원,
어떤 곳은 400만원...
원장님,
도대체 뭘 믿고 결정해야 할까요?
이 질문을 받는 순간,
제가 치과의사로서
꼭 알려드려야 할 것들이 있다는 겁니다.

임플란트는 치과 치료 중에서도
가장 난이도가 높은 수술로 불립니다.
누구에게 시술을 받느냐에 따라
임플란트의 수명도 달라질 수 있거든요.
그래서 많은 분들이
치과를 선택하는 것부터
고민이 크실 겁니다.
광고는 넘쳐나는데
정작 어디가 진짜 잘하는 곳인지
알 수가 없으니까요.

약 만 명의 환자분들을 진료하면서
제가 깨달은 것이 있습니다.
신논현역임플란트를 선택할 때
반드시 확인해야 할
명확한 기준들이 있다는 것을요.
오늘은 그 중에서도
가장 핵심적인 2가지 기준을
말씀드리겠습니다.
이 글을 끝까지 읽으신다면,
광고에 휘둘리지 않고
현명한 선택을 하실 수 있을 겁니다.
| 1. 신논현역임플란트, 이것부터 확인하세요2. 신논현역임플란트,수술 경험 많은 의사가 말하는 진짜 기준 |
이것부터 확인하세요
첫 번째 기준은
정확한 진단 시스템입니다.
임플란트는 뼈에 구멍을 뚫고
금속을 심는 수술입니다.
그런데 이 뼈의 상태를
육안으로만 판단한다면 어떻게 될까요?
마치 지도 없이
항해하는 것과 같습니다.


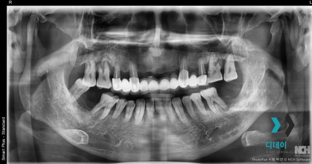
양쪽 위아래 어금니 치주염으로 내원하신 환자분입니다.
양쪽 어금니 심한 치주염으로 인해 발치 후
즉시 임플란트 식립 진행했습니다
2025-07-15
어디에 암초가 있는지,
수심이 얼마나 되는지
알 수 없는 상태로 배를 몰고 가는 거죠.
그래서 3D CT 촬영이 필수입니다.

뼈의 두께, 신경의 위치, 잇몸 상태까지
정밀하게 파악할 수 있거든요.
그런데 여기서 중요한 것은
단순히 장비가 있다는 것이 아닙니다.
그 사진을 환자분께 직접 보여드리면서
상태를 설명하는지가 핵심입니다.
환자분이 본인의 치아 상태를
눈으로 직접 확인하고,
왜 이 치료가 필요한지 이해하셔야 합니다.
그래야 치료 과정에 대한 불안감도 줄어들고,
신뢰를 가지고 진행하실 수 있거든요.
두 번째로 확인하실 것은
치료 계획을 얼마나 자세히 설명하는지입니다.
임플란트는
한 번에 끝나는 치료가 아닙니다.
수술부터 보철까지
여러 단계를 거치는 긴 과정이죠.

그런데 많은 치과에서는
"알아서 잘 해드릴게요"
라는 말로 대충 넘어가는 경우가 있습니다.
환자분 입장에서는
불안할 수밖에 없습니다.


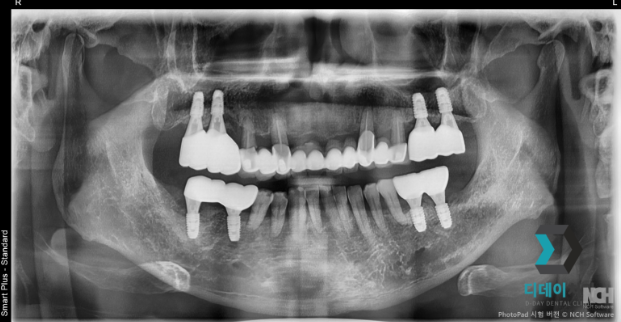
어금니 임플란트 치료를 위해 내원하신 환자분입니다.
오른쪽 위 어금니 발치한 상태로 내원하셨고
상악동 함기화로 인해 치조골이 부족한 상태였기때문에
상악동 거상술을 같이 진행했습니다.
2024-07-08
내 몸에 어떤 일이 일어나는지
모른 채로 치료를 받아야 하니까요.
제가 진료할 때는 항상
단계별로 어떤 과정이 진행되는지
얼마나 시간이 걸리는지
비용은 어떻게 되는지
구체적으로 말씀드립니다.
비록 익숙한 내용일지라도
환자분들께는 낯설 수 있으니까요.
수술 경험 많은 의사가
말하는 진짜 기준
여기서 한 가지 더
중요한 것을 말씀드리겠습니다.
바로 통증 관리입니다.
많은 분들이 임플란트 수술을
두려워하시는 가장 큰 이유가 바로
통증 때문이거든요.

실제로 임플란트 수술 중에는
거의 아픈 일이 없습니다.
마취가 제대로 되어 있으면 말이죠.
그런데 이 마취를
어떻게 하느냐가 정말 중요합니다.
마취액을 빠르게 주입하면
잇몸 조직이 급격하게 팽창하면서
찢어지는 듯한 통증이 생깁니다.

그래서 마취하는 시간이
조금 길어지더라도 천천히,
충분히 해야 합니다.
잇몸이 서서히 적응하면서
거의 통증 없이 마취가 이루어지거든요.
오늘 말씀드린
내용을 정리하면 이렇습니다.
신논현역임플란트를
선택할 때는
정확한 진단 시스템이 갖춰져 있는지
치료 계획을 자세히 설명하는지 확인하세요.
그리고 통증 관리를 어떻게 하는지
환자의 이야기를 경청하는지도
살펴보시길 바랍니다.

가격이 저렴하다는 이유만으로,
광고가 화려하다는 이유만으로
선택하시면 안 됩니다.
한 번 잘못된 임플란트는
되돌리기 어렵거든요.
치과 치료 기간이 길어지더라도,
환자분이 납득하고 안심하며
치료받을 수 있는 곳을 선택하시길 바랍니다.
그것이 결국
가장 현명한 선택입니다.
| 꼭 필요한 치료만 정직하게 권하는 곳디데이치과 네이버 예약 ✔ |
| 서울 디데이치과 진료 문의 |
|---|
| 대표전화 : 02-568-2877 (바로가기)네이버 톡톡 문의 (바로 가기) |


신논현역임플란트, 수술 경험 많은 의사가 알려주는 2가지 기준