아카이브 요약
이 페이지의 역할
디데이치과의원의 네이버 블로그 원문을 보존한 아카이브 페이지입니다. 라미네이트 카테고리의 언주역라미네이트 잘하는 치과 특징 3가지 원장 작성 글을 통해 병원의 한국어 정보 제공 방식과 진료 관련 안내 톤을 확인할 수 있습니다.
원문 검증
필요하면 원문 블로그와 병원 프로필로 바로 이동해 문맥을 다시 확인할 수 있습니다.
출처 아카이브 열기아카이브된 블로그 글
디데이치과의원 · 통합치의학과 전문의 2명의 솔직한 치과 이야기
언주역라미네이트 잘하는 치과 특징 3가지 원장 작성 언주역라미네이트 안녕하세요. 언주역라미네이트 어디서 할지 찾고 계신가요? 디데이치과 대표원장 오태훈입니다. 최근 TV를 보다 보면 연예인분들 치아가 예전과 확 달라진 걸 발견하곤 합니다. 하얗고 가지런한 치아들이죠. ...
게시일
2026년 1월 22일
원문 기준으로 확인된 발행일입니다.
카테고리
라미네이트
원문 블로그 카테고리를 정리해 함께 표시합니다.
이미지 수
15
현재 아카이브에 연결된 이미지 수입니다.
아카이브 요약
디데이치과의원의 네이버 블로그 원문을 보존한 아카이브 페이지입니다. 라미네이트 카테고리의 언주역라미네이트 잘하는 치과 특징 3가지 원장 작성 글을 통해 병원의 한국어 정보 제공 방식과 진료 관련 안내 톤을 확인할 수 있습니다.
원문 검증
필요하면 원문 블로그와 병원 프로필로 바로 이동해 문맥을 다시 확인할 수 있습니다.
출처 아카이브 열기언주역라미네이트 잘하는 치과 특징
3가지 원장 작성
언주역라미네이트
안녕하세요.
언주역라미네이트 어디서 할지 찾고 계신가요?
디데이치과
대표원장 오태훈입니다.

최근 TV를 보다 보면 연예인분들 치아가
예전과 확 달라진 걸 발견하곤 합니다.
하얗고 가지런한 치아들이죠.
라미네이트 시술이
정말 대중화된 것 같습니다.
그런데 진료실에서
언주역라미네이트를 찾다오시는
환자분들을 만나보면 걱정이 참 많으세요.
"원장님, 라미네이트 하면
치아 많이 깎는 거 아닌가요?"
"나중에 더 망가진다던데 괜찮을까요?"
"어느 치과가 잘하는지 도통 모르겠어요."
이런 고민들을 정말 자주 듣게 됩니다.
광고는 넘쳐나는데 정작 제대로 된 정보는
찾기 어려운 게 현실이거든요.
그래서 오늘은 현직 치과의사인 제가 직접,
언주역 라미네이트 잘하는 치과를 찾는 방법을
알려드리겠습니다.
이 글 하나만 꼼꼼히 읽으셔도
후회 없는 선택을 하실 수 있을 겁니다.
| 1. 무조건 무삭제가 답은 아닙니다2. 치아 상태부터 정확히 진단하는 곳3. 원장이 직접 상담하고 설명하는 곳 |
답은 아닙니다
요즘 '무삭제 라미네이트'라는
광고를 정말 많이 보실 겁니다.
치아를 전혀 깎지 않는다니
당연히 좋아 보이죠.
그런데 무삭제가
가능한 경우는 따로 있습니다.

기존 라미네이트 파절로 인해 제거 후 라미네이트 재시술
25-03-17
치아 사이가 벌어져 있거나
치아 크기가 원래 작은 경우에는
무삭제로 할 수 있거든요.
오히려 이런 경우에는
깎을 필요가 전혀 없습니다.
하지만 치아가 삐뚤어져 있거나
이미 큰 치아를 가지런하게 만들려면
어떻게 될까요?

무삭제로 하면 치아가 더 커지고
입이 튀어나올 수밖에 없습니다.
중요한 건 '얼마나 깎느냐'가 아니라
'불필요하게 깎지 않느냐'입니다.
요즘 기술로는 0.1~0.2mm 정도만 다듬어도
충분히 아름다운 결과를 만들 수 있습니다.
마취도
필요 없을 정도로 말이죠.
무삭제라는 말에만 현혹되지 마시고,
본인의 치아 상태에 맞는 치료를
제안하는 치과를 찾으시길 바랍니다.
정확히 진단하는 곳
라미네이트는 단순히
예뻐지려고 하는 시술이 아닙니다.
충치가 있거나 금이 간 치아를
건강하게 회복시키는 치료이기도 하거든요.


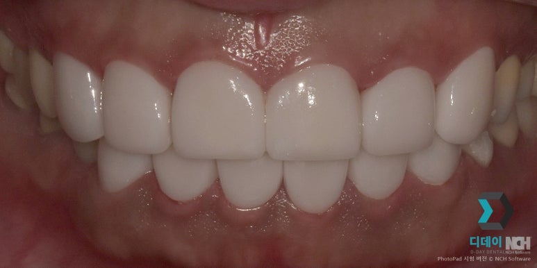
밝고 가지런한 앞니를 위해 내원하신 심미보철 환자분입니다.
위 아래 앞니 12개 치아 라미네이트 진행하였습니다.
26.01.05
그런데 일부 치과에서는 육안으로만 보고
진단을 내리는 경우가 있습니다.
이렇게 되면 치아 안쪽에
숨어 있는 충치를 놓칠 수 있어요.
충치가 있는 상태에서
그대로 라미네이트를 붙이면
안쪽에서 충치가 계속 커져서
결국 치아를 뽑아야 하는 상황까지
올 수 있습니다.
저는 반드시 정밀 검사를 통해
아 상태를 확인합니다.
환자분 눈에는 안 보이는 작은 금이나
충치도 정확히 찾아내야 하거든요.
또 한 가지
중요한 점이 있습니다.
잇몸 상태도
반드시 체크해야 한다는 겁니다.

라미네이트와 잇몸 사이에 틈이 생기면
음식물이 끼고 잇몸이 붓게 됩니다.
이런 상태로 방치하면 잇몸 질환이 심해져서
치아 자체가 흔들릴 수도 있어요.
정확한 진단 없이 시작하는 라미네이트는
시간과 비용만 낭비하는 결과를 가져올 수 있습니다.
설명하는 곳
라미네이트는 비용도 만만치 않고
한 번 하면 되돌릴 수 없는 시술입니다.
그런데 일부 언주역라미네이트
치과에서는 실장님이 먼저 상담하고,
원장은 시술할 때만
얼굴을 보는 경우가 있습니다.

실제로 시술하는 사람은 의사인데,
의사가 환자분의 치아 상태를 직접 보지 않고
어떻게 제대로 된 치료 계획을 세울 수 있을까요?
저는 상담부터 진단,
시술까지 모두 직접 합니다.
환자분의 치아 배열, 잇몸 상태, 교합 관계를
세세하게 살펴본 후에야 몇 개를 해야 하는지
결정할 수 있기 때문입니다.
라미네이트는 잘만 하면
정말 삶의 질이 달라지는 시술입니다.
웃을 때 자신감이 생기고,
사람 만나는 것도 즐거워지거든요.
하지만 잘못된 선택은
후회만 남깁니다.
언주역라미네이트치과를 찾는분들께서는
오늘 말씀드린
세 가지만 꼭 기억하세요.
내 치아에 맞는 치료를 제안하는 곳
치아 상태를 꼼꼼히 체크하는 곳
책임지는 곳을 선택하시길 바랍니다.
환자분들이 안 아프게,
그리고 만족스럽게 치료받으시는 것이
저의 가장 큰 목표입니다.
언주역 근처에서 라미네이트를
고민하고 계시다면
언제든 편하게 상담받으러 오세요.
| 꼭 필요한 치료만 정직하게 권하는 곳디데이치과 네이버 예약 ✔ |
| 서울 디데이치과 진료 문의 |
|---|
| 대표전화 : 02-568-2877 (바로가기)네이버 톡톡 문의 (바로 가기) |


언주역라미네이트 잘하는 치과 특징 3가지 원장 작성





