아카이브 요약
이 페이지의 역할
디데이치과의원의 네이버 블로그 원문을 보존한 아카이브 페이지입니다. 임플란트 카테고리의 삼성역사거리 치과 임플란트 뼈이식 없이 가능 여부 의사 설명 글을 통해 병원의 한국어 정보 제공 방식과 진료 관련 안내 톤을 확인할 수 있습니다.
원문 검증
필요하면 원문 블로그와 병원 프로필로 바로 이동해 문맥을 다시 확인할 수 있습니다.
출처 아카이브 열기아카이브된 블로그 글
디데이치과의원 · 통합치의학과 전문의 2명의 솔직한 치과 이야기
삼성역사거리 치과 임플란트 뼈이식 없이 가능 여부 의사 설명 안녕하세요. 삼성역사거리 치과 찾고 계신가요? 디데이치과 대표원장 오태훈입니다. 임플란트 뼈이식, 꼭 해야 할까요? 이 질문에 대한 제 대답은 이렇습니다. "경우에 따라 다릅니다." ...
게시일
2026년 2월 10일
원문 기준으로 확인된 발행일입니다.
카테고리
임플란트
원문 블로그 카테고리를 정리해 함께 표시합니다.
이미지 수
14
현재 아카이브에 연결된 이미지 수입니다.
아카이브 요약
디데이치과의원의 네이버 블로그 원문을 보존한 아카이브 페이지입니다. 임플란트 카테고리의 삼성역사거리 치과 임플란트 뼈이식 없이 가능 여부 의사 설명 글을 통해 병원의 한국어 정보 제공 방식과 진료 관련 안내 톤을 확인할 수 있습니다.
원문 검증
필요하면 원문 블로그와 병원 프로필로 바로 이동해 문맥을 다시 확인할 수 있습니다.
출처 아카이브 열기삼성역사거리 치과 임플란트
뼈이식 없이 가능 여부 의사 설명
안녕하세요.
삼성역사거리 치과 찾고 계신가요?
디데이치과
대표원장 오태훈입니다.

임플란트 뼈이식,
꼭 해야 할까요?
이 질문에 대한
제 대답은 이렇습니다.
"경우에 따라 다릅니다."
너무 모호한 답변 같으신가요?
하지만 이게 가장 정직한 답변입니다.
누군가에게는 뼈이식이 선택사항이지만,
누군가에게는 절대적으로 필요한 과정이거든요.
그렇다면 어떻게 구분할 수 있을까요?
| 1. 뼈이식 없이 임플란트?가능한 경우는 이렇습니다2. 무리하게 진행하면 생기는 일 |
가능한 경우는 이렇습니다
그렇다면 정말 뼈이식 없이도
가능한 경우는 언제일까요?
첫 번째는
잇몸뼈의 양과 질이 충분할 때입니다.

치아를 뽑은 지 얼마 안 됐거나,
원래 뼈가 튼튼하신 분들이 여기에 해당되죠.
이런 경우에는 임플란트를 심을 공간이
충분하고 고정력도 확보되기 때문에
뼈이식 없이 바로 진행할 수 있습니다.
두 번째는 특수한 임플란트 기법을
사용할 수 있을 때입니다.
예를 들어 경사 식립이나
짧은 임플란트 같은 방법들이 있는데요.
이런 기법들은 남아있는 뼈를 최대한 활용해서
뼈이식을 피하는 방법입니다.
하지만 여기서
중요한 포인트가 있습니다.
이런 판단은 반드시 정밀한 검사를 통해서만
가능하다는 점입니다.
단순히 육안으로 보거나
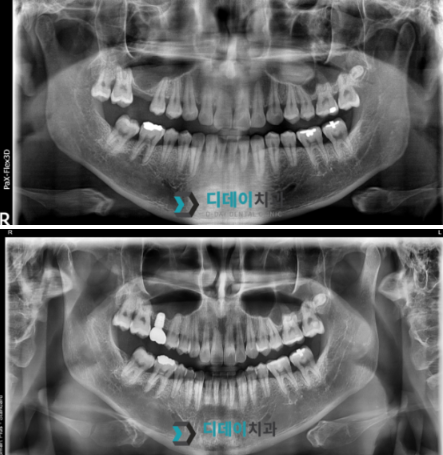
파노라마 사진 한 장으로는
정확한 판단이 어렵거든요.

어금니 임플란트 치료를 위해 내원하신 환자분입니다.
오른쪽 위 어금니 발치한 상태로 내원하셨고
상악동 함기화로 인해 치조골이 부족한 상태였기때문에
상악동 거상술을 같이 진행했습니다.
2024-07-08
저는 상담하실 때 3D CT 촬영을 통해
뼈의 높이, 폭, 밀도까지 꼼꼼하게 확인합니다.
그리고 그 결과를 환자분께 직접 보여드리면서
"이 부분은 뼈가 충분해서 바로 가능합니다"
혹은 "여기는 뼈이식이 필요합니다"라고
명확하게 설명해 드리죠.
때로는 삼성역사거리 치과를 찾는 환자분이
"다른 치과에서는 뼈이식 필수라고 했는데요?"
라고 물어보시는 경우도 있습니다.
그럴 때는 제가 직접
CT 사진을 보여드리며
왜 뼈이식 없이도 가능한지,
어떤 방법으로 진행할 것인지
자세히 설명해 드립니다.

반대로 뼈이식이 필요한데도
무리하게 진행하면 어떤 일이 벌어질까요?
가장 흔한 문제는
임플란트가 제대로 고정되지 않는 것입니다.
뼈의 양이 부족하면 임플란트를 심어도
안정적으로 자리를 잡지 못하거든요.
처음 몇 달은 괜찮은 것 같다가도
시간이 지나면서 점점 흔들리기 시작합니다.
더 심각한 경우에는
임플란트 주변에 염증이 생기기도 합니다.
뼈가 부족한 상태에서 무리하게 심으면
잇몸이 제대로 회복되지 않고,
그 틈으로 세균이 침투하게 되는 거죠.
이렇게 되면 결국 임플란트를 제거해야 하는
상황까지 갈 수 있습니다.

삼성역사거리 치과를 찾는분들께
그래서 제가 항상 강조하는 것이 있습니다.
당장의 편의보다는
장기적인 성공률을 봐야 한다는 점입니다.
뼈이식이 부담스럽더라도,
필요한 경우라면 반드시 받으시는 것이
나중을 위해 훨씬 좋습니다.

물론 뼈이식 자체가
무서우신 마음도 충분히 이해합니다.
하지만 요즘은 기술이 많이 발전해서
예전처럼 아프거나 회복 기간이 길지 않습니다.
저도 최대한 통증을
줄이는 방향으로 진행하고 있고,
환자분들께서 "생각보다 괜찮았어요"라고
말씀하시는 경우가 많거든요.
정리하자면 이렇습니다.
뼈이식 없이 임플란트가 가능한지는
정밀한 검사를 통해서만 판단할 수 있습니다.
그리고 그 판단은
환자분의 편의가 아니라,
임플란트가 오래도록
건강하게 유지될 수 있는지를
기준으로 해야 합니다.

만약 지금 삼성역사거리 치과를 고민 중이시라면,
광고 문구보다는 정확한 진단을 받을 수 있는
치과를 선택하시길 바랍니다.
그리고 뼈이식이
필요하다는 진단을 받으셨다면,
너무 겁먹지 마시고
담당 의사와 충분히 상담하신 후
결정하시면 됩니다.
| 꼭 필요한 치료만 정직하게 권하는 곳디데이치과 네이버 예약 ✔ |
| 서울 디데이치과 진료 문의 |
|---|
| 대표전화 : 02-568-2877 (바로가기)네이버 톡톡 문의 (바로 가기) |


삼성역사거리 치과 임플란트 뼈이식 없이 가능 여부 의사 설명
삼성역사거리 치과




