아카이브 요약
이 페이지의 역할
에투알드서울치과의 네이버 블로그 원문을 보존한 아카이브 페이지입니다. 풀아치임플란트 카테고리의 풀아치임플란트 무엇? full-arch Process 부작용과 주의할 점. 글을 통해 병원의 한국어 정보 제공 방식과 진료 관련 안내 톤을 확인할 수 있습니다.
원문 검증
필요하면 원문 블로그와 병원 프로필로 바로 이동해 문맥을 다시 확인할 수 있습니다.
출처 아카이브 열기아카이브된 블로그 글
에투알드서울치과 · Naver Blog
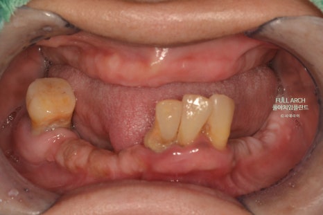
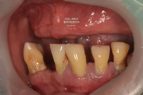
풀아치임플란트 무엇인가요? 과도한 임플란트 없이 ALL ON X 로 턱뼈에 임플란트를 식립하는 방식으로 임플란트 개수는 6개 정도를 식립하여 하부구조를 단단하게 지지하게 수술한 뒤 풀 지르코니아로 만든 보철구조물을 올리는 치료방식이다. 최종 풀지르코이나 보철 구조물 *디오나비정품모델사진 풀아치의 장점은 해부학적...
게시일
2024년 12월 6일
원문 기준으로 확인된 발행일입니다.
카테고리
풀아치임플란트
원문 블로그 카테고리를 정리해 함께 표시합니다.
이미지 수
12
현재 아카이브에 연결된 이미지 수입니다.
아카이브 요약
에투알드서울치과의 네이버 블로그 원문을 보존한 아카이브 페이지입니다. 풀아치임플란트 카테고리의 풀아치임플란트 무엇? full-arch Process 부작용과 주의할 점. 글을 통해 병원의 한국어 정보 제공 방식과 진료 관련 안내 톤을 확인할 수 있습니다.
원문 검증
필요하면 원문 블로그와 병원 프로필로 바로 이동해 문맥을 다시 확인할 수 있습니다.
출처 아카이브 열기풀아치임플란트 무엇인가요?
과도한 임플란트 없이 ALL ON X 로 턱뼈에 임플란트를 식립하는 방식으로 임플란트 개수는 6개 정도를 식립하여 하부구조를 단단하게 지지하게 수술한 뒤 풀 지르코니아로 만든 보철구조물을 올리는 치료방식이다.


최종 풀지르코이나 보철 구조물 *디오나비정품모델사진
풀아치의 장점은 해부학적인 한계를 극복하여 풀아치 시술 후 유지 및 관리가 편리 할 수 있도록 설계되어 단순한 구조로 되어 있으며 치료기간 역시 두 달정도로 빠르게 마무리 할 수 있다.
또한 기존 아날로그 수술 방식에 디지털 방식을 융합하여 디지털 모의시술을 실제 수술 전에 할 수 있게 되었고 그 결과 수술실패를 최소화 하며 가장 큰 장점으로 수술 당일 보철물이 체결되는 형식의 치료방법이다.
보철의 모양은 마치 틀니 처럼 생겼으나 하부구조물에 단단하게 연결된 강한 고정형식의 임플란트 틀니의 업그레이드 버전이라고 말할 수 있다.

풀아치 구조 : 6개 임플란트 식립 후 1차 임시보철물이 올라가 있는 형태
임시치아 1, 임시치아 2,
강력한 지르코니아 최종 보철물
최종까지 총 3가지 보철물을 끼게 되는데 첫번째와 두번째 사용 하는 임시 보철물은 플라스틱 형태로 되어 있다.
첫번째 보철물은 수술 후 체결 되기 때문에 가장 불편하지만 수술 후 고정되어 있는 방식의 보철을 체결하고 귀가 할 수 있다는 큰 장점이 있다.
두번째 임시보철물 역시 플라스틱으로 되어 견고함은 떨어지나 첫번째보다 훨씬 편안해지고 발음도 많이 개선이 된다.
최종 보철물은 풀 지르코니아로 되어 있으며 최적의 보철 기능과 강도 및 심미적인 부분까지 해결할 수 있도록 연결한다.
THE PROCESS
유튜브 치테리어 캡쳐 中
첫번째, 상담
초기 상담이 중요하다.
풀아치임플란트를 하기 전 주의할 점은 풀아치 시스템이 좋다고 해서 모든 환자의 상태에 적합한 치료는 아니다.
예를 들어 안 좋은 치아가 두 세개 정도 있고 나머지 건강한 치아를 보존하며 치료하는 상황에는 개별적으로 임플란트를 식립하는 것이 적합하다.
복합적인 치료로 예후가 좋은 사람과 반대인 경우를 정확하게 진단해 내야 하는 것이 첫 상담의 포인트이다.
풀아치가 적합한 경우로는 다양한 복합적 치료가 불가능 하여 아래의 징후를 예를 들 수 있다.
광범위한 충치
잇몸질환으로 축적된 염증과 반복되는 감염으로 잇몸뼈를 상실한 경우
잇몸 퇴축으로 임플란트가 불가능한 경우
틀니사용이 불편한 경우
빠지거나 깨진치아가 여러개로 복합적인 문제들로 치료의 한계가 있는 경우





두번째, 정확한 데이타를 통한 모의시술과 스마일 디자인
치과의사의 영역과 풀아치 전문 연구팀의 기술력이 돋보이는 순간이다.
환자의 3D 데이타를 얻기 위해 CT, 스캔이 필요하다.
스캔된 데이타와 사진을 3차원으로 시각으로 옮긴 후 CT와 융합시켜 뼈 상태를 세밀하게 확인 한 뒤 고정력이 강한 식립 부위를 결정한다.
임플란트 각도와 두께, 위치, 각도 등 수술집도 계획을 세우는 이 부분은 풀아치임플란트의 핵심 포인트이기도 하며, 풀아치를 다룰 줄 아는 의사들의 소견과 각각 달라질 수 있는 부분이다.
세번째, 외과적 치료
모의수술 후 나온 위치를 바탕으로 네비게이션 가이드를 이요하여 절개없이 한 악에 평균적으로 6개 정도를 식립한다.
풀아치 임플란트는 고난이도 수술로 훈련된 의사의 기술을 토대로 시행되어야 한다.
일반적인 임플란트의 위치나 방법과는 달리 풀아치는 턱뼈에 식립하는 경우가 많으므로 경험이 많은 의사의 테크닉이 필요하다.

풀아치임플란트의 큰 장점으로 수술당일 치아를 수복한다.
이 때 체결되는 첫번째 임시치아는 앞서 말하였듯이 불편할 수 있다.
풀아치 주의사항과 부작용이라고 말할 수 있는 부분이 이 것인데 수술 후 2~3주가량 불편함을 감수해야 한다.
두번 째 임시치아 체결은 2주 후로 첫번째 보다 말하거나 식사를 하기가 수월하다.



풀아치 임플란트 PROCESS에 따른 결과
최종 체결까지 병원에 내원하는 횟수는 4~6회 이다.
평균적으로 5회 치과에 내원하며, 최종보철물 체결하는 날까지 풀아치 치료기간은 총 두 달 정도로 전체임플란트에 비해 치료기간이 매우 단축 되었다.
임플란트 식립 후 즉시 보철을 체결하는 임상의 경험은 1990년 대 부터 보고 되었다. 전 세계적으로 즉시 체결을 하는 의사들이 많아졌다.
풀아치 최대 핵심 기술
올온엑스 ALL ON X
수술 후 즉시 체결
임플란트 각도, 턱뼈식립
뼈이식 없는 수술
주의할 점 및 부작용
풀아치임플란트의 부작용 문제점은 바로 "적응"이다.
첫번째 임시 보철은 부피가 커서 환자가 상당한 불편함을 이야기 한다.
임시보철은 플라스틱 제질이기 때문에 치료기간 동안 딱딱하거나 질긴 음식을 피해야 하며 깨지기 쉬운 형태이므로 깨질 수 있다.
깨지게 되면 제작기간이 늘어날 수 있고