아카이브 요약
이 페이지의 역할
에투알드서울치과의 네이버 블로그 원문을 보존한 아카이브 페이지입니다. 풀아치임플란트 카테고리의 임플란트의 역사와 구조, 풀아치 임플란트 구조 차이점 비교 글을 통해 병원의 한국어 정보 제공 방식과 진료 관련 안내 톤을 확인할 수 있습니다.
원문 검증
필요하면 원문 블로그와 병원 프로필로 바로 이동해 문맥을 다시 확인할 수 있습니다.
출처 아카이브 열기아카이브된 블로그 글
에투알드서울치과 · Naver Blog
안녕하세요. #치테리어 #풀아치 에투알드서울치과 원장 치테리어 이장욱입니다. 풀아치를 하러 오신 분들 중에는 임플란트가 무엇인지 잘 모르고 계신 경우도 많이 있어요. 대부분 치아가 전부 빠져서 심각한 상태인 경우, 또는 치아가 몇개 남아 있지만 기능을 하지 못하는 경우가 주로 풀아치 대상입니다. 첫 상담을 오시면...
게시일
2024년 12월 17일
원문 기준으로 확인된 발행일입니다.
카테고리
풀아치임플란트
원문 블로그 카테고리를 정리해 함께 표시합니다.
이미지 수
14
현재 아카이브에 연결된 이미지 수입니다.
아카이브 요약
에투알드서울치과의 네이버 블로그 원문을 보존한 아카이브 페이지입니다. 풀아치임플란트 카테고리의 임플란트의 역사와 구조, 풀아치 임플란트 구조 차이점 비교 글을 통해 병원의 한국어 정보 제공 방식과 진료 관련 안내 톤을 확인할 수 있습니다.
원문 검증
필요하면 원문 블로그와 병원 프로필로 바로 이동해 문맥을 다시 확인할 수 있습니다.
출처 아카이브 열기안녕하세요. #치테리어 #풀아치
에투알드서울치과 원장 치테리어 이장욱입니다.
풀아치를 하러 오신 분들 중에는 임플란트가 무엇인지 잘 모르고 계신 경우도 많이 있어요.
대부분 치아가 전부 빠져서 심각한 상태인 경우, 또는 치아가 몇개 남아 있지만 기능을 하지 못하는 경우가 주로 풀아치 대상입니다.
첫 상담을 오시면 치과 치료를 제대로 받아본 적이 없거나 무치악 상태로 오시는 분들이 많아요.
임플란트가 무엇인지 잘 모르는 분들도 계시기 때문에 처음부터 임플란트가 뭔지 설명해 드리고 풀아치에 대해 말씀드릴게요.
I. 임플란트란? 임플란트의 역사
고대시대부터 인류는 조개껍데기, 대나무, 금, 은, 동, 동물의 치아 등등을 이용하여 치아를 대체하기 위해 많은 노력을 해왔습니다.
그러나 생체에 대한 개념이 매우 낮았고 면역 거부 반응 등으로 치아를 대체 하는 것에는 실패하였습니다.
현대 사회에 이르러 임플란트는 1950 년 경 스웨덴의 브레네마르크 치과의사로부터 티탸늄이라는 소재가 뼈와 융합 된다는 사실이 입증되며 지금까지 60년 정도의 역사를 가지고 있습니다.
하여 브레네막이라는 임플란트가 있을 정도로 치과계에 큰 발전의 시작이 되었습니다.
[여담]
저도 스웨덴 아스트라를 자주 사용하였고 스웨덴 아스트라 본사에서 임상과 학회를 다녀올 만큼 애정하는 임플란트 이기도 합니다.
여담이지만 스웨덴학회를 다녀온지 9년정도 된것 같네요.
세계 각국의 치과의사들이 모여 임상을 논의하는 학회여서 좋은기억으로 남아 있습니다.


스웨덴 스톡홀롬 아스트라 연수회가 기억나 사진첩을 찾아보니 2015년이었네요.
학회 때 자료들을 찾아보니 현재의 풀아치 형태 all on x가 보입니다.
제가 사진을 찍은 것을 보니 저 때 부터 풀아치 임플란트에 큰 관심이 있었나봅니다.


스웨덴 학회 자료들을 보니 지금 제가 가장 많이 하고 있는 수술 형태인 풀아치 ALL ON X 형태의 보철물도 보입니다.
저는 현재 수입임플란트 보다는 주로 국내에서 나오는 디지털 임플란트로 수술하고 있습니다.
요즘은 어느회사 임플란트가 좋다라고 말하는 것이 의미가 없을만큼 모두 잘 만드는 것 같은데요.
성공률도 거의 90% 이상 나오기 때문에 숙련된 치과의사와 뼈의 양이 많이 있다면 임플란트는 좋은 결과가 나옵니다.
임플란트는 나사형 구조로 임플란트 표면에 SLA처리가 도입되며 뼈와 티타늄이 성공적으로 붙게 되었습니다.
상실된 치아 양 옆에 치아를 깎아 브릿지 형태로 치료를 하던 8~90년대 보철 형태 대신 문제가 있는 치아만 치료를 하게 되어 어떻게 보면 자연치아를 좀 더 보존하는 것에 효과적이라도 볼 수 있습니다.
임플란트는 3D 구강스캐너 도입 3D CT 등 디지털 기술이 도입되며 환자의 구강구조를 3차원으로 확보하게 되어 정확하게 분석하고
수술전 모의 수술을 컴퓨터로 하여 내가 계획하고 식립을 원하는 자리에 0.1m의 오차 없이 안전하게 수술 할 수 있는 네비게이션 임플란트가
활성화 되며 임플란트의 정밀도와 성공률은 매우 높아졌습니다.
II. 일반 임플란트 구조

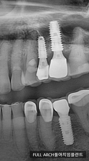
오늘 다녀가신 환자의 임플란트 엑스레이 입니다. 아래 나선형으로 보이는 게 픽스쳐 이며 크라운과 연결해 주는 어버트 먼트와 크라운 이렇게 세가지 구조물로 되어 있습니다.
티타늄으로 되어 있으며 치아의 뿌리를 담당하고 있는 중요한 구조물이라고 할 수 있습니다.
뼈에 식립하며 이는 나선형으로 되어 있습니다.
뼈와 결합하는 과정에서 중요한 수술이 되기도 하며, 뼈가 많은 경우 더 쉽고 단단하게 붙을 수 있습니다.
중간기둥이라고 편하게 말할 수 있는데 픽스쳐와 보철물을 연결해주는 역할을 하고 있습니다.
우리가 흔하게 말하는 크라운 인데 음식을 씹기도 하는 기능과 심미적인 역할을 하게 됩니다.
지르코니아라는 재료나 PFM이라는 재료를 주로 사용하며 보철물은 기성품이 아닌 환자구강구조에 맞춰 커스텀으로 만들어집니다.
III. 풀아치임플란트
일반적인 임플란트가 픽스쳐, 어버트먼트, 보철물이라고 이야기 했다면 풀아치도 같습니다.
ALL ON X를 기반으로 하여 수술하므로 임플란트 4~6개 정도의 임플란트를 심고 중간 구조물 어버트먼트가 들어가며, 모든 치아가 하나의 연결된 보철물로 된 구조입니다.
디오나비 풀아치가 가장 디지털 가이드에 혁신적이라고 할 수 있습니다.
수작업 대신 디지털 기술을 이용하기 대문에 정확도가 매우 높아졌고 임플란트의 각도나 깊이 등을 정밀하게 계획하고 이를 실행에 옮길 수 있습니다.
또한 풀아치임플란트는 수술 당일 바로 보철물을 장착 할 수 있습니다.

디오나비 풀아치 네비게이션 가이드
[여담]
여러 인터뷰에서도 이야기 했지만, 신경, 상악동 찢어짐 등 여러가지 위험 속에서 가장 안전하게 수술할 수 있는 부분이라 생각합니다.
저도 임플란트를 4만건 이상 식립하였지만 어떠한 상황에서도 안심할 수 없는 것이 수술입니다.
사전에 계획된 대로 수술을 하고 오차 범위가 매우 좁혀져 수술 시 스트레스를 대폭 줄여줄 수 있고 환자도 의사도 모두 믿고 수술할 수 있는 큰 장점이 있습니다.
타 병원에서 풀아치 수술 하는 날 도저히 식립할 수가 없다며 수술 중 덮었다고 합니다. 수개월의 기다림이 안타까움으로 남아있다가 마지막이라고 생각하며 저에게 온 환자가 있었는데 첫 수술의 실패 원인을 살펴보니 여러가지가 있었습니다.
지금은 수술이 잘 되어서 건강하게 계십니다.
숙련된 의사의 기술이 필요한 고난이도 수술입니다.
환자분도 의사도 신중하게 수술하고 받아야 합니다.
Ⅳ. 풀아치 케이스 리뷰
50대 초반의 환자분이 해외지사 근무로 치료시기를 놓쳤고 치료할 곳이 없어 한국에 풀아치를 계획하고 내원한 사례.
전체 치아를 발치 하였고 풀아치로 상악 6, 하악 6개 식립하고 2개월만에 풀아치 시술 완료 하였음.






Ⅴ. Summary
임플란트 구조는 픽스쳐, 어버트먼트, 크라운이다.
풀아치 임플란트는 단일 임플란트과 같은 구조물로 되어 있긴 하나 6개 임플란트 식립 후 위에 하나의 연결된 지르코니아 보철물을 올린다.
현재는 디지털 임플란트가 보편화 되었고 정확하고 안전한 수술이 가능하다.


진료 시작 2024년 4월 이후 2024년 6월 마무리 되었음.
다음에는 임플란트 기간에 대해 써 볼게요.
또 만나요.
에투알드서울치과 이장욱원장 이었습니다.