아카이브 요약
이 페이지의 역할
스마일디치과의원의 네이버 블로그 원문을 보존한 아카이브 페이지입니다. 치아교정 칼럼 카테고리의 선릉역치과 글을 통해 병원의 한국어 정보 제공 방식과 진료 관련 안내 톤을 확인할 수 있습니다.
원문 검증
필요하면 원문 블로그와 병원 프로필로 바로 이동해 문맥을 다시 확인할 수 있습니다.
출처 아카이브 열기아카이브된 블로그 글
스마일디치과의원 · Naver Blog
선릉역치과 '치아 라미네이트 망했어요' 하는 분들의 공통점은 연예인처럼 하얗고 가지런한 치아, 빠르게 만들 수 없을까요? 선릉역치과 *치료 기간: 2025.01.15 - 2025.01.22 *치료 전후 사진은 환자의 동의하에 게재하였으며, 동일한 환경과 조건에서 촬영된 전후 사진입니다. *모든 치료는 부작용이 따를 수 있...
게시일
2025년 4월 22일
원문 기준으로 확인된 발행일입니다.
카테고리
치아교정 칼럼
원문 블로그 카테고리를 정리해 함께 표시합니다.
이미지 수
8
현재 아카이브에 연결된 이미지 수입니다.
아카이브 요약
스마일디치과의원의 네이버 블로그 원문을 보존한 아카이브 페이지입니다. 치아교정 칼럼 카테고리의 선릉역치과 글을 통해 병원의 한국어 정보 제공 방식과 진료 관련 안내 톤을 확인할 수 있습니다.
원문 검증
필요하면 원문 블로그와 병원 프로필로 바로 이동해 문맥을 다시 확인할 수 있습니다.
출처 아카이브 열기선릉역치과 '치아 라미네이트 망했어요' 하는 분들의 공통점은
연예인처럼 하얗고 가지런한 치아,
빠르게 만들 수 없을까요?
선릉역치과


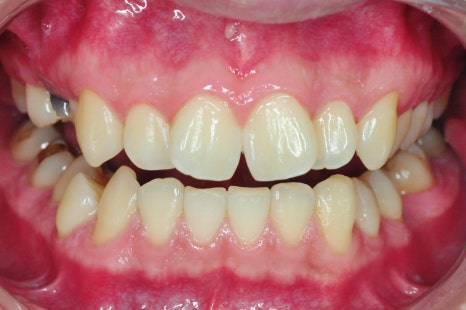
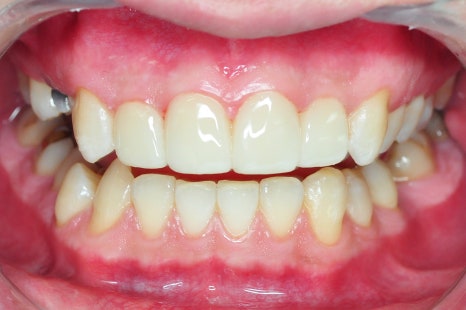
*치료 기간: 2025.01.15 - 2025.01.22
*치료 전후 사진은 환자의 동의하에 게재하였으며, 동일한 환경과 조건에서 촬영된 전후 사진입니다.
*모든 치료는 부작용이 따를 수 있으므로 의사와 충분한 상담 하에 결정하시기 바랍니다.
라미네이트는 짧은 시간 내 이미지가 확 바뀌는 효과가 있죠.
그래서 라미네이트 한 연예인을 보며 "나도 한 번 해볼까?"하는 마음이 들곤 합니다.
하지만 간단한 미용 시술로 생각하고 성급하게 결정했다가는
원하던 결과를 얻지 못하거나, 오히려 치아에 무리를 줄 수도 있습니다.

안녕하세요, 18년차 무사고치과 스마일디입니다.
"치아 라미네이트 했는데 너무 튀어요.."
"웃을 때마다 어색해서 다시 하고 싶어요."
"처음엔 좋았는데 시간이 지나니
깨지거나 들뜨더라고요…"
예쁜 치아, 반듯한 미소를 기대하며 치아 라미네이트를 선택하셨겠지만,
예상과는 다른 결과로 속상해하시는 분들을 많이 뵙습니다.
그래서 오늘은 선릉역치과 18년 무사고 진료를 이어온 저, 오수환이
'왜 그런 일이 생기는지', 그리고 '실패를 피하려면 어떤 점을 꼭 체크해야 하는지'
직접 진료하는 입장에서 진심을 담아 설명드리겠습니다.
[스마일디치과의원 안내]
| ☎️ 스마일디치과의원 전화번호 |
|---|
| 0507-1449-2087 |
| ℹ️ 스마일디치과의원 홈페이지 |
|---|
| 공식 홈페이지 |
| 🎥 스마일디치과의원 유튜브 |
|---|
| 유튜브 |
본인에게 적합한 시술인지
따져보셨나요?
선릉역치과 치아 라미네이트 실패 사례의 공통점 ①
제가 진료하면서 가장 안타까운 순간은
애초에 치아 라미네이트가 맞지 않는 분들이 시술을 받고 오셨을 때입니다.
예를 들어,
돌출입이 있는 경우
치아가 비정상적으로 배열되어 있는 경우
아래위 치아 맞물림(교합)에 문제가 있는 경우
이런 분들께는 일반적인 라미네이트 시술이 적합하지 않습니다.
왜냐하면 라미네이트는 치아 겉면에 얇은 세라믹을 붙이는 방식이라,
뿌리 깊은 교정 문제나 교합 불균형을 해결할 수 없기 때문이죠.

이런 상태에서 라미네이트를 억지로 진행하면,
결과적으로 교합 개선은 어려울뿐더러 배열에 맞지 않아 틀어지거나 뻐드러질 수 있습니다.
붙인 세라믹이 깨지거나 들뜨는 등의 문제가 발생할 수도 있고요.
경우에 따라서는 교정치료를 먼저 진행해 배열을 정돈한 후,
필요 시 최소 범위의 라미네이트를 적용하는 것이 더 만족스러운 결과를 얻을 수 있습니다.
👉 그래서 반드시, 정밀 진단이 먼저입니다.
'내가 라미네이트에 적합한가?'
이 질문의 답은, 겉모습만 봐선 절대 알 수 없습니다.
CT, 구강 스캔, 교합 분석 등을 통해 본인의 치아 구조에 정말 라미네이트가 적합한지,
다른 치료가 우선인 건 아닌지 꼼꼼히 따져야 합니다.

저희는 먼저 환자분의 요구 사항을 충분히 듣고,
그에 따른 치아의 형태와 배열, 잇몸 라인을 3차원적으로 분석합니다.
이를 바탕으로 안모에 조화로운 치아의 크기, 위치, 형태, 스마일 라인까지
섬세하게 디자인해 최적의 치료 방향을 제시합니다.
그리고 무엇보다,
라미네이트가 아닌 다른 치료가 더 적합한 분들에게는 솔직하게
'라미네이트는 추천하지 않습니다'라고 말씀드립니다.
진단-계획-시술이 따로
놀고 있진 않나요?
선릉역치과 라미네이트 실패 사례의 공통점 ②
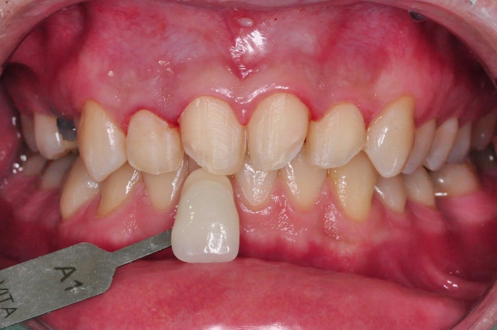
치아 라미네이트는 단순히 치아 앞면을 갈고 덧붙이는 시술이 아닙니다.
이 시술 하나를 위해선 치아 삭제량은 물론
치아 색상과 모양, 잇몸 라인, 교합의 기능성까지 종합적으로 고려해야 합니다.

이런 과정을 한 명의 치과의사가 모두 보기 어려운 경우라면
디자인은 예뻐도 기능적으로 문제 생기거나,
기능은 살렸지만 미소가 어색해지는 경우가 발생할 수 있습니다.
실제로,
"치아는 하얘지고 예뻐졌는데 자꾸 깨져요"
"앞니가 부딪히는 느낌이 들고, 발음이 새요"
같은 후기를 남기시는 분들 대부분은
기초 교합 분석 없이 시술이 진행된 경우가 많았습니다.

그래서 저희는 각 분야에서 10년 이상 진료해온 전문의가 협진해
자연치아를 최대한 보존하면서 기능과 미용을 모두 고려한 라미네이트 시술을 진행하고 있습니다.
특히 교합 전문의가 진단단계부터 함께 참여해,
라미네이트의 내구성과 파절 위험성까지 사전에 예측하고 조율하고 있죠.
이러한 과정을 통해
"치아는 예뻐졌지만 뭔가 불편해요.."라는 말을 듣지 않도록,
예쁘고, 튼튼하고, 오래가는 라미네이트를 목표로 하고 있습니다.
치아는 되돌릴 수 없습니다
선릉역치과
치아 라미네이트는 한 번 삭제한 치아를 되돌릴 수 없습니다.
단순히 예쁜 치아를 원하는 마음에서 시작했다가
기능을 잃고 재치료를 반복하게 되는 분들도 많습니다.
그래서 시술 전
✔ 정밀 진단이 가능한지
✔ 여러 전문의가 협업하는 시스템이 있는지
✔ 무엇보다 자연치아를 살리려는 철학이 있는 병원인지
신중하게 따져보시길 바랍니다.
"환자분께 꼭 필요한 치료만,
최소 삭제로 가장 자연스러운 결과를 만드는 것"
저희가 지켜온 18년의 원칙인데요.
더 궁금한 부분이 있다면 상담부터 받아보시길 바랍니다.
지금까지 선릉역치과 스마일디치과의원 오수환 대표원장이었습니다.
