아카이브 요약
이 페이지의 역할
스마일디치과의원의 네이버 블로그 원문을 보존한 아카이브 페이지입니다. 치아교정 칼럼 카테고리의 강남역 치과? 강남임플란트 찐으로 잘하는 곳은 이렇게 합니다 글을 통해 병원의 한국어 정보 제공 방식과 진료 관련 안내 톤을 확인할 수 있습니다.
원문 검증
필요하면 원문 블로그와 병원 프로필로 바로 이동해 문맥을 다시 확인할 수 있습니다.
출처 아카이브 열기아카이브된 블로그 글
스마일디치과의원 · Naver Blog
강남역 치과? 강남임플란트 찐으로 잘하는 곳은 이렇게 합니다 부모님 임플란트 해드리려 하는데, 정말 실력 있는 곳에서 해드리고 싶어요. 그런데 다 거기가 거기 같고… 가격은 천차만별이라 혼란스럽네요. 많은 분들이 이렇게 고민하시죠. 저 역시 치과의사가 아니고, 가족의 치료를 맡겨야 하는 입장이라면... 같은 고...
게시일
2025년 4월 25일
원문 기준으로 확인된 발행일입니다.
카테고리
치아교정 칼럼
원문 블로그 카테고리를 정리해 함께 표시합니다.
이미지 수
9
현재 아카이브에 연결된 이미지 수입니다.
아카이브 요약
스마일디치과의원의 네이버 블로그 원문을 보존한 아카이브 페이지입니다. 치아교정 칼럼 카테고리의 강남역 치과? 강남임플란트 찐으로 잘하는 곳은 이렇게 합니다 글을 통해 병원의 한국어 정보 제공 방식과 진료 관련 안내 톤을 확인할 수 있습니다.
원문 검증
필요하면 원문 블로그와 병원 프로필로 바로 이동해 문맥을 다시 확인할 수 있습니다.
출처 아카이브 열기부모님 임플란트 해드리려 하는데,
정말 실력 있는 곳에서 해드리고 싶어요.
그런데 다 거기가 거기 같고…
가격은 천차만별이라 혼란스럽네요.
많은 분들이 이렇게 고민하시죠.
저 역시 치과의사가 아니고, 가족의 치료를 맡겨야 하는 입장이라면...
같은 고민을 하지 않았을까 생각합니다.

안녕하세요.
저는 강남역 인근에서 18년 넘게 치과를 운영해 오고 있는 스마일디 대표원장 오수환입니다.
지금까지 한자리를 지켜오며 무사고로 진료를 이어올 수 있었던 비결은
다름 아닌 기본에 충실한 진료 덕분이라 생각합니다.
오늘은 제가 직접 진료를 해오며 느낀,
강남임플란트 잘하는 치과를 고르는 기준을 환자분들 입장에서 쉽게 풀어 말씀드려 보려 합니다.
이 글이 여러분의 현명한 선택에 도움이 되길 바랍니다.
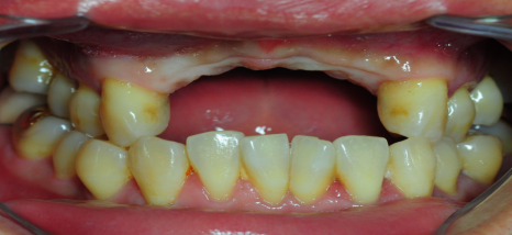
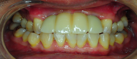
[스마일디 임플란트 사례 중 일부]


치료기간: 23.12.25일-24.06.28 (약 6개월)
진행한 치료: 발치 후 염증치료, 골이식과 임플란트2개 식립후 브릿지


치료기간: 24.11.03일-24.12.03(약 1개월)
진행한 치료: 발치 후 임플란트
*치료 전후 사진은 환자의 동의하에 게재하였으며, 동일한 환경과 조건에서 촬영된 전후 사진입니다.
[스마일디치과의원 안내]
| ☎️ 스마일디치과의원 전화번호 |
|---|
| 0507-1449-2087 |
| ℹ️ 스마일디치과의원 홈페이지 |
|---|
| 공식 홈페이지 |
| 🎥 스마일디치과의원 유튜브 |
|---|
| 유튜브 |
첫째, 업력과 경험을 꼭 확인하세요
강남역 치과
임플란트 잘하는 치과를 찾으실 때 가장 먼저 보시는 게 '전문의 자격이 있는지' 여부일 텐데요.
맞습니다.
치과 전문의는 해당 분야에서 오랜 수련과 교육을 받아야 자격을 취득할 수 있기 때문에
기본적인 실력은 어느 정도 검증되었다고 볼 수 있습니다.
하지만! 여기서 중요한 포인트가 있습니다.
‘전문의’라는 타이틀만으로는 실제 실력을 전부 판단할 수 없다는 점입니다.

전문의 자격은 있지만...
개원 후 실제 강남임플란트 치료를 해본 경험이 채 1년도 되지 않았다면요?
치조골을 잘못 다뤄 2차 염증을 유발하거나, 신경 손상을 일으키는 경우도 생길 수 있습니다.
임플란트는 단순히 '인공치아를 심는 시술'이 아닙니다.
환자분마다 전혀 다른 뼈의 밀도, 신경 위치, 잇몸 두께, 저작 습관까지...
고려해야 할 요소들이 굉장히 많습니다.
그래서 경험 많은 치과의사의 세밀한 진단과 정확한 손기술이 필수입니다.

저희 스마일디에서는 10년 이상 경력의 전문의만이 직접 임플란트를 집도하며
상담부터 수술, 사후관리까지 책임지고 진료를 진행합니다.
물론 이런 시스템을 운영하다 보면
식립하는 임플란트 1개당 가격이 아주 저렴하다고 할 순 없습니다.
하지만, 가격만 보고 치료를 결정했다가 재수술까지 가는 경우를 고려한다면
처음부터 제대로 치료받는 것이 오히려 비용과 시간을 아끼는 길이라고 저는 믿습니다.
주치의가 자주 바뀌지 않는지 확인하세요
강남역 치과
이건 실제 환자분들이 진료를 받으시며 가장 민감하게 체감하는 부분 중 하나입니다.
“선생님, 지난번에 진료 보신 분은 다른 분이셨어요.”
이런 말씀 들을 때마다 참 안타깝습니다.
임플란트나 치아교정처럼 장기간 치료가 필요한 경우,
진료를 시작한 주치의가 중간에 바뀌게 되면 치료 방향이 달라질 수밖에 없습니다.

그래서 보철물 제작을 처음부터 다시 하거나,
잇몸 상태에 따라 계획을 수정해야 하는 상황이 생기기도 하죠.
이런 혼선을 방지하려면 치료 전 '담당 의료진이 끝까지 진료를 보는지' 확인하셔야 합니다.
저희 병원은 처음 상담부터 식립, 사후관리까지
담당 주치의가 끝까지 책임지고 진료합니다.
그래야 환자분 입장에서도 신뢰를 갖고 마음 편히 치료받으실 수 있으니까요.
임플란트는 단지 치아 하나를 심는 것이 아니라,
앞으로 10년, 20년 이상 사용할 소중한 인공치아를 만드는 과정입니다.
단순히 "싸고 가까운 강남역 치과"를 찾기보다는
얼마나 경험 많은 의료진이 책임감 있게 시술하는지
진료 과정이 일관되고 체계적인지
살펴보신다면 더 안전하고 만족도 높은 치료 결과를 기대하실 수 있습니다.
어떤 강남역 치과든 광고는 좋게 보일 수밖에 없습니다.
그러니 직접 발로 다니시고, 꼼꼼하게 따져보시길 추천드립니다.
강남임플란트 찐으로 잘하는 강남역 치과를 찾고 계시다면,
저희 스마일디도 그 비교 대상 중 하나로 한 번 방문해주셨음 합니다. ^^
지금까지 스마일디치과의원 대표원장 오수환이었습니다.
