아카이브 요약
이 페이지의 역할
스마일디치과의원의 네이버 블로그 원문을 보존한 아카이브 페이지입니다. 치아교정 칼럼 카테고리의 무삭제 라미네이트 부작용 없으려면? 이 한 가지는 꼭 확인하세요 글을 통해 병원의 한국어 정보 제공 방식과 진료 관련 안내 톤을 확인할 수 있습니다.
원문 검증
필요하면 원문 블로그와 병원 프로필로 바로 이동해 문맥을 다시 확인할 수 있습니다.
출처 아카이브 열기아카이브된 블로그 글
스마일디치과의원 · Naver Blog
무삭제 라미네이트 부작용 없으려면? 이 한 가지는 꼭 확인하세요 라미네이트 부작용이 치아 삭제량때문인 걸로 알아요. 무삭제면 안전한 거 아닌가요? 라미네이트를 고민 중인 분들이라면 한 번쯤 무삭제 라미네이트라는 말을 들어보셨을 텐데요. 치아를 안 깎는다니... 듣기만 해도 안심이 되고 솔깃하죠. 마치 부작용 걱정도...
게시일
2025년 4월 30일
원문 기준으로 확인된 발행일입니다.
카테고리
치아교정 칼럼
원문 블로그 카테고리를 정리해 함께 표시합니다.
이미지 수
10
현재 아카이브에 연결된 이미지 수입니다.
아카이브 요약
스마일디치과의원의 네이버 블로그 원문을 보존한 아카이브 페이지입니다. 치아교정 칼럼 카테고리의 무삭제 라미네이트 부작용 없으려면? 이 한 가지는 꼭 확인하세요 글을 통해 병원의 한국어 정보 제공 방식과 진료 관련 안내 톤을 확인할 수 있습니다.
원문 검증
필요하면 원문 블로그와 병원 프로필로 바로 이동해 문맥을 다시 확인할 수 있습니다.
출처 아카이브 열기라미네이트 부작용이
치아 삭제량때문인 걸로 알아요.
무삭제면 안전한 거 아닌가요?
라미네이트를 고민 중인 분들이라면 한 번쯤 무삭제 라미네이트라는 말을 들어보셨을 텐데요.
치아를 안 깎는다니... 듣기만 해도 안심이 되고 솔깃하죠.
마치 부작용 걱정도 전혀 없어 보이고, 완전히 안전한 시술처럼 느껴지기도 합니다.
하지만 정말 그럴까요?
18년 경력의 교정과 전문의이자 스마일디치과 대표원장으로서,
또 10년 이상의 경력을 가진 저희 전문의 선생님들과 함께 수많은 사례를 보며
저는 오히려 이런 질문을 드리고 싶습니다.
“무삭제 라미네이트 부작용에 대해선 충분히 알아보셨을까요?”

오늘 글에서 이 부분에 대해서 짚어드리려 하니,
라미네이트 관심 가지셨던 분들이라면 한 번쯤 읽어보시면 분명 도움이 될 거라 생각합니다.
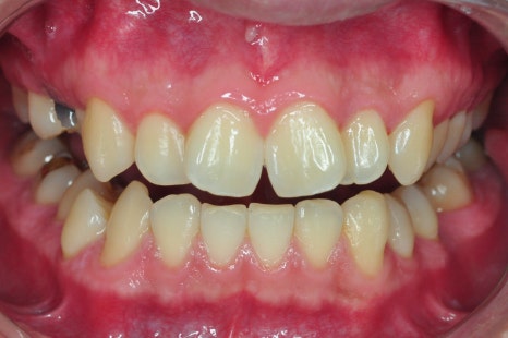
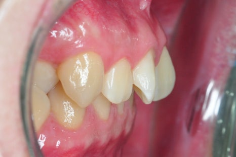
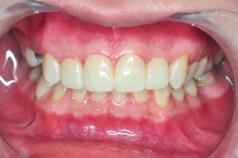
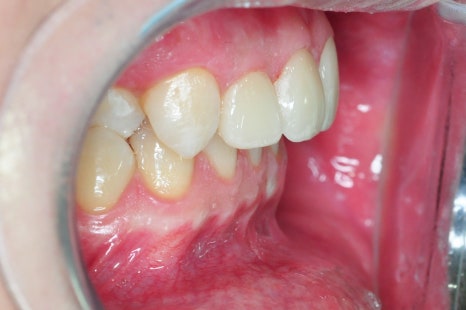
<최소삭제라미네이트 전후 사진>


저삭제 라미네이트 치료 전


저삭제 라미네이트 치료 후
*치료기간: 24.7.02-24.07.11
*치료 전후 사진은 환자의 동의하에 게재하였으며, 동일한 환경과 조건에서 촬영된 전후 사진입니다.
*통증, 잇몸 염증, 뿌리 손상 등의 부작용이 있을 수 있으며, 이러한 부작용은 개인의 체질이나 상태에 따라 다르게 나타날 수 있습니다.
[스마일디치과의원 안내]
| ☎️ 스마일디치과의원 전화번호 |
|---|
| 0507-1449-2087 |
| ℹ️ 스마일디치과의원 홈페이지 |
|---|
| 공식 홈페이지 |
| 🎥 스마일디치과의원 유튜브 |
|---|
| 유튜브 |
무삭제 라미네이트,
치아는 안 깎으니 무조건 좋은 걸까요?
라미네이트는 치아 겉면에 얇은 구조물을 붙이는 치료입니다.
이때, 보철물을 부착하기 위해 일반적으로 치아의 법랑질을 0.3~0.7mm 정도 삭제하게 되죠.

당연히 치아 삭제는 되도록 줄이는 게 맞습니다.
치아는 한 번 깎으면 다시 나지 않으니까요.
그래서 '무삭제'라는 단어가 환자분들에게 굉장히 매력적으로 들릴 수 있습니다.
하지만, 여기서 간과하시는 게 하나 있는데...
라미네이트 부작용이 꼭 치아를 깎아서 생기는 것만이 아닙니다.
적절하지 않은 조건에서 '무삭제'만 고집할 경우, 오히려 더 큰 문제로 이어질 수 있죠.

그래서 제가 가장 먼저 체크하는 건 환자분이 라미네이트에 적합한 상태인지입니다.
단순히 치아를 깎느냐 마느냐 이전에,
이 시술이 근본적으로 맞는 방법인지부터 판단하는 것이 중요한데요.
대표적인 예로,
돌출입이 심하거나 앞니가 돌출된 경우, 또는 부정교합이 있는 경우라면
무삭제로 라미네이트를 시도하는 건 부작용을 부를 수 있습니다.
치아가 더 뻐드러지거나
입술이 도드라져 보이고
말하거나 씹을 때 부자연스러움이 생기고,
결국 다시 재시술을 해야 하는 일이 생깁니다.
즉, 치아를 깎지 않으려고 무리하게 무삭제를 시도하다가 라미네이트 부작용이 생기는 것이죠.
무삭제 라미네이트 부작용을 피하려면
무삭제 라미네이트가 효과적인 경우도 물론 존재합니다.
대표적으로 치아 배열이 비교적 고르고, 돌출이 없으며,
미백 위주의 심미 보완이 필요한 경우엔 충분히 좋은 선택이 될 수 있습니다.
하지만 앞서도 이야기했듯, 무조건적인 무삭제를 고집하면
오히려 치아가 더 두껍고 부자연스러워지고,
라미네이트가 잘 떨어지거나 치아 사이에 음식물이 끼는 등 라미네이트 부작용이 생길 수 있습니다.
이 때문에 저희는 다음의 원칙은 꼭 지키고 있습니다.

'진단부터 정밀하게'
치아는 사람마다 생김새도 다르고 교합(물리는 방식)도 천차만별이지요.
그래서 3D 구강 스캐너나 구강사진, CT, 모형 분석 등을 활용해
다각도로 치아 구조를 분석하는 게 중요합니다.
단순히 앞니 몇 개만 보고 결정하지 않고, 전체적인 구강 기능과 조화를 따져보는 게 핵심이죠.
만일 치아가 돌출되어 있다면 라미네이트 부착 후 더 앞으로 튀어나올 수밖에 없습니다.
이런 경우는 교정 치료를 병행하거나, 최소한의 삭제가 필요할 수 있습니다.
무작정 삭제하지 않는 것이 능사가 아닙니다.

이 과정을 더욱 안전하게 수행하기 위해
저희는 10년 이상 진료를 해오신 선생님들께서 협진하는 시스템을 갖추고 있습니다.
단순히 앞니만 예쁘게 만드는 게 아니라,
치아의 위치, 배열, 구조적 문제까지 보다 정밀하게 진단해
환자분께 적합한 치료 방향을 안내하고자 노력하고 있습니다.
무삭제 라미네이트는 치아 삭제를 최소화할 수 있다는 점에서 매력적인 치료 방식이지만,
모든 환자에게 똑같이 적용되기는 어렵습니다.
그러니 ‘안 깎는 라미네이트’에 혹하기보다는,
정말 나에게 맞는 시술인지
라미네이트 부작용은 없는지.
한 번 더 꼼꼼히 따져보셨으면 하는데요.
더 궁금한 점이 있으시다면 전문의와 충분한 상담 받아보시길 바랍니다.
지금까지 스마일디치과의원 대표원장 오수환이었습니다.
