아카이브 요약
이 페이지의 역할
스마일디치과의원의 네이버 블로그 원문을 보존한 아카이브 페이지입니다. 치아교정 칼럼 카테고리의 강남 치과추천, 스마일디치과 괜찮을까? 물어보시는 분들께 글을 통해 병원의 한국어 정보 제공 방식과 진료 관련 안내 톤을 확인할 수 있습니다.
원문 검증
필요하면 원문 블로그와 병원 프로필로 바로 이동해 문맥을 다시 확인할 수 있습니다.
출처 아카이브 열기아카이브된 블로그 글
스마일디치과의원 · Naver Blog
강남 치과추천, 스마일디치과 괜찮을까? 물어보시는 분들께 교정 생각하고 있는데, 어디가 좋은지 도무지 모르겠어요... 혹시 요즘 이런 고민하고 계신가요? 안녕하세요. 스마일디치과 대표원장 오수환입니다. 연세대학교 치의학과 및 대학원 졸업 보건복지부 인증 교정과 전문의 대한치과교정학회 정회원 세계교정학회(WFO)...
게시일
2025년 5월 1일
원문 기준으로 확인된 발행일입니다.
카테고리
치아교정 칼럼
원문 블로그 카테고리를 정리해 함께 표시합니다.
이미지 수
10
현재 아카이브에 연결된 이미지 수입니다.
아카이브 요약
스마일디치과의원의 네이버 블로그 원문을 보존한 아카이브 페이지입니다. 치아교정 칼럼 카테고리의 강남 치과추천, 스마일디치과 괜찮을까? 물어보시는 분들께 글을 통해 병원의 한국어 정보 제공 방식과 진료 관련 안내 톤을 확인할 수 있습니다.
원문 검증
필요하면 원문 블로그와 병원 프로필로 바로 이동해 문맥을 다시 확인할 수 있습니다.
출처 아카이브 열기교정 생각하고 있는데,
어디가 좋은지 도무지 모르겠어요...
혹시 요즘 이런 고민하고 계신가요?

안녕하세요. 스마일디치과 대표원장 오수환입니다.
연세대학교 치의학과 및 대학원 졸업
보건복지부 인증 교정과 전문의
대한치과교정학회 정회원
세계교정학회(WFO), 미국교정학회(AAO)
활동 중
지금까지 신사역 앞에서만 18년간 치과를 운영하면서
돌출입, 주걱턱, 무턱, 덧니 등의 치아 문제를 안고 고민 중이신 분들을 많이 만나 뵈었는데요.
가장 궁금해하시는 것은 '강남 치과추천, 어디가 좋은가요?'가 아닐까 싶습니다.
정보가 넘쳐나는 요즘, 오히려 어디를 어떻게 골라야 할지 더 막막하시죠.
오늘은 그런 분들을 위해
정말 필요한 딱 세 가지 기준만 정리해 드리겠습니다.
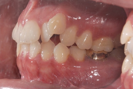
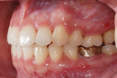
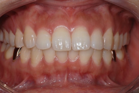
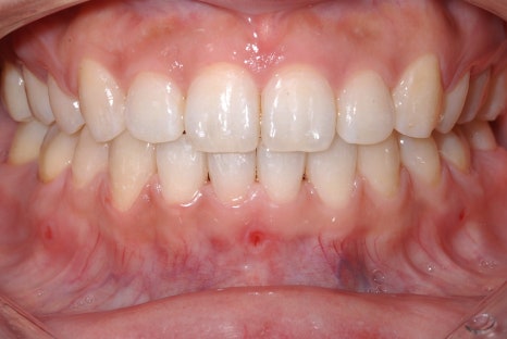
<교정치료 전후 사진>


치료기간: 23.05.15 - 24.10.21 (약 1년 6개월)
진행한 치료: 덧니, 치열 개선


치료기간: 23.01.18 - 24.6.04 (약 1년 6개월)
진행한 치료: 돌출, 중심선 개선
*치료 전후 사진은 환자의 동의하에 게재하였으며, 동일한 환경과 조건에서 촬영된 전후 사진입니다.
[스마일디치과의원 안내]
| ☎️ 스마일디치과의원 전화번호 |
|---|
| 0507-1449-2087 |
| ℹ️ 스마일디치과의원 홈페이지 |
|---|
| 공식 홈페이지 |
| 🎥 스마일디치과의원 유튜브 |
|---|
| 유튜브 |
전문의 자격은 기본,
경력과 업력을 함께 보세요
강남 치과추천
치과의사 자격증이 있다고 해서 모든 치과의사가 교정을 전문적으로 배운 건 아닌데요.
치의학과를 졸업한 뒤,
교정학을 전문으로 공부하려면 최소 4년 이상의 추가 임상 교육이 필요합니다.
특히 교정은 실제 환자를 대상으로 한 임상 능력을 중요하게 보기 때문에
보건복지부가 지정한 수련기관에서 실습을 마쳐야만 공식 교정과 전문의 자격이 주어지죠.

저 역시 이 모든 과정을 모두 마치고
지금까지 교정 치료만 18년째 해오고 있는데요.
자격만큼 중요한 것이 '경험'입니다.
전문의 자격이 있다고 해도,
실제 케이스를 얼마나 다양하게 경험했는지가
치료의 완성도를 좌우하니까요.
참고로 저희 스마일디는,
저를 포함해 모든 협진 전문의가 10년 이상 경력을 갖춘 교정 및 치과 치료 전문가들입니다.
소통 잘 하는지,
주치의 일관성도 따져보세요
강남 치과추천
교정은 단기 치료가 아닙니다.
평균적으로 1년 반에서 2년 가까이 소요되고 매달 정기적으로 치과를 방문해야 합니다.
그러니 의료진과 얼마나 잘 소통되는지,
자신의 이야기를 제대로 들어주는지를 꼭 확인하시는 게 좋겠지요.

또 하나, 많은 분들이 놓치는 부분이
'중간에 담당 의사가 바뀌는 건 아닌가?' 하는 점입니다.
요즘 일부 병원에서는 페이닥터가 교정 진료를 맡는 경우도 많은데요.
이 경우 1년 단위로 계약이 끝나면 치료 도중에 주치의가 바뀔 수 있어
치료의 일관성이 깨지는 문제가 생길 수 있습니다.

이렇게 되면 진료 방향이 수정되어 치료에 지장이 생길 수 있고,
심한 경우 재교정이 필요할 수도 있는데요.
그러니 안정적인 진행을 위해서는 여러분의 담당의가 누구인지 사전에 체크해 보셨으면 합니다.
저희 스마일디는 처음 상담부터 치료 종료까지
전문의가 1:1로 직접 진료를 담당하는 체계를 운영하고 있습니다.
환자분의 교정 치료 전 과정을 일관되게 관리할 수 있도록 시스템을 갖추고 있지요.
진료철학은 어떤가요?
강남 치과추천
교정은 단순히 치아를 가지런히 만드는 치료가 아닙니다.
저희 스마일디치과가 정말 중요하게 여기는 건,
얼굴과 조화를 이루는 자연스러운 미소입니다.
사람마다 턱 위치나 입술 두께, 웃을 때의 표정, 심지어 눈매까지 다 다르기 때문에
똑같은 치아 배열이라 해도 누군가에겐 잘 어울리고, 다른 누군가에겐 어색해 보일 수 있습니다.
그래서 저희는 교정을 시작할 때
단순히 치아만 보지 않습니다.

그 사람의 전체적인 얼굴형과 골격, 입술선과 웃는 표정, 턱의 움직임까지 고려한
진단을 먼저 진행합니다.
이렇게 시작된 진료는 교정이 끝난 후에도 "예뻐졌다", "자연스럽다", "인상이 좋아졌다"
이런 반응으로 이어지게 되죠.
많은 환자분들이 치료 후 인상 변화에 만족한다고 말씀해주실 때마다,
저희가 추구하는 철학이 결코 틀리지 않았다고 느낍니다.
교정 치료의 끝은 단순히 장치를 제거하는 시점이 아니라,
환자 스스로의 미소에 자신감을 갖게 되는 순간이라고 믿습니다.
혹시 지금도 강남 치과추천으로 검색하고 계시다면,
이 글이 조금이나마 기준을 세우는 데 도움이 되었길 바랍니다.
궁금한 점이나 더 알고 싶은 부분이 있다면 언제든지 편하게 문의주세요.
스마일디치과는 환자의 입장에서 진료하고, 환자의 미소를 함께 고민합니다.
감사합니다.
