아카이브 요약
이 페이지의 역할
스마일디치과의원의 네이버 블로그 원문을 보존한 아카이브 페이지입니다. 치아교정 칼럼 카테고리의 돌출입수술 대신, 인비절라인 돌출입 개선 사례 글을 통해 병원의 한국어 정보 제공 방식과 진료 관련 안내 톤을 확인할 수 있습니다.
원문 검증
필요하면 원문 블로그와 병원 프로필로 바로 이동해 문맥을 다시 확인할 수 있습니다.
출처 아카이브 열기아카이브된 블로그 글
스마일디치과의원 · Naver Blog
돌출입수술 대신, 인비절라인 돌출입 개선 사례 돌출입 때문에 옆모습이 너무 스트레스예요. 돌출입수술은 무섭고, 브라켓 교정은 부담스러운데.. 방법이 없을까요? 방법, 있습니다. 안녕하세요. 보건복지부 인증 교정과 전문의, 오수환입니다. 올해로 교정 진료 18년 차가 되었는데, 그중에서도 가장 많이...
게시일
2025년 5월 2일
원문 기준으로 확인된 발행일입니다.
카테고리
치아교정 칼럼
원문 블로그 카테고리를 정리해 함께 표시합니다.
이미지 수
16
현재 아카이브에 연결된 이미지 수입니다.
아카이브 요약
스마일디치과의원의 네이버 블로그 원문을 보존한 아카이브 페이지입니다. 치아교정 칼럼 카테고리의 돌출입수술 대신, 인비절라인 돌출입 개선 사례 글을 통해 병원의 한국어 정보 제공 방식과 진료 관련 안내 톤을 확인할 수 있습니다.
원문 검증
필요하면 원문 블로그와 병원 프로필로 바로 이동해 문맥을 다시 확인할 수 있습니다.
출처 아카이브 열기돌출입 때문에
옆모습이 너무 스트레스예요.
돌출입수술은 무섭고,
브라켓 교정은 부담스러운데..
방법이 없을까요?
방법, 있습니다.

안녕하세요.
보건복지부 인증 교정과 전문의, 오수환입니다.
올해로 교정 진료 18년 차가 되었는데,
그중에서도 가장 많이 다뤄온 분야가 바로 돌출입 교정입니다.
(일본, 두바이, 홍콩 승무원분들도 찾아주시곤 합니다)
본론으로 돌아가
티 나지 않게, 수술 없이 돌출입 개선할 수 있는 방법 찾고 계시지요?
저는 인비절라인 투명교정을 제안드리고 싶은데요.
제가 이렇게 말씀드리면,
'투명교정으로는 발치 교정이나 돌출입은 개선이 어렵다고 들었어요..'
라고 하시는 분들도 계십니다.
맞습니다.
우리가 흔히 아는 투명교정 장치는 캡처럼 치아를 감싸는 구조로,
심미성은 뛰어나지만 치아 뿌리를 움직이기에는 한계가 있죠.
하지만 인비절라인은 다릅니다.
자체 3D 시뮬레이션과 정밀한 설계를 바탕으로
돌출입, 주걱턱, 벌어진 치아까지도 효과적으로 개선할 수 있는 교정 방식입니다.
발치가 필요한 정도의 돌출입도 인비절라인으로 안정적으로 개선이 가능하죠.
이어서 인비절라인 돌출입 교정 진행과정에 관해 보다 구체적으로 설명드릴 테니,
3분만 집중해 주셨음 합니다.
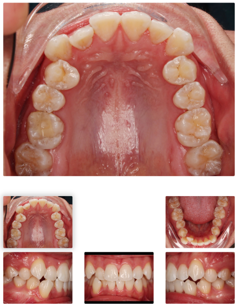
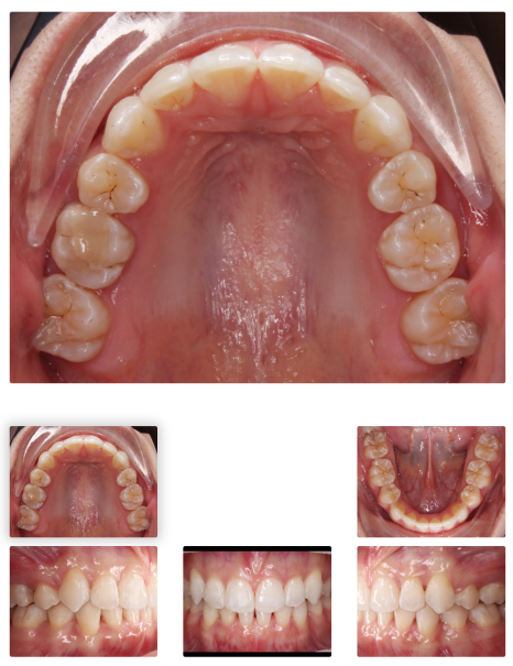
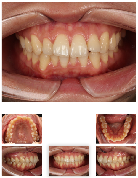
< 인비절라인 돌출입 교정 사례 중 일부>


김병*님 치료기간: 23.1.17 - 24.12.07 (약 2년)


조경*님 치료기간: 24.09.02 - 25.03.04 (약 1년 6개월)


치료기간: 24.12.13 - 진행 중
[스마일디치과의원 안내]
| ☎️ 스마일디치과의원 전화번호 |
|---|
| 0507-1449-2087 |
| ℹ️ 스마일디치과의원 홈페이지 |
|---|
| 공식 홈페이지 |
| 🎥 스마일디치과의원 유튜브 |
|---|
| 유튜브 |
인비절라인 돌출입 치료 A to Z
돌출입수술
인비절라인은 얇고 투명한 특수 플라스틱 소재로 만들어져
평소 생활 중에는 거의 티 나지 않는 것이 가장 큰 장점이죠.
기본적인 치료 과정은 일반 교정과 비슷합니다.
문제 분석 > 장치 제작 > 장치 주기적으로 교체하며 문제 개선
환자분의 현재 상태를 3D 스캔으로 정밀 분석하고,
그 진단 자료를 기반으로, 치료 종료 시점까지의 모든 장치를 미리 설계하는데요.

이후 정해진 시뮬레이션대로 장치를 주기적으로 교체하며
조금씩 치아를 이동시켜나가는 방식입니다.
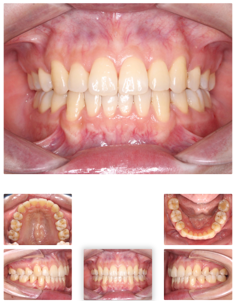
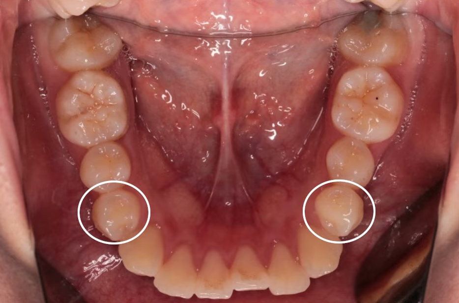
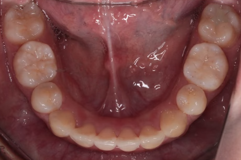
발치 + 인비절라인 돌출입 개선 사례
바로 사례부터 보여드릴게요.
"입이 나와 보여요"라며 찾아주신 여성 환자분이셨는데요.


치료 전 X-ray 측면 모습으로도 치아가 앞으로 기울어져 있고,
입이 튀어나온 모습을 확인할 수 있습니다.
돌출입수술은 무섭고, 회복도 걱정돼
비수술적인 방법을 찾다가 인비절라인을 선택하게 되셨는데요.


상악, 하악 각각 첫 번째 소구치를 발치했고,
인비절라인을 통해 치아를 뒤로 이동시키며 돌출을 점진적으로 개선했습니다.


뻐드러져 있던 치아 배열 모습이 정상적으로 돌아온 걸 확인하실 수 있을 겁니다.
총 치료 기간은 약 20개월이 걸렸는데요.

치료 전후 X-ray 사진을 비교해 보면,
기울어졌던 앞니가 정상 각도로 줄어들었고 자연스레 돌출입도 개선된 걸 볼 수 있지요.
입술 라인도 부드럽고 자연스럽게 닫히며,
잇몸 노출도 줄어들어 웃는 인상까지 부드러워졌는데요.
교정 끝난 뒤엔 라미네이트도 추가해 앞니 라인이나 색상까지 정리해 드렸습니다.
단, 이런 분들께는 추천드리지 않습니다
돌출입수술
인비절라인은 정밀하고 다양한 케이스를 치료할 수 있지만,
모든 환자분께 권해드리진 않는데요.
☑️ 턱 자체의 구조 문제라던가
☑️ 장치를 하루 20시간 이상 착용하기 어려운 라이프스타일을 가진 분들
이런 경우는 오히려 브라켓+와이어 방식의 전통 교정 치료가 더 안정적일 수 있습니다.
정확한 판단은 검진을 통해 내리는 것이 중요하니,
자신에게 가장 적합한 치료를 위해 꼭 직접 상담받아보시길 권해드립니다.
돌출입이 꼭 수술로만 해결되는 건 아닙니다.
정확한 진단과 계획이 선행된다면,
인비절라인만으로도 돌출입수술 못지않은 변화를 이끌어낼 수 있지요.
저희 스마일디치과는
18년 경력 교정과 전문의 대표원장
단 한 번의 의료사고 없는 4,000건 이상 치료 경험
10년 차 이상 숙련된 전문의 협진 시스템
을 통해 환자 한 분 한 분께 가장 효과적인 교정 솔루션을 제공하고 있습니다.
더 궁금한 점이 있다면 편하게 문의해 주시고,
자연스럽게 예뻐지는 첫걸음을 함께 하셨으면 좋겠습니다.
지금까지 스마일디치과의원 대표원장 오수환이었습니다. 감사합니다.
