안녕하세요.
누적 시술 5,000건
18년 무사고 진료로
환자 한 분 한 분의 미소를 디자인해온
웃는 치과의사,
스마일디치과 대표원장 오수환입니다.

"교정하고 싶은데,
주변 사람들 모르게 조용히 하고 싶어요"
교정을 하고 싶지만 금속 장치가 너무 눈에 띄어 고민하시는 분들이 많습니다.
치아를 가지런하게 만들고 싶은 마음은 큰데,
주변 사람들에게 티가 날까 봐 시작을 망설이게 되죠.
아마 여러분도 공감하며 고개를 끄덕이고 계실 텐데요.
저 역시 상담을 하다 보면 요즘에는 남녀노소를 불문하고
겉으로 드러나는 교정 장치를 피하고 싶은 분들이 많다는 사실을 매번 느낍니다.
바로 이런 분들에게 적합한 선택이 인비절라인 교정이 아닐까 싶은데요.
장치가 거의 눈에 띄지 않고 착용도 편리해
일상생활에 부담을 최소화하면서 치아를 계획적으로 움직일 수 있기 때문이죠.

다만 환자분마다 치아 상태와 생활 습관이 다르기 때문에 맞춤 설계는 필수인데요.
오늘 글에서는 인비절라인 교정을 고민하는 분들이라면 꼭 알아두셔야 할 내용과 주의점을 한 번 정리해 봤습니다.
2분만 투자해 읽어주시면 보다 자신 있게 교정을 시작할 수 있는 판단 기준을 잡으실 수 있을 거예요.
[스마일디치과의원 안내]
[스마일디치과의원 오시는 길]
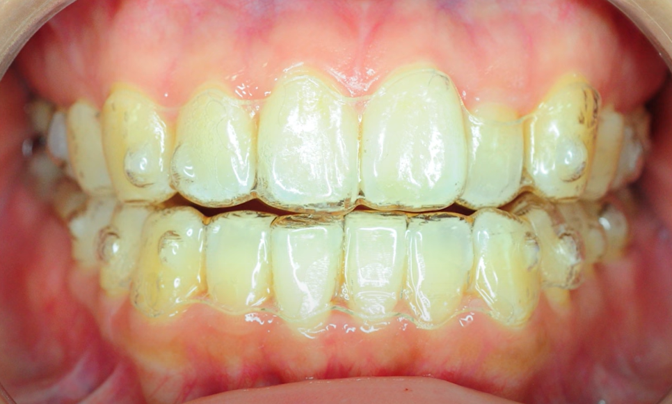
인비절라인 정말 티 안나요?
여러분도 알고 계시듯 인비절라인 교정의 가장 큰 장점은 티가 잘 안나는 겁니다.
투명한 교정 장치를 치아에 맞춰 제작하기 때문에,
웃거나 말할 때 주변 사람들이 거의 알아차리지 못하죠.

게다가 착탈식이라 식사와 양치가 자유로워 구강 위생 관리가 훨씬 쉽습니다.
금속 브라켓처럼 음식물 끼임이나 세균 번식 걱정도 덜하고요.

물론, 착용 시간과 관리가 중요합니다.
하루 최소 20~22시간 착용하지 않으면 계획된 교정 효과가 나타나지 않거든요.
그래서 저희 스마일디치과는 어느 한 가지 방법만 고집하기보다는
환자분에게 가장 편하고 효과적인 맞춤 전략을 함께 고민하는데요.

예를 들어 하루 착용 시간이 다소 짧은 분은 착용 관리가 더 용이한 장치와 계획을 설계하고,
치아 배열이 복잡한 경우에는 필요시 보조 장치나 단계별 교정 방식을 병행하기도 하죠.
한편 예상치 못한 미세 이동이나 트러블이 발생했을 때는 문제 해결 능력이 매우 중요해지는데요.
저희는 18년간 5,000건 이상의 누적 시술 경험과 노하우를 바탕으로
이런 상황에서도 환자분께 꼭 맞는 교정 설계를 해드리고 있습니다.


결국 장치가 티 나지 않는 것뿐 아니라 계획대로 안전하게 치아를 이동시키는 것이 핵심입니다.
그러니 인비절라인 교정을 생각하신다면
전문의의 시술 경험과 업력, 세심한 맞춤 설계 능력, 사후 관리 체계 등
여러 요소를 꼼꼼히 따져보셨으면 좋겠습니다.
인비절라인, 꼭 알아야 할 주의점
물론 인비절라인 교정에도 주의할 점과 단점이 있는데요.
앞서도 언급했듯 착용 시간 준수는 필수입니다.
투명 교정 장치는 착탈식이기 때문에,
하루 20~22시간 이상 착용해야 원하는 효과를 얻을 수 있는데요.
착용 시간이 부족하면 교정이 지연되거나 계획과 달리 치아가 이동할 수 있습니다.

한편 치아 배열이 복잡하거나 부정교합이 심한 경우,
인비절라인 단독으로는 충분한 교정 효과를 얻기 어려울 수 있는데요.
그래서 저희 스마일디치과에서는 초기 상담 시
디지털 스캔과 맞춤 계획으로 환자분에게 최적의 교정 방법을 안내합니다.
정기 관리도 필수입니다.
많은 분들이 인비절라인 교정과 같은 투명교정은
한 장치로 끝까지 교정이 진행되는 거라고 오해하시는데, 사실 그렇지 않습니다.
교정 과정에서는 치아 움직임에 맞춰 여러 장치를 단계별로 교체하면서 계획된 위치로 조정해 나가야 합니다.

정기적인 점검이 없다면 치아 이동이 계획과 다르게 이루어질 수 있으므로
내원 주기를 놓치지 않고 제때 내원해주셔야 합니다.
이렇게 해야 치아가 계획대로 이동하고, 교정 효과를 최대화할 수 있습니다.
즉 인비절라인 교정은 장점이 많지만,
계획과 관리가 뒷받침될 때 비로소 효과적이라는 점 꼭 유념해 주셨으면 합니다.
인비절라인 교정은 눈에 띄지 않으면서 치아와 얼굴 균형을 함께 개선할 수 있는 방법인데요.
단 정확한 진단과 맞춤 계획, 경험 많은 의료진의 관리가 필수입니다.
혹시 교정을 시작할지 망설이고 계시다면 혼자 고민하지 마시고 상담받아보시길 바랍니다.
진료 및 예약 절차는 문의 시 안내받으실 수 있으니
언제든 편하게 문의주시길 바랍니다.
자연스럽고 자신 있는 미소를 만들어 드리기 위해 함께 고민하겠습니다. ^^
지금까지 스마일디치과의원이었습니다. 감사합니다.
[스마일디치과의원 안내]
| ☎️ 스마일디치과의원 전화번호 |
|---|
| 0507-1449-2087 |
| ℹ️ 스마일디치과의원 홈페이지 |
|---|
| 공식 홈페이지 |
| 🎥 스마일디치과의원 유튜브 |
|---|
| 유튜브 |