아카이브 요약
이 페이지의 역할
스마일디치과의원의 네이버 블로그 원문을 보존한 아카이브 페이지입니다. 치아교정 칼럼 카테고리의 덧니 라미네이트와 덧니 교정, 뭐가 더 나을까요? < 18년차 전문의 답변> 글을 통해 병원의 한국어 정보 제공 방식과 진료 관련 안내 톤을 확인할 수 있습니다.
원문 검증
필요하면 원문 블로그와 병원 프로필로 바로 이동해 문맥을 다시 확인할 수 있습니다.
출처 아카이브 열기아카이브된 블로그 글
스마일디치과의원 · Naver Blog
덧니 라미네이트와 덧니 교정, 뭐가 더 나을까요? < 18년차 전문의 답변> 안녕하세요. 누적 시술 5,000건 이상의 경험을 바탕으로 환자 한 분 한 분의 미소를 디자인해온 웃는 치과의사, 스마일디치과 대표원장 오수환입니다. "선생님 덧니가 삐뚤빼뚤하게 났는데 그냥 라미네이트로 예쁘게 덮을 수...
게시일
2025년 8월 28일
원문 기준으로 확인된 발행일입니다.
카테고리
치아교정 칼럼
원문 블로그 카테고리를 정리해 함께 표시합니다.
이미지 수
10
현재 아카이브에 연결된 이미지 수입니다.
아카이브 요약
스마일디치과의원의 네이버 블로그 원문을 보존한 아카이브 페이지입니다. 치아교정 칼럼 카테고리의 덧니 라미네이트와 덧니 교정, 뭐가 더 나을까요? < 18년차 전문의 답변> 글을 통해 병원의 한국어 정보 제공 방식과 진료 관련 안내 톤을 확인할 수 있습니다.
원문 검증
필요하면 원문 블로그와 병원 프로필로 바로 이동해 문맥을 다시 확인할 수 있습니다.
출처 아카이브 열기덧니 라미네이트와 덧니 교정, 뭐가 더 나을까요? < 18년차 전문의 답변>
안녕하세요.
누적 시술 5,000건
이상의 경험을 바탕으로
환자 한 분 한 분의 미소를 디자인해온
웃는 치과의사,
스마일디치과 대표원장 오수환입니다.

"선생님 덧니가 삐뚤빼뚤하게 났는데
그냥 라미네이트로
예쁘게 덮을 수 있을까요?"
덧니는 웃을 때 가장 먼저 눈에 띄는 부분이라,
교정을 해야 할지, 아니면 라미네이트로 간단히 해결할 수 있을지 고민하는 분들이 많은데요.
그런데 덧니 라미네이트와 덧니 교정은 접근 방식부터 완전히 다릅니다.
어느 방법이 본인에게 맞는지는 치아 상태, 덧니의 정도, 원하는 결과에 따라 달라지죠.
저희 스마일디치과에서는 수천 건의 교정 및 심미 보철 진료 경험을 바탕으로,
환자분의 치아를 예쁘게만 바꾸는 것이 아니라 얼굴과 조화롭게 어울리도록 디자인합니다.
인플루언서분들이 저희를 찾아주시는 이유도 바로 여기에 있는데요.
오늘은 많은 분들이 헷갈려 하시는 덧니 라미네이트와 덧니 교정,
어떤 차이가 있는지 하나하나 풀어보겠습니다.
[스마일디치과의원 안내]
[스마일디치과의원 오시는 길]
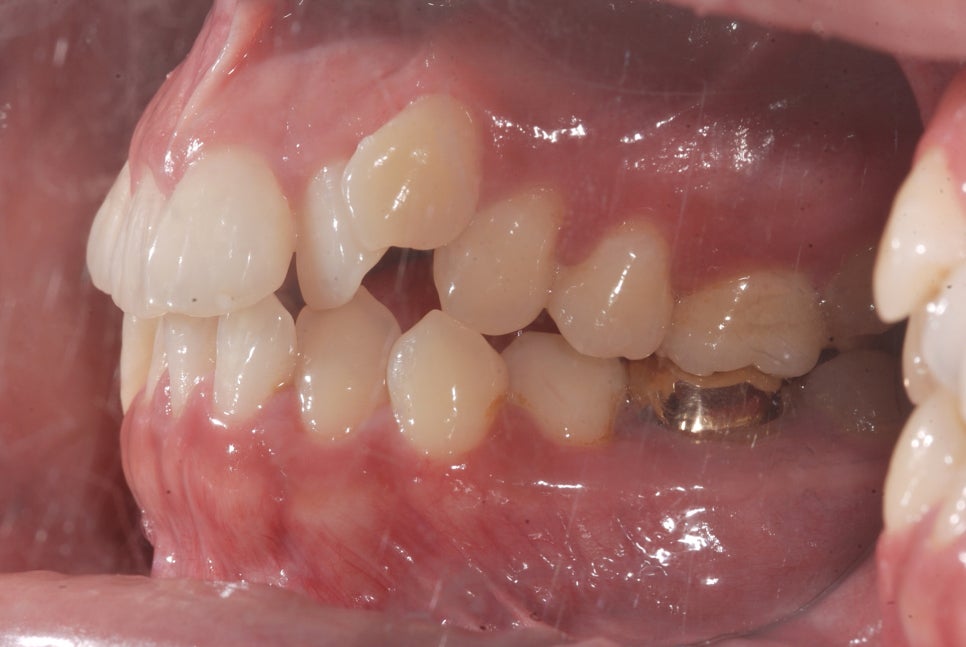
덧니 라미네이트,
언제 고려할 수 있을까요?
덧니 라미네이트는 말 그대로 치아의 겉면을 얇게삭제하고,
그 위에 세라믹 판을 붙여 치아 배열을 가지런해 보이도록 만드는 방법입니다.

치료 기간이 짧고, 교정보다 즉각적인 효과를 볼 수 있다는 게 장점이죠.
만약 덧니의 돌출 정도가 크지 않고, 치아 배열이 살짝 어긋난 정도라면
라미네이트만으로도 충분히 가지런하고 예쁜 치아를 연출할 수 있습니다.
하지만 여기에는 분명 전제가 필요합니다.
치아를 삭제해야 하는 만큼 건강한 치아를 일부 깎아내야 한다는 부담이 있죠.

또 덧니가 심하게 겹쳐 있거나 교합이 맞지 않는 경우에는
덧니 라미네이트만으로는 근본적인 해결이 어렵기도 합니다.
스마일디치과에서는 환자분의 겉모습만 보고 라미네이트를 권하지 않습니다.
실제 교합, 턱뼈 구조, 치아 배열을 꼼꼼하게 체크한 뒤
꼭 필요한 경우에만 적용하고 있습니다.


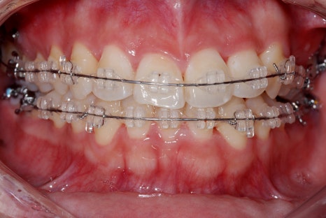
덧니 교정,
근본적인 해결책이 될 수 있을까요?
덧니 교정은 치아 자체를 움직여서 배열을 바르게 만드는 치료인데요.
시간이 걸린다는 점에서 단기간 결과를 원하는 분들에게는 망설여지는 선택일 수 있지만,
장기적으로는 가장 근본적인 해결책이라고 말씀드릴 수 있습니다.
왜냐하면 덧니는 '보기 안 좋다'의 문제가 아니라,
구강 관리가 어렵고 충치나 잇몸질환이 잘 생기는 구조적 문제를 동반하기 때문입니다.

교정 치료를 통해 덧니를 가지런히 배열하면
심미적인 개선뿐 아니라 구강 건강까지 동시에 잡을 수 있는 건데요.


덧니 비발치 교정
물론 모든 환자분들이 교정을 해야 하는 건 아닙니다.
덧니의 정도가 가볍다면 덧니 라미네이트가 더 빠른 선택일 수 있고,
덧니가 심하다면 덧니 교정이 더 적합할 수 있습니다.
중요한 건 치료 방법보다 치아 상태에 맞는 정확한 진단이라고 생각합니다.
덧니를 해결하는 방법은 덧니 라미네이트와 덧니 교정 두 가지가 대표적입니다.
하지만 본인에게 맞는 방법은 단순히 인터넷 글이나 주변 조언으로 결정할 수 있는 것이 아니라,
실제 치과에서 전문적인 진단을 받아야 알 수 있습니다.
저희 스마일디는 스마일을 디자인하다라는 철학으로,
환자 한 분 한 분의 얼굴형, 웃음 라인, 치아 건강 상태를 모두 고려해 가장 적합한 방법을 제안합니다.

덧니 때문에 고민 중이시라면,
"나에게 맞는 방법은 무엇일까?"라는 질문을 스스로에게 던져보시고 전문 상담을 받아보시길 권하는데요.
꼭 저희가 아니더라도 경험 많은 의료진과 충분히 상담해 보셨으면 합니다.
스마일디치과는 언제든 여러분의 스마일을 가장 아름답게 디자인할 준비가 되어 있으니
편하게 문의 주시면 병원 이용 친절하게 안내해 드리겠습니다.
지금까지 스마일디치과의원이었습니다. 감사합니다.
[스마일디치과의원 안내]
| ☎️ 스마일디치과의원 전화번호 |
|---|
| 0507-1449-2087 |
| ℹ️ 스마일디치과의원 홈페이지 |
|---|
| 공식 홈페이지 |
| 🎥 스마일디치과의원 유튜브 |
|---|
| 유튜브 |
