아카이브 요약
이 페이지의 역할
스마일디치과의원의 네이버 블로그 원문을 보존한 아카이브 페이지입니다. 치아교정 칼럼 카테고리의 교정했는데 "합죽이입매" 됐다면? 옥니교정 골든타임, 더 늦기 전에 글을 통해 병원의 한국어 정보 제공 방식과 진료 관련 안내 톤을 확인할 수 있습니다.
원문 검증
필요하면 원문 블로그와 병원 프로필로 바로 이동해 문맥을 다시 확인할 수 있습니다.
출처 아카이브 열기아카이브된 블로그 글
스마일디치과의원 · Naver Blog
교정했는데 "합죽이입매" 됐다면? 옥니교정 골든타임, 더 늦기 전에 안녕하세요. 스마일디치과의원입니다. 저희 스마일디치과의원은 3인의 전문의 협진으로 18년간 5,000건 이상의 다양한 임상케이스를 마주해왔습니다. 환자분의 상태에 따른 적합한 치료 방안을 계획하고 치료하기 위해 노력하고 있습니다. 큰맘 먹고 교정을 마쳤는...
게시일
2025년 9월 2일
원문 기준으로 확인된 발행일입니다.
카테고리
치아교정 칼럼
원문 블로그 카테고리를 정리해 함께 표시합니다.
이미지 수
11
현재 아카이브에 연결된 이미지 수입니다.
아카이브 요약
스마일디치과의원의 네이버 블로그 원문을 보존한 아카이브 페이지입니다. 치아교정 칼럼 카테고리의 교정했는데 "합죽이입매" 됐다면? 옥니교정 골든타임, 더 늦기 전에 글을 통해 병원의 한국어 정보 제공 방식과 진료 관련 안내 톤을 확인할 수 있습니다.
원문 검증
필요하면 원문 블로그와 병원 프로필로 바로 이동해 문맥을 다시 확인할 수 있습니다.
출처 아카이브 열기
안녕하세요.
스마일디치과의원입니다.
저희 스마일디치과의원은 3인의 전문의 협진으로 18년간 5,000건 이상의 다양한
임상케이스를 마주해왔습니다.
환자분의 상태에 따른 적합한 치료 방안을 계획하고 치료하기 위해 노력하고 있습니다.

큰맘 먹고 교정을 마쳤는데 합죽이입매가 되었어요.
교정 후 이러한 증상으로 인해 남몰래 속상해하시는 분들을
많이 만나왔습니다.
오늘은 왜 이런 결과가 나타나는지, 그리고 이 까다로운 문제를 어떻게 해결해야하는지에 대해 알아보도록 하겠습니다.
스마일디 치과 공식 홈페이지
스마일디치과 공식 유튜브
스마일디치과 찾아오시는 길
설마 내 얘기일까? 옥니가 보내는 신호
옥니란 앞니가 안쪽으로 들어간 상태를 말합니다.
정상적인 치아의 경우 약 15도 전방으로 기울어져있어야하지만
옥니는 반대 방향으로 뻗어있는 것이 특징인데요. 이때, 느껴볼 수 있는 점으로는

심미적 문제점
입술이 안으로 말려 들어가 볼륨감이 사라지고 코와 윗입술 사이의 각도(비순각)가
정상 범위(95~105도)보다 커지면서 인중이 길어 보입니다. 이는 얼굴 중안부가
길어 보이는 효과를 주어 실제 나이보다 더 들어 보이는 원인이 됩니다.
입가가 자연스럽게 올라가지 못하고 처져 보이면서 팔자주름이 더욱 깊고 선명하게
보입니다. 가만히 있어도 입을 꾹 다문 듯한 인상을 주어 "화났어?", "피곤해 보여"
같은 오해를 사기도 합니다.
웃을 때 치아가 시원하게 드러나지 않고, 어딘가 어색하고 소극적인 미소로 비춰져 자신감을 잃게 됩니다.
기능적 문제
정상적인 교합은 위아래 치아가 톱니바퀴처럼 맞물리며 효율적으로 음식을
씹게 해줍니다. 하지만 옥니는 앞니의 각도가 비정상적이라, 음식을 끊어내는
전치부의 기능이 저하될 수 있습니다.
입을 다물 때 입술 주변 근육에 과도한 힘이 들어가는 경우가 많아, 장기적으로
턱관절에 부담을 줄 수 있습니다.

특히 과거 돌출입 교정을 위해 기능과 심미성을 고려하지 않고 무리하게 발치 공간을
닫는 데만 집중했다면, 옥니가 될 확률이 매우 높아지는데요. 이미 한번 이동했던
치아와 주변 조직을 다시 건강하게 되돌려야 하기에, 재교정은 훨씬 더 까다로운 편에
속합니다.
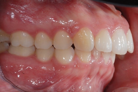
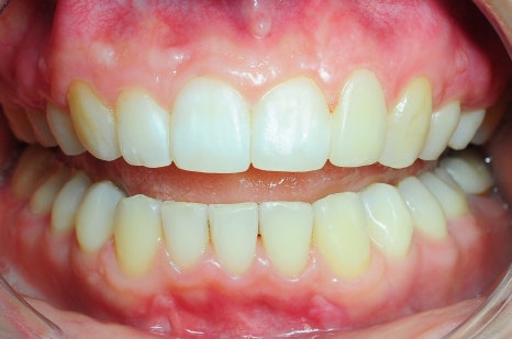
옥니 교정 이렇게 진행되어요.


교정치료 전후 사진
옥니 교정의 성패는 눈에 보이는 치아 머리가 아닌, 잇몸뼈 속에 숨어있는
치아 뿌리(치근)와 그를 감싸고 있는 잇몸뼈(치조골)의 상태를 얼마나 정확하게
파악하느냐에 달려있어요.
저희는 3D-CT 촬영을 통해 치근의 기울기는 물론, 치아를 바깥쪽으로 이동시킬 만큼의 치조골 두께가 충분한지까지 mm 단위로 정밀하게 분석하여 계획을 세워요.
이 분석 없이는 성공적인 재교정이 불가능하다고 해도 과언이 아닙니다.
옥니교정이 제대로 되지 않는다면 얼굴 인상에도 영향을 미칠 수 있어요.
따라서 본인의 상태를 의료진과 충분히 상담한 후 정밀한 치료 방안을 세우는 것이
무엇보다 중요합니다.
주치의 변경 없는 1:1 전담 진료로

교정은 담당 의료진의 첫 진단과 철학이 끝까지 이어져야 합니다.
저희 스마일디치과의원은 18년차 교정과 전문의 대표원장인
제가 직접 상담부터 장치를 떼는 날 그리고 유지관리까지
교정 전문의가 변경되지 않고 책임감을 가지고 환자분과 여정을 함께하고 있습니다.
또한, 10년 이상의 전문의들이 함께 협진하여 보다 성공적인 교정을 위해
노력하고 있습니다.
투명한 비용 공개

첫 교정, 재교정 등 교정 치료는 비용 부담이 크게 느껴질 수 밖에 없습니다.
하지만 스마일디는 투명한 가격 정책으로 환자분들의 부담을 덜어드리고자 합니다.
모든 가능성을 열어두고 안내도와드리고 있습니다.
월 30명 제한 교정 진료 진행 중

치아교정, 특히 뼈의 상태까지 고려해야 하는 옥니 재교정은 매월 치아의
미세한 이동량을 정밀하게 추적하고 계획을 수정하는 과정이 필수적입니다.
저희가 한 달 신규 환자를 30분으로 제한하는 것은, 이 중요한 월 치료 과정에서
기계적인 진료가 아닌, 한 분 한 분의 미세한 변화에 온전히 집중하고
충분히 소통하기 위함입니다.
자연스러운 미소를 되찾을 시간

합죽이 입매는 본래의 모습이 아닐 수 있습니다. 골든타임을 놓치지 않고
네이버 평점 4.82 = 만족도 96.4% 스마일디치과의원과 함께 잘못된 교정으로
잃어버렸던 자연스러운 미소와 자신감을 되찾아 보시길 바랍니다.
감사합니다.
▶ 9월 옥니교정 집중 진료, 마감 전 상담 신청하기 [클릭]
