아카이브 요약
이 페이지의 역할
스마일디치과의원의 네이버 블로그 원문을 보존한 아카이브 페이지입니다. 치아교정 칼럼 카테고리의 서울교정치과 가기 전 필독 내 치아, 정말 뽑아야만 할까? 글을 통해 병원의 한국어 정보 제공 방식과 진료 관련 안내 톤을 확인할 수 있습니다.
원문 검증
필요하면 원문 블로그와 병원 프로필로 바로 이동해 문맥을 다시 확인할 수 있습니다.
출처 아카이브 열기아카이브된 블로그 글
스마일디치과의원 · Naver Blog
서울교정치과 가기 전 필독 내 치아, 정말 뽑아야만 할까? 안녕하세요 스마일디치과 오수환입니다. 교정을 결심하고 상담을 받으러 갔을 때, 많은 분들이 예상치 못한 발치라는 벽에 부딪히게 됩니다. 가지런한 치열을 얻기 위해 멀쩡한 생니를, 그것도 몇 개씩이나 뽑아야 한다는 말은 교정 자체를 망설이게 만드는 가장 큰 두려움이...
게시일
2025년 9월 25일
원문 기준으로 확인된 발행일입니다.
카테고리
치아교정 칼럼
원문 블로그 카테고리를 정리해 함께 표시합니다.
이미지 수
15
현재 아카이브에 연결된 이미지 수입니다.
아카이브 요약
스마일디치과의원의 네이버 블로그 원문을 보존한 아카이브 페이지입니다. 치아교정 칼럼 카테고리의 서울교정치과 가기 전 필독 내 치아, 정말 뽑아야만 할까? 글을 통해 병원의 한국어 정보 제공 방식과 진료 관련 안내 톤을 확인할 수 있습니다.
원문 검증
필요하면 원문 블로그와 병원 프로필로 바로 이동해 문맥을 다시 확인할 수 있습니다.
출처 아카이브 열기안녕하세요 스마일디치과 오수환입니다.
교정을 결심하고 상담을 받으러 갔을 때, 많은 분들이 예상치 못한 발치라는 벽에 부딪히게 됩니다.

가지런한 치열을 얻기 위해 멀쩡한 생니를, 그것도 몇 개씩이나 뽑아야 한다는 말은
교정 자체를 망설이게 만드는 가장 큰 두려움이죠.
그래서 많은 분들이 희망을 갖고 비발치 인비절라인 같은 방법을 알아보지만,
"발치가 필수"라는 답변에 실망감을 안고 돌아오시곤 합니다.
과연 정말 뽑아야만 하는 것일까요? 아니면, 그 가능성을 찾아내려는 진단의 깊이가 달랐던 것은 아닐까요?
오늘은 수많은 서울교정치과 중에서도, 18년간 5,000건 이상의 교정을 통해
비발치 가능성을 높여온 스마일디가 그 해답의 실마리를 드리고자 합니다.
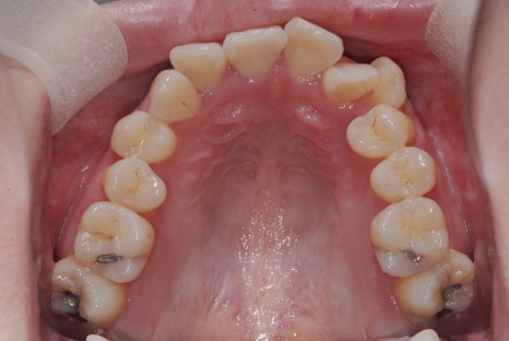
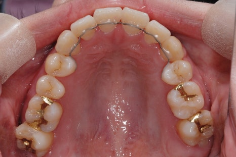
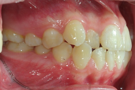
< 스마일디 치과 비발치 before & after >






*치료 전후 사진은 환자의 동의하에 게재하였으며, 동일한 환경과 조건에서 촬영된 전후 사진입니다.
발치 vs 비발치, 무엇이 결정하나요?

교정에서 발치를 하는 이유는 단 하나, 공간 부족 때문입니다.
삐뚤어진 치아들이 가지런히 설 자리가 부족하기에, 치아를 뽑아 그 공간을 활용하는 것이죠.
의료진이 발치를 결정할 때는 보통 다음과 같은 요소들을 종합적으로 고려합니다.
공간의 절대적인 부족
턱뼈의 크기에 비해 치아의 크기가 너무 커서, 도저히 모든 치아가 배열될 공간이 나오지 않는 경우입니다.
돌출입의 개선 정도
입이 많이 튀어나와 앞니를 뒤로 많이 넣어야 할 때, 그만큼의 공간을 확보하기 위해 발치가 필요합니다.
얼굴 라인과의 조화
무리하게 비발치로 교정을 진행했을 때, 치아들이 앞으로 뻐드러지면서 오히려 입이 더 튀어나와 보이는
결과를 초래할 수 있습니다.

이처럼 발치 여부는 단순히 치아 하나만 보고 결정하는 것이 아니라, 얼굴 전체의 균형과 교합까지 내다보는
매우 복잡하고 중요한 문제입니다.
인비절라인 치아 교정

다른 서울교정치과에서 발치 진단을 받았던 분들도, 저희 스마일디에서 정밀 진단 후
비발치 인비절라인으로 교정을 시작하는 경우가 많습니다.
이는 저희가 가진 숨은 공간을 찾는 기술력 덕분입니다.
저희는 쉬운 길인 발치를 선택하기 전에, 환자분의 건강한 치아를 지키기 위해 여러 방안들을 고려해 볼 수 있죠.

어금니 후방 이동
가장 뒤쪽 어금니를 사랑니 공간 쪽으로 미세하게 밀어내어,
전체 치열이 뒤로 이동하며 공간을 확보하는 방법입니다.
악궁 확장
좁아져 있는 치아들의 아치(악궁)를 환자 본래의 이상적인 크기로 넓혀주어,
삐뚤어진 치아들이 배열될 공간을 만들어냅니다.
치간 삭제 (IPR)
치아 건강을 해치지 않는 범위 내에서, 치아 옆면을 0.1~0.3mm 단위로
아주 미세하게 다듬어 공간을 얻습니다.
다만 이 부분은 모든 환자분에게 해당하는 부분은 아니니,
자세한 부분은 내원을 통해 상담 받아주시는 것이 정확합니다.
많은 분들이 비발치 교정은 더 오래 걸릴 것이라 생각하는 경우가 있어요.
하지만 정밀한 계획하에 진행된다면, 평균적으로 1년에서 2년 사이에 치료가 마무리됩니다.

이는 발치 교정과 비교했을 때 큰 차이가 없거나,
불필요한 과정을 줄여 오히려 더 빠른 경우도 있습니다.
다만, 이부분 역시 환자의 치아 환경과 상태에 따라 달라질 수 있습니다.
어렵게 지켜낸 치열인 만큼, 유지관리는 더욱 중요합니다.
치아는 끊임없이 원래 자리로 돌아가려는 성질이 있기 때문이죠.

저희 스마일디는 교정이 끝난 후에도 6개월, 1년, 2년 단위로 꾸준히 정기검진을 진행하여,
치열이 안정적으로 유지되고 있는지, 유지장치에 문제는 없는지 직접 꼼꼼하게 체크합니다.
치료가 끝났다고 관계가 끝나는 것이 아니라,
평생의 미소를 함께 지켜나가는 진짜 주치의가 되어드립니다.
다른 곳에서 발치가 필요하다는 말을 들었더라도, 그것이 최종 결론이 아닐 수 있습니다.
건강한 치아를 지키려는 의지와, 그것을 실현시켜 줄 수 있는 의료진의 실력이 만난다면
비발치 인비절라인은 충분히 가능할 수 있습니다.

18년 경력의 서울교정치과, 스마일디에서 함께 해보세요.
