아카이브 요약
이 페이지의 역할
스마일디치과의원의 네이버 블로그 원문을 보존한 아카이브 페이지입니다. 치아교정 칼럼 카테고리의 10대 vs 30대 비발치 교정, 얼굴형 변화가 다를 수밖에 없는 이유 글을 통해 병원의 한국어 정보 제공 방식과 진료 관련 안내 톤을 확인할 수 있습니다.
원문 검증
필요하면 원문 블로그와 병원 프로필로 바로 이동해 문맥을 다시 확인할 수 있습니다.
출처 아카이브 열기아카이브된 블로그 글
스마일디치과의원 · Naver Blog
10대 vs 30대 비발치 교정, 얼굴형 변화가 다를 수밖에 없는 이유 안녕하세요 스마일디치과 오수환입니다. "교정, 한 살이라도 어릴 때 해야 효과가 좋다던데… 지금 시작하기엔 너무 늦은 거 아닐까요?" 비발치 교정을 통해 얼굴형 개선을 꿈꾸는 20대, 30대 성인분들이 가장 많이 하시는 걱정입니다. 이미 성장이...
게시일
2025년 9월 26일
원문 기준으로 확인된 발행일입니다.
카테고리
치아교정 칼럼
원문 블로그 카테고리를 정리해 함께 표시합니다.
이미지 수
10
현재 아카이브에 연결된 이미지 수입니다.
아카이브 요약
스마일디치과의원의 네이버 블로그 원문을 보존한 아카이브 페이지입니다. 치아교정 칼럼 카테고리의 10대 vs 30대 비발치 교정, 얼굴형 변화가 다를 수밖에 없는 이유 글을 통해 병원의 한국어 정보 제공 방식과 진료 관련 안내 톤을 확인할 수 있습니다.
원문 검증
필요하면 원문 블로그와 병원 프로필로 바로 이동해 문맥을 다시 확인할 수 있습니다.
출처 아카이브 열기안녕하세요 스마일디치과 오수환입니다.

"교정, 한 살이라도 어릴 때 해야 효과가 좋다던데… 지금 시작하기엔 너무 늦은 거 아닐까요?"
비발치 교정을 통해 얼굴형 개선을 꿈꾸는 20대, 30대 성인분들이 가장 많이 하시는 걱정입니다.
이미 성장이 다 끝났는데, 과연 10대처럼 드라마틱한
얼굴형 변화를 기대할 수 있을지 확신이 서지 않기 때문이죠.
결론부터 말씀드리면, 성인 교정으로도 충분히 아름다운 얼굴형을 만들 수 있습니다.
하지만 10대 교정과 접근 방식, 그리고 변화의 폭에 차이가 있는 것은 분명한 사실입니다.
오늘은 18년간 5,000건 이상의 교정 케이스를 경험한 스마일디가
그 차이점과, 성공적인 성인 교정을 위해 무엇을 알아야 하는지 솔직하게 말씀드리겠습니다.
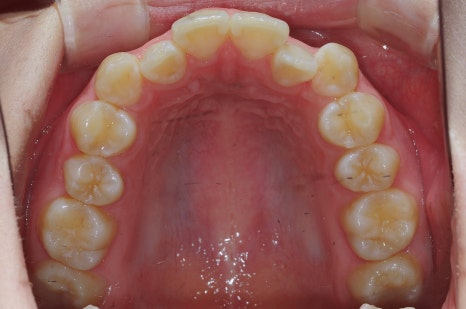
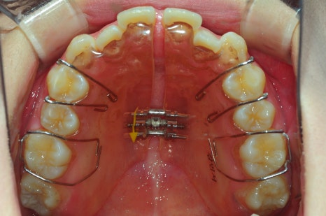
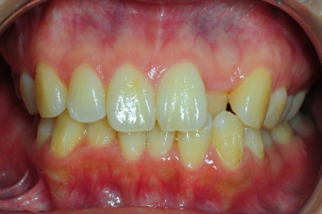
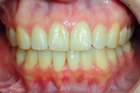
< 스마일디치과 비발치 교정 사례 >




*치료 전후 사진은 환자의 동의하에 게재하였으며, 동일한 환경과 조건에서 촬영된 전후 사진입니다.
교정 시기에 따라 얼굴형 변화의 폭이 달라지는 이유

교정 결과에 있어 나이가 중요한 변수가 되는 이유는 바로 성장 잠재력 때문입니다.
성장기 청소년 (10대)
이 시기에는 턱뼈가 아직 완전히 굳지 않고 계속 성장하고 있습니다.
따라서 교정 치료를 통해 치아뿐만 아니라, 턱뼈의 성장을 바람직한 방향으로 유도하는
'골격적 변화'를 이끌어낼 수 있습니다.
예를 들어, 위턱이 좁아 돌출입처럼 보이는 경우,
악궁 확장 장치를 통해 턱뼈 자체를 넓혀주면,
치아가 배열될 공간이 쉽게 확보되어 비발치 교정으로도
매우 드라마틱한 얼굴형 개선이 가능합니다.
성장이 끝난 성인 (20대 이상)
성인의 턱뼈는 이미 성장을 멈추고 단단하게 굳어있습니다.
따라서 교정은 턱뼈를 움직이는 것이 아닌,
고정된 턱뼈 안에서 치아만을 이동시키는 방식으로 진행됩니다.
턱뼈 자체를 바꾸는 청소년기에 비해서는 그 변화의 폭에 한계가 있을 수 있습니다.
성인교정 더욱 신중하게

성인의 비발치 교정은 청소년기 교정보다 훨씬 더 정밀한 진단과 섬세한 기술력을 요구합니다.
치아 이동 속도
성인의 잇몸뼈는 청소년보다 단단하여 치아 이동 속도가 상대적으로 느립니다.
따라서 무리한 힘을 가하면 치아 뿌리나 잇몸에 무리가 갈 수 있어,
힘을 계산하여 안전하게 진행하는 것이 매우 중요합니다.
잇몸 건강
성인은 이미 잇몸이 약해져 있거나, 치주 질환을 가지고 있는 경우가 많습니다.
교정 전 잇몸 상태에 대한 정확한 평가와 관리가 선행되지 않으면,
교정 중 잇몸이 더 나빠지는 부작용을 겪을 수 있습니다.
재발 가능성
성인의 치아는 오랫동안 삐뚠 자리에 있었던 메모리가 강해,
교정이 끝난 후 원래 자리로 돌아가려는 경향이 더 큽니다.
따라서 교정 후 유지관리를 훨씬 더 철저하게 신경 써야 합니다.

성인 교정은 어렵다는데… 내 케이스도 비발치가 가능할까?"
이런 막연한 불안감을 안고 치과를 찾는 발걸음이 얼마나 무거운지 잘 알고 있습니다.
그래서 저희 스마일디의 첫 상담은, 환자분의 불안을 확신으로 바꾸는 것에 모든 초점을 맞춥니다.
모든 데이터를 바탕으로, 18년 경력의 전문의가 환자분과 마주 앉아 종합적인 진단 결과를 설명해 드립니다.
성인 교정의 어려운 점은 무엇인지, 그래서 우리에게는 어떤 계획이 필요한지,
예상되는 기간과 과정은 어떠한지, 모든 질문에 명쾌하게 답변해 드립니다.
만족도 96.4%를 이끌어낸 가장 중요한 핵심이라고 자부합니다.
늦었다고 생각할 때가 가장 빠릅니다.

조금 더 어릴 때 할 걸…
후회하며 시간을 보내기엔, 앞으로 살아갈 날이 훨씬 더 깁니다.
성인 교정은 분명 고려해야 할 점이 많지만, 현대 교정 기술은 충분히 그 한계를 극복하고 있습니다.
하지만 한 가지 확실한 것은, 치아와 잇몸의 상태는 시간이 지날수록 더 나빠질 수 있다는 사실입니다.
고민하는 지금 이 순간이, 얼굴형을 가장 건강하고 아름답게 바꿀 수 있는 골든타임일 수 있으니
상담을 통해 결정해 보시길 바랍니다.
