아카이브 요약
이 페이지의 역할
스마일디치과의원의 네이버 블로그 원문을 보존한 아카이브 페이지입니다. 임플란트 카테고리의 임플란트 뼈이식 비용 들이기 전 이 글부터 읽어보세요 글을 통해 병원의 한국어 정보 제공 방식과 진료 관련 안내 톤을 확인할 수 있습니다.
원문 검증
필요하면 원문 블로그와 병원 프로필로 바로 이동해 문맥을 다시 확인할 수 있습니다.
출처 아카이브 열기아카이브된 블로그 글
스마일디치과의원 · Naver Blog
임플란트 뼈이식 비용 들이기 전 이 글부터 읽어보세요 * 뼈이식 임플란트 전후 사례* (좌) 23. 12. 25 / (우) 24. 06. 28 안녕하세요. 18년 동안 한자리를 지켜오며 5000건의 임상 경험을 쌓은 스마일디치과 대표원장, 웃는 의사 오수환입니다. 본원은 환자와의 '신뢰',...
게시일
2025년 10월 15일
원문 기준으로 확인된 발행일입니다.
카테고리
임플란트
원문 블로그 카테고리를 정리해 함께 표시합니다.
이미지 수
23
현재 아카이브에 연결된 이미지 수입니다.
아카이브 요약
스마일디치과의원의 네이버 블로그 원문을 보존한 아카이브 페이지입니다. 임플란트 카테고리의 임플란트 뼈이식 비용 들이기 전 이 글부터 읽어보세요 글을 통해 병원의 한국어 정보 제공 방식과 진료 관련 안내 톤을 확인할 수 있습니다.
원문 검증
필요하면 원문 블로그와 병원 프로필로 바로 이동해 문맥을 다시 확인할 수 있습니다.
출처 아카이브 열기임플란트 뼈이식 비용
들이기 전 이 글부터 읽어보세요


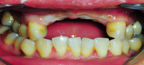
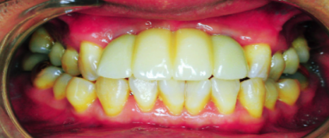
| * 뼈이식 임플란트 전후 사례* (좌) 23. 12. 25 / (우) 24. 06. 28 |

안녕하세요.
18년 동안
한자리를 지켜오며
5000건의 임상 경험을 쌓은
스마일디치과 대표원장,
웃는 의사
오수환입니다.
본원은 환자와의
'신뢰', '관계', '의사소통'을
최우선 가치로 여기는
전문의 3인이 협진하고 있는데요.
환자분들의
전반적인 건강 및 삶의 질까지
고려한 치료를 해드리는 바,
네이버 평점 4.82를 달성했습니다.
저희는 환자분들의
굳건한 지지와 사랑에 보답하고자,
10월은 단 '30명'의
환자분에 한해 집중 진료
를 해드리고 있죠.



'임플란트를 하려는데
뼈이식을 해야 한답니다.
그럼 임플란트 뼈이식 비용이
더 들어가는 것 아닌가요?
꼭 해야만 하나요?'

지금 여러분이 이 글을 읽고 있다면 위 고민 내용에 공감하고 계셨을 것 같습니다.
이는 실제 평소 저희 병원으로 자주 들어오는 유형의 질문이기도 한데요.
다른 곳에서 뼈이식을 해야 한다는 말을 듣고 재확인을 하고자 본원에 방문을 하시는 겁니다.
임플란트 뼈이식 비용이며 시간이 더 들어가야 하는 만큼 부담스럽게 다가오는 게 사실이니 말이죠.
사실 이처럼 교차 검증을 하는 건 매우 현명한 판단이시라 할 수 있습니다.
일반인의 입장에서는 뼈이식이 정말 필요한 건지 알기가 어렵기 때문입니다.

뼈이식이 필수는 아닌 환자임에도 무분별한 권유를 받게 되는 경우가 전혀 없다고는 할 수 없으니까요.
이에 보건복지부 인증 18년 차 교정과 전문의인 제가 직접, 이어지는 본문을 통해
임플란트 뼈이식 비용 및 개념
뼈이식 여부를 결정짓는 기준
위 두 가지 주제를 바탕으로 이야기를 나눠보겠습니다.
천천히 집중해서 읽어보고 여러분께 필요한 정보를 얻어 가시기 바랍니다. ^^


[스마일디치과의원 소개글]
[스마일디치과의원 오시는 길]
임플란트 뼈이식 비용,
뼈이식을 하게 되는 이유?
건강보험심사평가원 기준으로
서울 지역의 임플란트 적정가는 개당 약 100~120만 원 정도 선이라고 책정되어 있는데요.
뼈이식을 하게 되면 추가 비용이 발생하게 됩니다.
이는 사용되는 재료의 종류와 안정성 및 시술 난도 등 다양한 요인이 작용하는 까닭입니다.
뼈이식 난도가 높을수록, 오래 사용되어 안정성이 입증된 수입재일수록 비용이 올라갈 수 있죠.

그럼 이 뼈이식은 대체 '왜' 하는 걸까요?
임플란트는 턱뼈 속에 인공 치근을 심어 고정하는 치료입니다.
하지만 그 부족한 뼈를 보충해 주는 시술이 바로 뼈이식인 겁니다.

많은 분들이 뼈를 단단한 돌덩이처럼 생각하지만, 실제로는 딱딱하기도 물렁물렁하기도 하며
미세한 구멍이 많은 다공성 조직으로 끊임없이 리모델링을 거칩니다.
즉 뼈이식을 하게 되면 골조직을 증대시켜 뼈세포가 일할 수 있는 환경을 조성하는 겁니다.

대표적인 임플란트 골이식재는 다음과 같습니다.
| 자가골 | 내 몸에서 채취한 뼈 |
|---|---|
| 이종골 | 소·말·돼지 등 유래 |
| 동종골 | 사람 조직을 가공한 재료 |

임플란트 뼈이식 비용,
뼈이식 여부를 결정하는 요인은?
그렇다면 어떤 경우라야만 임플란트 뼈이식 비용을 들여야 하는 걸까요?
여러분이 아셔야 할 점은,
단순히 뼈가 부족하다고 해서 무조건 이식으로 이어지는 건 아니라는 사실입니다.
실사례를 하나 살펴볼까요?

본원은 통합치의학과 전문의 원장님과 교정과 전문의 원장이 필요시 협진하며
환자의
(1) 치아가 상실된 기간
(2) 남아있는 치조골의 상태
등을 종합적으로 고려하여 뼈이식 여부를 결정하는데요.

해당 환자는 치아를 상실하였고, 뼈가 약 2~3mm밖에 남지 않은 상태였습니다.

초기 진단에서는 뼈이식을 해야 할 것으로 보였지만,


정밀 검사 결과 환자에게 가용할 수 있는 뼈가 남아있다는 판단이 들어
뼈이식을 하지 않고 임플란트를 식립할 수 있었습니다.
환자분은 뼈이식이 필요할 줄 알았는데, 하지 않아도 된다는 사실에 크게 만족하셨고요.
이 말은 곧 숙련도를 갖춘 의사라면 환자에게 뼈가 좀 부족하다고 해서 이식부터 권유하기보다는,
환자가 타고난 자원을 최대한 활용할 수 있는 방법을 우선적으로 모색할 거라는 거죠.

설령 환자의 치아가 상실된 지 오래되어 잇몸뼈 높이가 낮아졌다고 하더라도
최근엔 짧게 심는 임플란트가 시중에 많이 보급된 바, 이런 대안을 제시해 드리기도 하고요.

그러니 이 글을 읽는 분들도 뼈이식이 필요하다는 소견을 들었다면
최소 2~3곳 이상의 병원에 가보고 다양한 시각에서 조언도 구해보며 나에게 적합한 방식을 찾으시기를 권장합니다.

오늘은 임플란트 뼈이식에 대해 설명을 드렸는데요.
뼈이식은 남아있는
뼈의 양과 씹는 힘의 위치 등
전략적으로
판단해야만 하는 만큼
한 번 더 교차 검증을
해보시는 게
비용과 시간을 아끼는
똑똑한 선택이 될 수 있다는 점
다시 한번 강조 드립니다.
여러분이 언제 어디서든 건강하고 아름다운 미소를 지으실 수 있기를 바라면서 글 마무리하겠습니다. ^^
본원의 위치와 예약 방법은 문의를 통해 안내해 드리오니, 아래 링크에서 더 자세한 내용을 확인하세요.
끝까지 읽어주셔서 감사합니다.
스마일디치과 대표원장, 오수환이었습니다.
[스마일디치과의원 소개글]
| ☎️ 스마일디치과의원 전화번호 |
|---|
| 0507-1449-2087 |
| ℹ️ 스마일디치과의원 홈페이지 |
|---|
| 공식 홈페이지 |
| 🎥 스마일디치과의원 유튜브 |
|---|
| 유튜브 |
