아카이브 요약
이 페이지의 역할
스마일디치과의원의 네이버 블로그 원문을 보존한 아카이브 페이지입니다. 치아교정 칼럼 카테고리의 크라운 치료 가격 신경치료 후 크라운 꼭 해야 할까요? 글을 통해 병원의 한국어 정보 제공 방식과 진료 관련 안내 톤을 확인할 수 있습니다.
원문 검증
필요하면 원문 블로그와 병원 프로필로 바로 이동해 문맥을 다시 확인할 수 있습니다.
출처 아카이브 열기아카이브된 블로그 글
스마일디치과의원 · Naver Blog
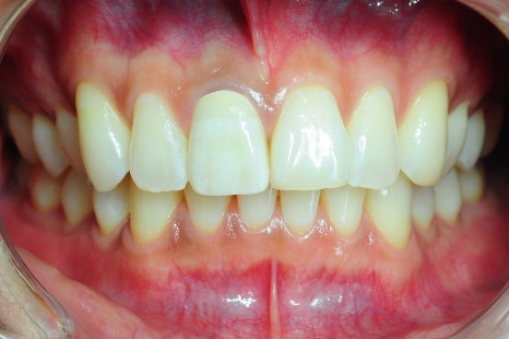
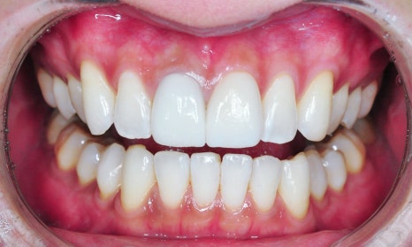
크라운 치료 가격 신경치료 후 크라운 꼭 해야 할까요? * 크라운 & 라미네이트 & 미백전후 사례* (좌) 24.11.27 / (우) 24.12.06 안녕하세요. 18년 동안 임상 경험을 쌓은 스마일디치과 대표원장, 웃는 의사 오수환입니다. '신경치료를 할 것 같은데, 크라운도...
게시일
2025년 10월 29일
원문 기준으로 확인된 발행일입니다.
카테고리
치아교정 칼럼
원문 블로그 카테고리를 정리해 함께 표시합니다.
이미지 수
26
현재 아카이브에 연결된 이미지 수입니다.
아카이브 요약
스마일디치과의원의 네이버 블로그 원문을 보존한 아카이브 페이지입니다. 치아교정 칼럼 카테고리의 크라운 치료 가격 신경치료 후 크라운 꼭 해야 할까요? 글을 통해 병원의 한국어 정보 제공 방식과 진료 관련 안내 톤을 확인할 수 있습니다.
원문 검증
필요하면 원문 블로그와 병원 프로필로 바로 이동해 문맥을 다시 확인할 수 있습니다.
출처 아카이브 열기크라운 치료 가격 신경치료 후
크라운 꼭 해야 할까요?


| * 크라운 & 라미네이트 & 미백전후 사례* (좌) 24.11.27 / (우) 24.12.06 |

안녕하세요.
18년 동안
임상 경험을 쌓은
스마일디치과 대표원장,
웃는 의사
오수환입니다.



'신경치료를 할 것 같은데,
크라운도 해야 한다고 합니다.
굳이 크라운 치료 가격을
들일 필요가 있나요?
꼭 해야 하는 건가요?'

여러분이 지금 이 글을 읽고 있다면 위와 유사한 고민을 하고 계실 것 같습니다.
신경치료를 해야 한다는 건 어렴풋이 알겠는데...
크라운까지 하셔야 한다는 이야기를 들었다면
꼭 크라운 치료 가격을 쓸 필요가 있는 건지, 치과에서 괜히 과잉진료를 한 건 아닌지(^^;) 의문이 드셨을 겁니다.
차라리 여기서 끝이면 다행이지, 심지어는 크라운 치료 가격마저도 제각각인지라 골치가 아프셨겠죠.

이에 그런 여러분의 궁금증을 말끔하게 해소해 드리고자
보건복지부 인증 18년 차 교정과 전문의인 제가 직접 이어지는 본문을 통해
신경치료 후 크라운을 하는 이유
크라운 치료 가격이 다른 원인
위 두 가지 주제를 중심으로 알려드리겠습니다.
더도 말고 덜도 말고 딱 3분만 집중해서 읽어보시기 바랍니다.


[스마일디치과의원 바로 알기]
[스마일디치과의원 길 안내]
신경치료 후
크라운은 '왜' 하는 걸까요?
신경치료는 염증이 생긴 치아의 신경을 제거한 뒤 내부를 깨끗이 세척하고 충전재로 채워 넣는 과정이라고 할 수 있는데요.

| ✔️ 염증으로 밤새 잠을 못 잘 정도로 통증이 심한 경우 |
|---|
| ✔️ 치아가 상당히 많이 사라진 경우 |
| ✔️ 치아가 외상이나 염증 등으로 파절된 경우 |
| ✔️ 치아 색이 어두워진 경우 |
등에 이 신경치료를 하게 됩니다.
물론 신경치료 후 크라운은 강제할 수 없으며, 100% 필수라고 할 수도 없을 겁니다.
그러나 신경치료 후 치아가 한 면 이상이 사라졌다면 크라운을 하시는 게 치아를 오래 쓰는 방법입니다.

신경치료 과정에서 치아 내부 조직이 비워지고 신경이 사라지기 때문에 치아는 훨씬 약해집니다.
이런 상태에서 딱딱한 음식을 먹거나 외부 자극이 가해지면
치아가 쉽게 부러지거나 금이 갈 가능성이 매우 높습니다.

그래서 충치 등으로 인한 신경치료 후에는 크라운으로 치아를 덮어줌으로써
물리적인 보호막을 만들어주는 것이 일반적인 치료 순서라고 할 수 있습니다.

즉 신경치료만 하고 그대로 두었다가 치아가 더 심하게 깨지기라도 하면
결국 발치를 하고 임플란트까지 가야 하는 일이 생길 수도 있다는 거죠.
크라운은 단순히 미용 목적이 아니라 치아의 기능과 수명을 지켜주는 최종 보호 장치라고 생각하시면 되겠습니다.

크라운 치료 가격이
달라지는 이유?

사실 여러분이 크라운 치료를 선뜻 결정하지 못하는 건
크라운 치료 가격이 저마다 달라서인 이유도 있으리라 생각되는데요.

이는 재료의 종류와 환자의 치아 상태, 병원의 방침 등에 따라 상이한 까닭입니다.
대표적인 크라운 재료의 특징과 장단점을 소개해 드리겠습니다.

| 금 |
|---|
| 장점 |
| 단점 |

| 올세라믹 |
|---|
| 장점 |
| 단점 |

| PFM |
|---|
| 장점 |
| 단점 |

| 지르코니아 |
|---|
| 장점 |
| 단점 |
여러분이 앞니의 크라운을 해야 한다면 심미성을 살린 올세라믹 또는 지르코니아를,
반면 입을 크게 벌리지 않는 이상 눈에 잘 띄지 않는 어금니라면 강도가 좋은 금이나 지르코니아를 권유 드립니다.
가성비를 중요시한다면 PFM도 괜찮은 대안입니다.
개인차가 있겠지만 크라운은 평균 8~10년 정도, 관리가 잘 이루어지기만 하면 그 이상도 사용할 수 있습니다.
관리가 잘 안된다면 이보다 훨씬 짧아질 수도 있고요.


그렇기에 환자 치아의 손상 범위, 잇몸 상태, 교합 관계, 환자의 니즈까지
종합적으로 진단한 뒤 가장 적합한 재료와 방법을 제안 받아보는 것이 필요한데요.

나아가 치료 후에도 관리 지침을 함께 안내하여 크라운의 내구성과 심미성을 오랫동안 유지할 수 있도록
장기적인 도움을 받을 수 있는 곳인지도 꼭 확인해 보는 것을 권장드립니다.

이번 글은 신경치료와 크라운 치료의 상관관계에 대해 이야기를 나눠봤는데요.
본문을 핵심만 뽑아 정리해 드리겠습니다.
| 1️⃣ 신경치료 후 크라운은 치아를 보호하고 수명을 늘리기 위한 조치입니다. |
|---|
| 2️⃣ 크라운의 가격은 재료/치아 상태/장비 등 여러 요인에 따라 달라집니다. |
크라운 치료의 목적은 '내 치아를 오래도록 건강하게 지키는 것'이므로
가격 하나만 기준으로 두고 선택하기보단
내 치아 상태에 제일 적합한 방식으로 결정하는 게 중요하다는 점, 기억해 두셔야 하겠습니다.
스마일디치과 대표원장, 오수환이었습니다.
[스마일디치과의원 바로 알기]
| ℹ️ 스마일디치과의원 홈페이지 |
|---|
| 공식 홈페이지 |
| 🎥 스마일디치과의원 유튜브 |
|---|
| 유튜브 |
