아카이브 요약
이 페이지의 역할
연세위시치과의원의 네이버 블로그 원문을 보존한 아카이브 페이지입니다. 스마일 디자인 노트 카테고리의 송정 치과 앞니 레진 변색 제거 후 전치부 치아 라미네이트 과정 글을 통해 병원의 한국어 정보 제공 방식과 진료 관련 안내 톤을 확인할 수 있습니다.
원문 검증
필요하면 원문 블로그와 병원 프로필로 바로 이동해 문맥을 다시 확인할 수 있습니다.
출처 아카이브 열기아카이브된 블로그 글
연세위시치과의원 · 모든 이들의 미소를 아름답게, 연세위시치과✨
안녕하세요, 송정 치과 의사 여상호입니다. 😊 오늘은 오래된 앞니 변색과 관련된 치아 라미네이트 과정 을 소개해 드리도록 하겠습니다. 💬 라미네이트(laminate)는 무엇인가요? 이것은 이전에도 말씀드렸다시피 자연치 앞면에 얇은 세라믹 판을 붙여 모양, 색조, 배열을 개선하는 치료입니다. 특히 심미성이 중요한...
게시일
2025년 4월 1일
원문 기준으로 확인된 발행일입니다.
카테고리
스마일 디자인 노트
원문 블로그 카테고리를 정리해 함께 표시합니다.
이미지 수
14
현재 아카이브에 연결된 이미지 수입니다.
아카이브 요약
연세위시치과의원의 네이버 블로그 원문을 보존한 아카이브 페이지입니다. 스마일 디자인 노트 카테고리의 송정 치과 앞니 레진 변색 제거 후 전치부 치아 라미네이트 과정 글을 통해 병원의 한국어 정보 제공 방식과 진료 관련 안내 톤을 확인할 수 있습니다.
원문 검증
필요하면 원문 블로그와 병원 프로필로 바로 이동해 문맥을 다시 확인할 수 있습니다.
출처 아카이브 열기안녕하세요,
송정 치과 의사 여상호입니다. 😊
오늘은 오래된 앞니 변색과
관련된 치아 라미네이트 과정 을
소개해 드리도록 하겠습니다.
💬 라미네이트(laminate)는 무엇인가요?
이것은 이전에도 말씀드렸다시피
자연치 앞면에 얇은 세라믹 판을 붙여
모양, 색조, 배열을 개선하는 치료입니다.
특히 심미성이 중요한 앞니 부위에서 사용되며,
이를 과도하게 깎지 않아도 된다는
특징이 있습니다.
하지만 세라믹은
깨지기 쉬운 재료라는 점에서
의문이 생기실 수도 있는데요,
이는 접착 방식으로
단단히 결합(Lamination)되면,
내구성과 기능성이 동시에 향상됩니다.
마치 얇은 타일이 바닥에 접착되면
쉽게 깨지지 않는 것과 같이 말이죠!
이것에는 이를 얼마나 삭제하느냐에 따라
여러가지 방식이 있습니다.
이를 전혀 깎지 않고,
기존 구조 위에 얇은 세라믹을 부착합니다.
다만 이를 다듬지 않고 부착하는 것이다 보니
약간 두꺼워질 수 있습니다.
따라서, 왜소치나 벌어진 자연치에 많이 사용합니다.
앞면을 0.3~0.5mm 정도만 다듬어
수복 공간을 확보합니다.
자연스러운 색조과 모양을 만들 수 있고,
치아 손상이 거의 없습니다.
1mm 이상 치면을 다듬어
보다 두껍고 강한 세라믹을 붙이는 방식입니다.
단단하고 잘 맞는 보철을 만들 수 있지만,
삭제량이 많아지게 됩니다.
오늘은 이와 관련된 예시 사진을 보면서
치료 과정을 소개해 드리도록 하겠습니다.

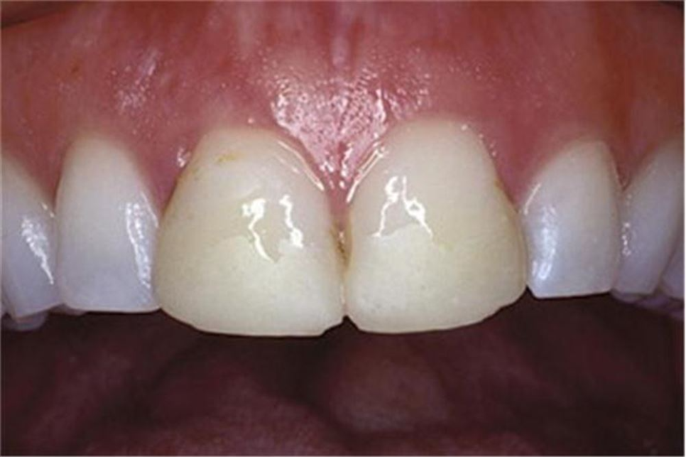
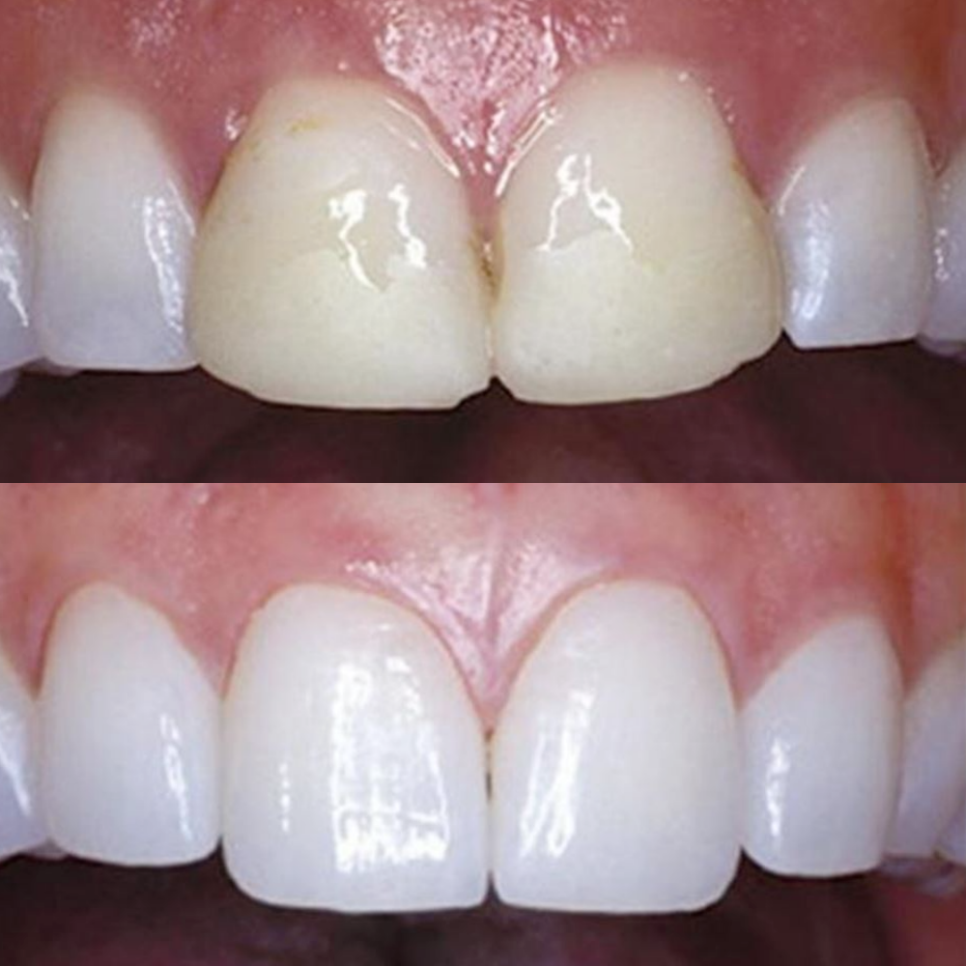
구강 내 모습을 보면
좌우 위 앞니만 색과 형태가
특이한 것을 확인할 수 있었습니다.
이는 수복된 레진이
사용한 지 오래되어 변색되고
형태가 불균형하여 생긴 문제로 판단되는데요.
송정 치과 에서
생각하는 문제점은 다음과 같습니다.

✔ 오래된 레진으로 인한 변색
✔ 전치부 비율이 삼각형처럼 보여 심미성 저하
이러한 검사 결과를 종합적으로 분석하여
다음과 같은 치료 계획을 수립할 수 있었습니다.
심미 비율 개선을 위해
양쪽 측절치까지 범위를 확장하기로 했으며,
기존의 레진 제거 후
중앙 및 측절치(앞니 4개)에
라미네이트 수복하기로 했습니다.
이때, 치아 삭제는 최소화하여
자연치 보존할 수 있도록
진행하는 것을 권해 드렸습니다.
그럼 어떤 과정으로
진료가 시행되는지 송정 치과 에서
알려드리겠습니다.


우선 전용 버를 이용하여
오래된 레진 을 제거합니다.
치질은 거의 제거하지 않고
부착되었던 수복물만 정리한 모습인데요.
치아 앞면을 약간만 연마하여 공간을 확보하고
잇몸 라인은 부드러운 마진 형성합니다.
인접면까지 살짝 연장해
이물감 없이 자연스럽게 연결되도록
디자인하였습니다.


컴퓨터 디자인을 바탕으로
왁스업이나 3D 프린팅 모델을 만들어
조화를 확인하고

실제로 자연치에 적용하여
최종 보철에 반영합니다.


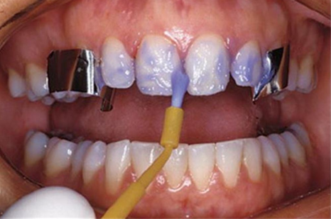
라미네이트 내부에 실란 처리를 한 뒤
자연치 표면은 에칭(산부식) 후,
본딩제 도포합니다.

부착제를 이용하여
치면에 라미네이트 붙인 뒤
광중합기로 40초 이상 광중합합니다.

여분 시멘트 제거 후 연마 및 폴리싱까지하면
모든 과정이 완료됩니다.

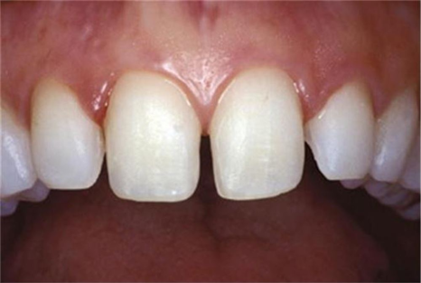
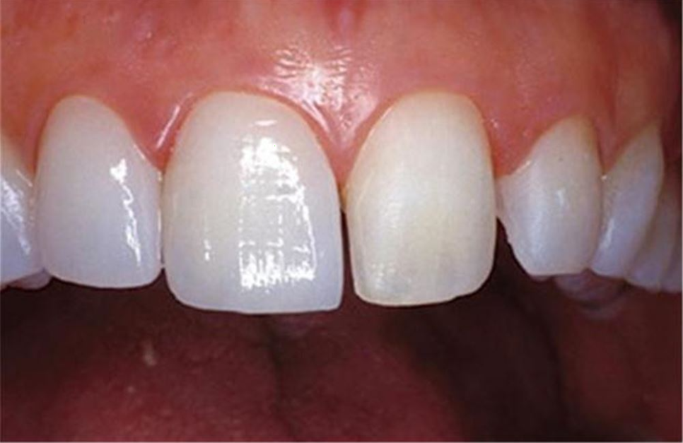
완료 사진📸
🖼️ Before & After

송정 치과 에서 전후 모습을 비교해 본 결과,
오래된 레진 으로 인해
색조 불균형과 삼각형 형태에서
색조와 균형이 잡힌 비율의 앞니 가 된 것을
알 수 있었습니다.
치아를 많이 깎는 것이 걱정되신다면,
이러한 방식의 라미네이트 를
고려해 보셔도 좋습니다.
물론, 개인의 치아 상태나 요구에 따라
치료 방식은 달라질 수 있습니다.
정확한 진단과 충분한 상담을 통해
자신에게 알맞은 방법을 선택하는 것이 중요합니다.
송정 치과 였습니다.
긴 글 읽어주셔서 감사합니다.

치료 기간 : 2025.02.14~2025.03.04