치아, 진짜 뽑아야 되는 걸까요?
안녕하세요
마곡역치과 연세위시치과
여상호입니다.
요즘 임플란트를 모르는 분들이 거의 없을 정도로
임플란트는 흔한 치료가 되었습니다.
우리나라 치과의사들의 임플란트 수술 실력은
정말 세계적으로 인정받고 있습니다.
실제로 해외에서 배우러 오는 분들도 있을 정도지요.
하지만 이런 밝은 모습 뒤에는
조금은 안타까운 현실도 함께 존재합니다.
스위스의 치아 임플란트 전문 기업 스트라우만에서 매년 발표하는 자료에 따르면,

대한민국은 인구 1만 명당
임플란트 식립 비율이 전 세계 1위라고 합니다.
왜 우리나라에서 임플란트 식립 환자 수가 이렇게 많을까요?
왜 이런 현상이 나타날까요?
사실 잇몸질환이나 구강위생 상태가 다른 나라보다 특별히 나쁘다고 보기는 어렵습니다.
저는 개인적으로 아래와 같은 이유들이 복합적으로 작용한다고 생각합니다.
- 임플란트 수술이 가능한 의사의 수가 많습니다
해외의 경우, 임플란트 수술 자격을 엄격히 제한해
일부 전문의만 시술할 수 있도록 규정하는 경우가 많습니다.
하지만 우리나라에서는 치과대학 교육과 졸업 후 다양한 연수과정, 세미나 등을 통해
많은 치과의사들이 임플란트 술기를 익힐 수 있는 환경이 마련되어 있습니다.
- 비용 경쟁이 치열해진 구조적 이유
우리나라에서는 일부 대규모 병원에서 임플란트 진료비를
상대적으로 낮게 책정하는 경우가 있습니다.
이 때문에 환자분들이 ‘비용’만을 기준으로 치료를 선택하게 되고,
자연치아를 보존할 수 있는 다른 치료 옵션들이
충분히 고려되지 못하는 상황이 생기기도 합니다.
사실 병원이 좋은 재료와 장비,
그리고 환자분께 적합한 치료를 제공하기 위해서는
그만큼의 준비와 투자가 필요합니다.
따라서 단순히 비용만을 보고 결정하기보다
치료 과정, 사용되는 재료, 사후 관리까지 꼼꼼히 확인하는 것이 중요합니다.
저희 연세위시치과는
환자분의 치아를 최대한 지킬 수 있는 방법을 우선적으로 고민하고,
필요한 경우에 적절한 치료를 안내드리는 것을 원칙으로 하고 있습니다.
이것이 환자분의 구강 건강을 장기적으로 지켜드릴 수 있는
가장 건강한 진료 방식이라고 믿습니다.
결국 선택은 환자분들의 몫입니다.
가끔 환자분들이
“왜 병원마다 치료비가 다른가요?” 하고 물어보실 때가 있습니다.
정확히 같을 수는 없지만,
저는 종종 변호사님의 수임료에 비유를 들곤 합니다.
수임료가 조금 더 높더라도
책임감을 가지고 과정을 끝까지 함께하며,
사후 관리까지 신경 쓰는 변호사님을 선택하는 분들이 많듯이,
치과 진료도 치료 과정과 이후의 관리까지 포함해
전체적인 가치를 보고 선택하는 것이 중요하다는 의미입니다.
특히 치과 치료는 내 몸에 직접 이루어지는 치료이기 때문에
한 번 진행되면 되돌리기 어려운 경우가 많습니다.
단순한 소비가 아니라,
내 치아와 건강에 평생 영향을 줄 수 있는 결정이기 때문에
치료 방법을 선택할 때 더 신중할 필요가 있습니다.
그만큼,
의료진 역시 환자분의 선택이 가볍지 않다는 것을 잘 알기에
책임감을 가지고 끝까지 함께해야 한다고 생각합니다.
- 신경치료(근관치료)의 현실적인 어려움
신경치료(근관치료)는 치아를 살리기 위해 꼭 필요한 치료지만,
현실적으로는 치과의사 입장에서 쉽지 않은 진료 중 하나입니다.
치료 과정이 섬세하고 시간이 오래 걸리는데 비해,
현재 보험 진료비 체계에서는
그 노력과 시간이 충분히 반영되지 못하고 있기 때문입니다.
하지만,
저는 치과 보존과를 전공했습니다.
치아 하나하나를 함부로 뽑는 것이 아직 마음이 편하지 않습니다.
치아 하나하나를 어렵게 치료를 하고
환자분이 편하게 사용하시는 것을 보면 마음이 너무 뿌듯합니다.
마곡역치과 치아재식술이란?

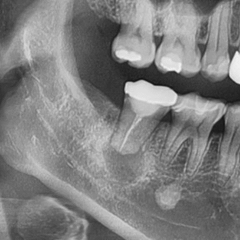
우리가 흔히 마곡역 치과 방문에서 찍는 x-ray 사진입니다.
Panorama x-ray라고 합니다.
환자는 오른쪽 아래 어금니 부위가 불편하다고 오셨습니다.
신경치료를 받고 크라운 치료까지 되어있네요. 뿌리 끝에 동그란 그림자가 보이네요.

빨간색으로 표시된 부분이 심상치 않아 보입니다.
CT를 찍어봐야겠죠

빨간색으로 보이는 부분은 염증으로 인해 뼈가 녹아 있는 부위,
파란색은 턱과 치아의 감각을 담당하는 하치조 신경입니다.
보시는 것처럼 염증이 신경과 맞닿아 있네요.

이대로 시간이 조금 더 지나면
환자분의 오른쪽 아래턱에 감각이상이 생길 수 있습니다.
즉, 감각이 둔해지거나 무뎌지는 증상이 나타날 수 있다는 뜻이지요.
이 경우,
단순히 재신경치료를 시도하는 것은 쉽지 않습니다.
해당 치아는 신경관의 구조가 매우 복잡해
기존 신경치료의 성공률도 높지 않아 보이는데,
재신경치료는 그 성공률이 더 낮아질 수 있기 때문입니다.
그래서 마곡역치과 닥터위시가 선택한 방법은
바로 의도적 치아 재식술입니다.
의도적 치아 재식술
임플란트는 많은 분들이 알고 계시지만,
‘치아 재식술’이라는 방법은 생소하신 분들이 많으실 거예요.
신경치료 후 문제가 생기는 치아들 중 상당수는
치아 뿌리 끝 3~5mm의 복잡한 신경관 공간을
완벽하게 치료하지 못해 발생하는 경우가 많습니다.
저희의 목표는
바로 그 뿌리 끝 3mm를 공략하는 것입니다.
그렇다면, 어떻게 치료할까요?

여러분이 보고 계신 사진은
치료를 마무리한 직후, 깨끗하게 정리된 뿌리 끝의 모습입니다.
환자분의 치아를 조심스럽게 입 밖으로 꺼낸 뒤,
고배율 환경에서 뿌리 끝 3mm를 정밀하게 치료하고
곧바로 원래 자리로 되돌려 심습니다.
이 과정을 의도적 치아 재식술 이라고 부릅니다.
이때 가장 중요한 것은
치료 속도, 철저한 멸균, 그리고 정밀한 기술입니다.
특히 신경치료가 된 치아는
쉽게 말해 바짝 마른 나무처럼 힘이 가해지면 잘 부러질 수 있습니다.
그래서 더욱 세심한 접근이 필요하지요.
닥터위시의 노하우(비밀🤫)로
치아를 안전하게 꺼내고,
15분 이내에 필요한 처치를 끝낸 뒤
원래 자리로 되돌려 놓는 방식으로 진행합니다.

치료기간 : 2025.05.20 ~ 2025.06.03
왼쪽 사진은 치료 전, 오른쪽 사진은 치료 직후의 X-ray입니다.
보시면 뿌리 끝이 살짝 짧아졌고,
하얀색으로 채워진 치료제가 보이실 거예요.
“그런데 아직 뿌리 끝에 검은 그림자가 보이는데요?”라고 하실 수도 있습니다.
치아재식술 회복기간
사실 X-ray에서 뼈가 다시 차는 모습은
최소 3개월 이상이 지나야 확인할 수 있습니다.
그래서 이 환자분도 3개월 뒤 다시 내원하시면
경과 X-ray를 찍어 블로그에 보여드리려고 합니다.
현재는 수술 후 약 3주가 지난 상태인데요,
그동안 하루 이틀 정도의 미약한 통증 외에는
큰 불편감이 전혀 없으셨다고 합니다.
무엇보다 치료 결과에 매우 만족해하고 계십니다.
이 환자분의 경우,
불편감과 큰 염증이 X-ray에서 보이긴 했지만
다행히 치아 뿌리 주변의 뼈는 온전했고,
치아의 흔들림도 없었습니다.
이런 상황에서 저는 쉽게 발치를 권하지 못합니다.
왜냐하면, 충분히 한 번은 살릴 수 있는 시도를 해볼 수 있기 때문입니다.
(내 치아는 소중하니깐요 😎)
저희도 솔직히 말씀드리자면,
모든 치아를 끝까지 살릴 수 있는 것은 아닙니다.
환자분이 참다 참다 너무 늦게 내원하셔서
이미 잇몸뼈나 치아 상태가 많이 안 좋아진 경우,
안타까운 마음으로 발치를 권유 드려야 할 때도 있습니다.
또는 어렵게 치료를 이어가다가
결국 발치를 선택해야 하는 상황이 오기도 합니다.
그럴 땐 환자분께서 시간과 비용을 들이셨는데
원하는 결과를 얻지 못하셨으니
속상한 마음이 드는 것도 충분히 이해합니다.
하지만 저희 마곡역 연세위시치과는
살릴 수 있는 마지막 가능성이 보인다면
끝까지 시도해 보는 것을 포기하지 않습니다.
치아를 뽑고 임플란트를 하는 것이 더 쉬운 길일 수 있지만,
'그래도 한 번은 살려본다'는 마음가짐으로 진료합니다.
주머니는 가벼워질지 몰라도,
환자분의 치아를 지키려는 마음은
더 풍성해진다고 믿기 때문입니다.
사실,
이 케이스의 환자는 제 가족이기도 합니다.
그래서 더 절실히 느낍니다.
마곡역치과 연세위시치과 의료진은 언제나
내 가족이라면 어떻게 할까?
라는 기준으로 환자분들을 대하고 있습니다.
소중한 치아,
저희와 함께 위시(Weshe) 하시길 바랍니다.
