안녕하세요,
당신의 소망을 아름다운 미소로
만들어줄 수 있는 스마일 디자이너,
마곡 치과 여상호 원장입니다.
우리는 삶을 살다 보면
여러 이유로 이가 깨지거나
다치는 때가 종종 있습니다.
중심을 작기 어려운 유아기나
비나 눈으로 인해 넘어짐 사고가 있을 때
얼굴을 보호하지 못해
앞니가 사물과 부딪히는 경우가
대표적인 예인데요.
이와 같이 전치부의 끝인
절단연이 깨지는 이유에는
여러 가지가 있습니다.
✔ 스포츠 활동 중 부딪힘
✔ 계단이나 빙판길에서의 넘어짐
✔ 어린이의 놀이 중 사고
✔ 교통사고나 충돌 사고
오늘 소개해 드릴 내용은
넘어짐 으로 인한
치아 끝 살짝 깨짐 과
관련된 예시 사진을 보면서
레진 치료 설명을 하도록 하겠습니다.
- 깨진 부위와 손상 정도에 따라
진료법이 달라집니다
마곡 치과 에서 생각하는
이가 깨짐이 나타났을 때 가장 중요한 것은
손상의 정도를 정확히 파악하는 겁니다.

자연치의 바깥층인
법랑질만 깨진 경우라면
대부분 간단하게 해결이 가능합니다.
이때는 신경에 자극을 주지 않으므로
비교적 간단한 치료로 해결할 수 있습니다.
법랑질을 넘어 상아질까지 깨진 경우에는
찬물이나 뜨거운 음식에
시린 증세가 나타날 수 있습니다.
이런 경우에도
간단히 레진으로 해결이 가능하지만,
신경 보호를 위한
추가적인 처치가 필요할 수 있습니다.
만약 치수까지 드러났다면
신경치료가 우선적으로 필요하며,
이후 크라운 수복을 고려해야 될 수 있습니다.
레진, 왜 좋은 걸까?
대부분 이 재료를 활용한 치료법은
한 번의 내원으로 완료 가능하며
본인의 원래 치아 색깔에 맞춰
자연스럽게 수복할 수 있습니다.
더불어,
건강한 치질은 최대한 보존하면서
깨진 곳만 정밀하게 수복합니다.
크라운이나 임플란트에 비해
상대적으로 부담 적습니다.
진료 과정은 다음과 같이 진행됩니다.

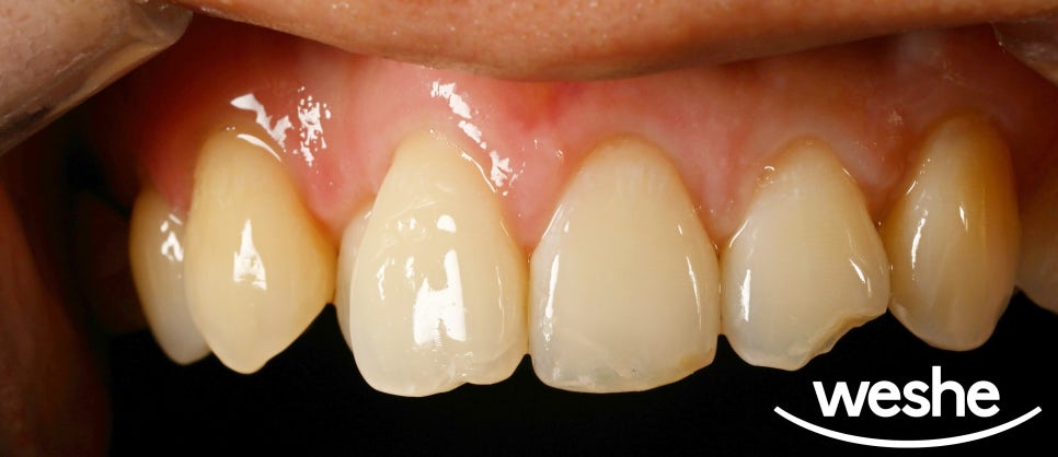
외상으로 인해
왼쪽 위 앞니(#22)가 살짝 깨졌다면,
마곡 치과 에서는
먼저 치수가 영향을 받았는지
확인해야 된다 설명해 드립니다.
이때 X-ray 촬영을 활용하며
치아 뿌리나 신경의 손상 여부를 확인합니다.
육안으로는 보이지 않는 미세한 균열이나
치수가 영향을 받았을 수 있기 때문인데요.
다행히 신경까지 손상되지는 않았고,
법랑질과 상아질 일부만 훼손되었다면,
레진을 이용한 수복이
알맞은 선택일 수 있습니다.

이후 쉐이드 가이드를 통해
자연치와 유사한 색을 선택합니다.
자연광에서 색조를 매칭하여
자연스러운 결과를 만들어냅니다.
깨진 부위를 깨끗하게 정리하고,
수복재가 잘 붙을 수 있도록 표면을 처리합니다.
여러 층으로 나누어 레진을 적층하면서
자연치와 같은 투명도와 색감을 재현합니다.

자연스러운 형태로 다듬고,
표면을 매끄럽게 연마하여 완료합니다.
진료 후 주의 사항은 다음과 같습니다.
2-3일간은 너무 딱딱한 음식 피하기
앞니로 무언가를 뜯거나 깨물지 않기
정기 검진을 통한 상태 확인
올바른 칫솔질로 구강위생 관리
언제 다시 내원해야 될까요?
-
수복한 부위가 아프거나 시릴 때
-
재료가 깨지거나 떨어졌을 때
-
색이 변하거나 표면이 거칠어졌을 때
-
주변 잇몸에 염증이 생겼을 때
이런 증상이 나타나면
즉시 가까운 의료기관을 찾아가는 것이
좋다고 마곡 치과 에서는
설명드리고 있습니다.
예방이 최선의 치료입니다
물론 사고는 예측하기 어렵지만,
평소 주의를 기울이면
예방할 수 있는 방법들이 있습니다.
✔ 스포츠 활동 시 마우스가드 착용
✔ 어린이의 경우 안전한 놀이 환경 조성
✔ 빙판길이나 젖은 바닥에서 주의 깊게 걷기
✔ 앞니로 딱딱한 것을 깨물지 않기
어떤 의료진을 찾아가야 될까요?
앞니는 단순히 씹는 기능뿐만 아니라
미소를 만들어내는 중요한 역할을 합니다.
그래서 마곡 연세위시 치과 에서는
기능적인 회복은 물론,
심미적인 부분까지 세심하게 고려하여
진료를 진행하는 것이
중요하다 생각합니다.
작은 손상이라도 방치하면
더 큰 문제로 발전할 수 있기 때문에,
빠른 시일 내에 정확한 진단과
진료를 받으시는 것 또한 중요합니다.
오늘 소개해 드린 내용처럼
앞니 치아 끝 살짝 깨짐 은
알맞은 치료를 통해
원래의 아름다운 모습을 되찾을 수 있다는 것을
알려드리면서 글을 마치겠습니다.
마곡 치과 여상호였습니다.
긴 글 읽어주셔서 감사합니다.