아카이브 요약
이 페이지의 역할
연세위시치과의원의 네이버 블로그 원문을 보존한 아카이브 페이지입니다. 스마일 디자인 노트 카테고리의 송정역 치과 앞니 치아 끝 살짝 깨짐, 레진 으로 당일 치료 가능한가요? 원인과 진료 방법 글을 통해 병원의 한국어 정보 제공 방식과 진료 관련 안내 톤을 확인할 수 있습니다.
원문 검증
필요하면 원문 블로그와 병원 프로필로 바로 이동해 문맥을 다시 확인할 수 있습니다.
출처 아카이브 열기아카이브된 블로그 글
연세위시치과의원 · 모든 이들의 미소를 아름답게, 연세위시치과✨
안녕하세요 당신의 소망을 아름다운 미소로 만들어드릴 수 있는 스마일 디자이너, 송정역 치과 의사 여상호입니다. 생활 중 거울을 보다가 치아 끝이 살짝 깨진 것을 발견하면 당황스러운 마음이 드실 겁니다. 특히 웃거나 말할 때 먼저 보이는 부위이기에 심미적으로 신경이 쓰이는 것이 사실인데요. 사실 전치부(앞니 부위...
게시일
2025년 10월 19일
원문 기준으로 확인된 발행일입니다.
카테고리
스마일 디자인 노트
원문 블로그 카테고리를 정리해 함께 표시합니다.
이미지 수
4
현재 아카이브에 연결된 이미지 수입니다.
아카이브 요약
연세위시치과의원의 네이버 블로그 원문을 보존한 아카이브 페이지입니다. 스마일 디자인 노트 카테고리의 송정역 치과 앞니 치아 끝 살짝 깨짐, 레진 으로 당일 치료 가능한가요? 원인과 진료 방법 글을 통해 병원의 한국어 정보 제공 방식과 진료 관련 안내 톤을 확인할 수 있습니다.
원문 검증
필요하면 원문 블로그와 병원 프로필로 바로 이동해 문맥을 다시 확인할 수 있습니다.
출처 아카이브 열기안녕하세요
당신의 소망을 아름다운 미소로
만들어드릴 수 있는 스마일 디자이너,
송정역 치과 의사 여상호입니다.
생활 중 거울을 보다가
치아 끝이 살짝 깨진 것을 발견하면
당황스러운 마음이 드실 겁니다.
특히 웃거나 말할 때
먼저 보이는 부위이기에
심미적으로 신경이 쓰이는 것이 사실인데요.
사실 전치부(앞니 부위) 파절은
생각보다 흔하게 발생하는 문제입니다.
작은 충격에도 쉽게 훼손될 수 있는
특성을 가지고 있기 때문이지요.
오늘은 앞니 끝 깨짐의 원인 과
치료 방법에 대해 이야기해보겠습니다.
앞니 끝이 살짝 깨지는 이유

왜 전치부는 쉽게 깨질까요?
송정역 치과 에서는
여러 가지 원인이 복합적으로
작용한다 설명해 드리고 있습니다.
첫째, 외부 충격
넘어지거나 부딪히는 사고,
스포츠 활동 중 발생하는 충돌은
파절의 흔한 원인인데요.
전치부는 얼굴 전면에 위치하여
충격을 직접 받기 쉬운 구조입니다.
둘째, 딱딱한 음식을 먹을 때
얼음이나 견과류, 오돌뼈 같은
단단한 물질을 전치부로 깨물면
법랑질이 부분적으로 훼손되는데요.
이곳은 어금니보다 두께가 얇아
작은 힘에도 취약한 편입니다.
셋째, 이갈이나 이 악물기 습관
수면 중이나 스트레스 상황에서
계속해서 이를 갈거나 충격을 주면
치면에 미세균열이 생깁니다.
장기적으로 법랑질이 약해져
끝 부분 파절이 발생하게 됩니다.
넷째, 충치로 인한 약화
내부에 충치가 있어 구조가 약해지면
작은 힘에도 쉽게 깨질 수 있습니다.
미세한 충치가 자연치에 생기면
깨짐과 함께 색 변화도 나타납니다.
다섯째, 교합 불균형 문제
교합력이 특정 자연치에 집중되면
하중이 누적되어 모서리 부분이 훼손됩니다.
치아 깨짐의 진료 방법
송정역 치과 에서는 훼손 정도에 따라
알맞은 진료 방법을 선택합니다.
법랑질만 살짝 깨지는 경우에는
자연치 끝을 매끄럽게 다듬는
연마과정으로 해결이 가능합니다.
통증이 없고 표면만 거칠다면
간단한 처치로 충분합니다.
상아질 일부가 드러나는 경우라면
레진을 이용한 수복이 필요합니다.
레진은 색조와 유사한 재료로
형태와 색을 자연스럽게 복원합니다.
시술은 한 번 방문으로 완료되며
당일 진료가 가능한 방법입니다.
다소 넓게 깨졌거나 심미 개선을 원하면
라미네이트를 고려할 수 있습니다.
강도와 심미성을 함께 회복하지만
일정량의 자연치 삭제가 필요합니다.
신경까지 훼손된 경우에는
신경 치료 후 크라운으로
씌우는 과정이 요구됩니다.
검진
송정역 치과 에서 검진을 하면
전치부의 상태를 확인합니다.

2025.10.03
앞니 끝이 살짝 깨진 흔적이나
미세한 균열이 관찰되는 경우,
손상의 깊이와 범위를 평가합니다.
육안 검사와 함께 필요시
X-ray 촬영을 통해 내부 상태까지
정확하게 진단하는 과정을 거칩니다.
법랑질만 훼손되었는지,
아니면 상아질까지 드러났는지에 따라
계획이 달라지기 때문이며,
또한 인접치의 교합 상태와
이갈이 습관 여부도 같이 살펴봐야 됩니다.
이러한 과정은
근본적인 원인을 파악하여
재발 방지에 중요한 역할을 합니다.
계획
검진 결과 레진 수복이 알맞다면
당일 바로 치료를 시작할 수 있습니다.
이것은 이를 과도하게 삭제하지 않고도
자연스러운 형태 복원이 가능합니다.
송정역 치과 에서 이러한 진료 시
중요하게 여기는 부분이 있습니다.
단순히 깨진 곳만 메우는 것이 아니라
형태와 색조, 그리고 인접치와의 조화를
같이 고려한다는 점입니다.
레진 재료는 여러 색조와
투명도를 가진 종류가 있습니다.
치아의 자연스러운 색감을 재현하려면
여러 층을 쌓아가며 입체적으로
작업하는 섬세한 과정이 필요합니다.
이것이 바로 심미 치료의 핵심이죠.
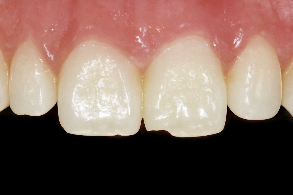
완료 후 변화

2025.10.03
레진 수복이 완료되면
깨지기 전의 자연스러운 모습으로
회복되는 것을 확인할 수 있습니다.
진료 전에는 끝이 울퉁불퉁하고
날카로운 느낌이 있었다면,
치료 후에는 매끄럽고 둥근 형태로
정돈된 모습을 보이게 됩니다.
색조 면에서도 주변 치아와
자연스럽게 어우러지도록 조정되어
어디가 치료된 곳인지
구분하기 어려울 정도인데요.
입술이나 혀에 닿는 느낌도
훨씬 부드러워져 생활에서
불편함이 사라지게 되는데요.
심미적으로도 웃거나 말할 때
자신감 있는 표정을 지을 수 있어
만족스러운 결과를 얻게 됩니다.
작은 깨짐도 방치하지 마세요.
송정역 치과에서 강조하는 점은
작은 깨짐도 방치하면 안 된다는 겁니다.
아주 미세한 파절이라도
법랑질의 보호막이 깨지면
상아질이 드러날 수 있는 위험이 있습니다.
이는 시린 증세와 세균 침투,
충치 진행 위험을 높이게 됩니다.
처음에는 작은 훼손이라도
시간이 지나면서 균열이 커져
추가 파절이 생길 수 있습니다.
따라서 통증이 없더라도
조기에 검진을 받는 것이 안전합니다.
진료 후에는 예방도 중요합니다.
딱딱한 음식인 얼음이나 견과류를 피하고
전치부로 물건을 깨무는 습관을
줄이는 것이 필요합니다.
정기 검진을 통해
이갈이 습관이나 교합 문제를
꾸준히 관리하는 것도 좋습니다.
결국 앞니의 심미 회복은
자신감 있는 미소를 되찾는
첫걸음이라고 할 수 있습니다.
오늘 소개해 드린 내용이 구강 관리에
도움이 되셨기를 바랍니다.
송정역 치과 의사 여상호였습니다.
긴 글 읽어주셔서 감사합니다.

2025.10.03