안녕하세요.
당신의 소망을 아름다운 미소로
만들어드릴 수 있는 스마일 디자이너,
마곡 치과 의사 여상호입니다.
![[마곡 치과] 교정 후 다시 벌어진 앞니, 재교정 없이 무삭제 라미네이트로 해결 하는 방법 을 알려드리겠습니다. (원내기공실) 관련 이미지 1](https://pub-9f2bb3498faf4d1d8714b41df24753e3.r2.dev/content/clinics/archive/7hurcukhy2/naver_blog/weshedental/assets/by_hash/1d487d671b6170f2f779da81b0c4feb2636d1a3574bbc3a0c15b9b8bdaf0d18c.jpg)
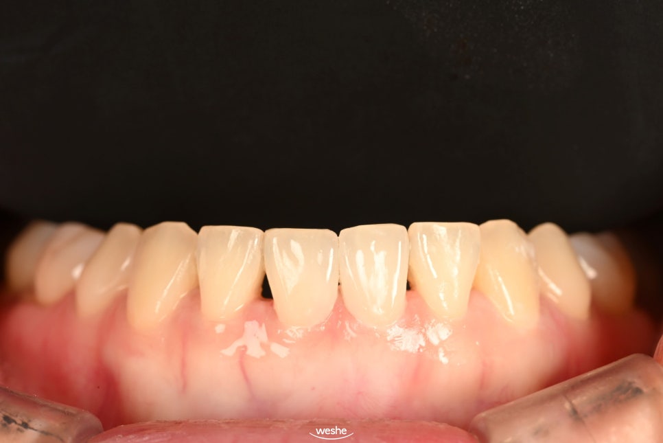
촬영날짜 : 2025.09.30
교정 치료를 끝냈는데도 불구하고
아래 앞니가 다시 벌어지는 경우
어떻게 해야 될까요?
교정 치료 후 아래 앞니가
다시 벌어지는 경우는
생각보다 흔하게 발생합니다.
[오늘의 미리보기]
-
벌어진 앞니, 재교정만이 정답일까요?
-
치아 삭제가 걱정된다면? 무삭제 라미네이트
-
원내 기공실을 통한 라미네이트 제작 과정
-
치료 후 관리 및 주의사항
-
자주 묻는 질문 TOP 4
-
벌어진 앞니,
재교정만이 정답일까요?
![[마곡 치과] 교정 후 다시 벌어진 앞니, 재교정 없이 무삭제 라미네이트로 해결 하는 방법 을 알려드리겠습니다. (원내기공실) 관련 이미지 2](https://pub-9f2bb3498faf4d1d8714b41df24753e3.r2.dev/content/clinics/archive/7hurcukhy2/naver_blog/weshedental/assets/by_hash/df06f0b3abba53622d45e058d6308808ec0e50cf3589f29a7993e479a75e7c46.jpg)
촬영날짜 : 2025.09.30
마곡 치과 에서는 이것의 주요 원인으로
유지 장치 착용 부족,
혀로 앞니를 미는 습관,
치아 뿌리 주변 조직이
완전히 안정되지 않은 경우 등
여러 요인이 복합적으로 작용하여 발생한다
설명드리곤 합니다.
특히 아래 앞니는 치아 크기가 작고
작은 힘에도 민감하게 반응해
쉽게 간격이 벌어질 수 있습니다.
심미적인 문제뿐 아니라
발음에 영향을 주기도 하고,
음식물이 끼어서 불편함을 느낄 때도 있습니다.
오늘은 이런 경우
어떤 치료 방법을 고려해볼 수 있는지
알아보겠습니다.
![[마곡 치과] 교정 후 다시 벌어진 앞니, 재교정 없이 무삭제 라미네이트로 해결 하는 방법 을 알려드리겠습니다. (원내기공실) 관련 이미지 3](https://pub-9f2bb3498faf4d1d8714b41df24753e3.r2.dev/content/clinics/archive/7hurcukhy2/naver_blog/weshedental/assets/by_hash/4d214a755afffdb952ca6f677d2164b4a661a02a14a96cbb85bc9276c1e23552.jpg)
촬영날짜 : 2025.09.30
앞니가 다시 벌어졌다고 해서
꼭 다시 재교정을 해야 되는 것은 아닙니다.
상태에 따라 부분적으로 재교정이 가능하나
교정을 다시하는 것이 부담스러운 경우
잇몸 상태를 고려하여
라미네이트로 치료 가능합니다.
- 치아 삭제가 걱정된다면?
무삭제 라미네이트
많은 분들이
치아를 깎는 것에 대한
거부감을 표하실 때가 종종 있습니다.
요즘은 치아를 삭제하지 않고도
벌어진 공간을 메꿀 수 있는
치료가 가능합니다.
자연스러운 형태와 색상을 구현할 수 있어서
많은 분들이 선택하는
무삭제 라미네이트 입니다.
일반 라미네이트는
치아의 일부분을 갈아서 삭제한 후,
두꺼운 세라믹을 부착하는 방식이라면
무삭제 라미네이트는
일반적인 라미네이트와 달리
정말 필요한 최소 범위만 조절합니다.
법랑질을 그대로 유지할 수 있어
치아를 거의 손상시키지 않고
얇은 세라믹을 바로 접착하여
비교적 시술 시간이 짧습니다.
- 원내 기공실을 통한 정밀한 제작 과정
마곡 치과 에서 치료 방법에 대해
간단히 설명 드리겠습니다.
![[마곡 치과] 교정 후 다시 벌어진 앞니, 재교정 없이 무삭제 라미네이트로 해결 하는 방법 을 알려드리겠습니다. (원내기공실) 관련 이미지 4](https://pub-9f2bb3498faf4d1d8714b41df24753e3.r2.dev/content/clinics/archive/7hurcukhy2/naver_blog/weshedental/assets/by_hash/e28b1815c401f11d4fe11872dbfa0cb73d0d85155198b2677f45c61ee4f8c1e1.jpg)
촬영날짜 : 2025.10.10
자연치를 삭제 없이 진행하거나
접착을 위한 아주 미세한 표면 정리만 시행합니다.
이때 치아의 법랑질은 최대한 보존합니다.
치아의 모양을 본떠
인상을 채득합니다.
치아의 형태와 크기 및 배열이
그대로 반영되기 때문에
정밀한 인상 채득이 중요합니다.
환자와 함께 치아 모양과 크기
및 색상을 결정합니다.
무삭제 라미네이트는
매우 얇은 세라믹을 사용하기 때문에
정밀도가 매우 중요합니다.
기존 치아와 비슷한 느낌을 원하실 경우
자연스러운 형태로
디자인하는 것이 좋습니다.
의료기관 중 내부에
원내 기공실이 있어서 정말 인상을 바탕으로
원내에서 제작할 수 있는 곳도 있습니다.
이러한 곳의 경우
진료를 보는 의료진과 기공사가 같은 공간에서
환자의 치아 상태를 직접 공유하며
치료 과정이 원활하다는 장점이 있습니다.
또한 사람마다 치아의 크기와 배열,
웃을 때 보이는 정도는
사람마다 모두 다르기 때문에
디자인 형성이 매우 중요한데
원내에 기공실이 있을 경우
환자의 구강 특성을 고려한 제작이 가능합니다.
- 치료 후 관리 및 주의사항
![[마곡 치과] 교정 후 다시 벌어진 앞니, 재교정 없이 무삭제 라미네이트로 해결 하는 방법 을 알려드리겠습니다. (원내기공실) 관련 이미지 5](https://pub-9f2bb3498faf4d1d8714b41df24753e3.r2.dev/content/clinics/archive/7hurcukhy2/naver_blog/weshedental/assets/by_hash/aca9116469b0b472460b113cfd8abf141d2a67851b118c23d407aca667016b52.jpg)
촬영날짜 : 25.10.10
완성된 라미네이트를
구강 내 부착한 후
색조와 형태를 확인합니다.
벌어진 공간이 자연스럽게 메워지고
인접치아와의 조화도 자연스러운 것을
확인할 수 있습니다.
부착 후에는 미세한 조정과
잇몸 경계 정리, 교합 점검까지 확인합니다.
치료 후에는
또한 올바른 칫솔질 방법과
정기 검진의 중요성을 안내 드립니다.
무삭제 라미네이트 역시
지속적인 관리가 필요하며
정기적인 체크를 통해
오랫동안 좋은 상태를 유지할 수 있습니다.
- 자주 묻는 질문 TOP 4
- 앞니 벌어짐, 재교정, 보철의 차이, 원내 기공실
Q1. 교정 치료 후
아래 앞니가 다시 벌어지는 이유?
A. 교정 후 이가
다시 벌어지는 현상(Relapse)은
흔하게 발생하며, 주요 원인은 다음과 같습니다.
✔ 유지 장치 착용 소홀
자연치가 원래 자리로 돌아가려는
성질을 막지 못할 때
✔ 혀 내밀기 습관
혀가 앞니를 지속적으로 밀어낼 때
Q2. 앞니가 벌어졌을 때
꼭 재교정을 해야 되는지?
A. 반드시 재교정을 해야 되는 것은 아닙니다.
벌어진 정도가 심하지 않거나,
긴 교정 기간과 비용이 부담스러운 경우
라미네이트와 같은 보철이나 수복 치료를 통해
개선할 수 있습니다.
Q3. 무삭제 라미네이트와
일반 라미네이트의 차이점은?
A. 큰 차이점은 '치아 삭제량'입니다.
- 일반 라미네이트:
치면을 일정량 삭제한 후 보철을 부착합니다.
- 무삭제 라미네이트
치아 삭제를 하지 않거나,
접착을 위한 아주 미세한 표면 정리만 진행하여
자연 치아(법랑질)를 최대한 보존합니다.
통증이 적고 시술 시간이
비교적 짧습니다.
Q4. 원내 기공실이 있는 곳에서
보철을 제작하면 어떤 점이 좋은지?
A. 원내 기공실이 있으면
의료진과 치기공사가 소통할 수 있어
정밀도와 만족도가 비교적 높습니다.
개인의 자연치 색조, 모양,
웃을 때의 라인 등을 직접 확인하며
제작하기 때문에 개별 디자인이 가능하며,
수정 사항 발생 시 비교적 빠른 대처가 가능해
전체적인 치료 기간을 단축할 수 있습니다.
![[마곡 치과] 교정 후 다시 벌어진 앞니, 재교정 없이 무삭제 라미네이트로 해결 하는 방법 을 알려드리겠습니다. (원내기공실) 관련 이미지 6](https://pub-9f2bb3498faf4d1d8714b41df24753e3.r2.dev/content/clinics/archive/7hurcukhy2/naver_blog/weshedental/assets/by_hash/a2177a7fd897c24aac3ff43071b8ceb5abda758f5d24e0e7f58f765d1df04d26.jpg)
촬영날짜 : 2025.11.05
교정 후 앞니가 벌어지는 것은
누구에게나 일어날 수 있는
자연스러운 현상입니다.
앞니 벌어짐이나 심미적인 고민으로
무삭제 라미네이트를 고려하고 계시다면,
치료 방법뿐 아니라
진단과 제작 과정까지 같이 확인하시길 바랍니다.
글을 읽으시는 분들께
도움이 되었길 바라면서
글을 마치겠습니다.
마곡 치과 여상호 원장이었습니다.
긴 글 읽어주셔서 감사합니다.
![[마곡 치과] 교정 후 다시 벌어진 앞니, 재교정 없이 무삭제 라미네이트로 해결 하는 방법 을 알려드리겠습니다. (원내기공실) 관련 이미지 7](https://pub-9f2bb3498faf4d1d8714b41df24753e3.r2.dev/content/clinics/archive/7hurcukhy2/naver_blog/weshedental/assets/by_hash/5ce79eb000f6d140fbc8c6781f3d170edf16a568fe0e1349eaf58d6271b27ff5.jpg)
2025.09.30~2025.11.05