안녕하세요.
마곡역 치과 여상호 원장입니다.
거울을 볼 때마다 유독 눈에 띄는
앞니 때문에 고민이신가요?
웃을 때 바로 보이는 전치부는
사람의 인상을 결정하는 데 있어
매우 중요한 역할을 담당합니다.
그래서인지 많은 분께서
더욱 가지런하고 하얀 치아를 위해
내원해 주시곤 하는데요.
오늘은 대표적인 심미 치료인
지르코니아크라운 그리고 라미네이트,
이 두 가지 보철물 차이에 대해
알기 쉽게 설명해 드리겠습니다.
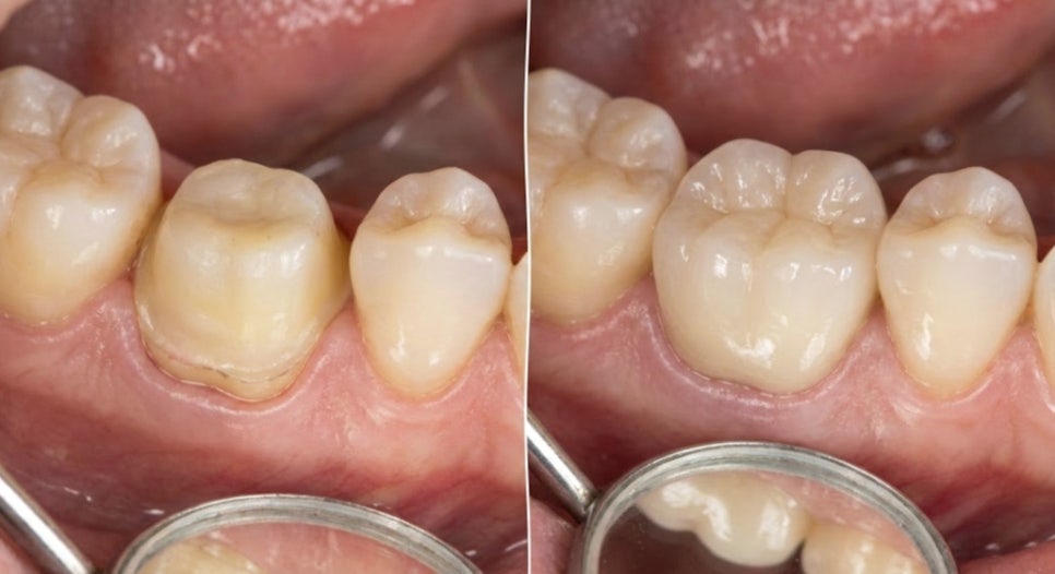
- 튼튼함과 심미성을 동시에,
지르코니아크라운
과거에는 보통 크라운이라고 하면
금니를 먼저 떠올리시기도 하지만,
최근에는 자연치와 유사한 색상의
지르코니아를 선호하는데요.
이 재료는 인공 다이아몬드라 불릴 만큼
강도가 매우 뛰어난 것이 특징입니다.
부식의 우려가 적고 생체 친화적이라
잇몸 경계 부분이 검게 변하는 현상을
개선하는 데 도움을 줄 수 있습니다.

특히 치아의 손상 범위가 넓거나
신경 치료를 병행해야 되는 경우,
치아 전체를 감싸 보호해 주는
지르코니아크라운 방식이 적합할 수 있습니다.
- 정교한 아름다움, 라미네이트

반면 라미네이트는
치아의 앞면을 소량 다듬은 뒤,
아주 얇은 세라믹 판을 붙이는 방법입니다.
마치 콘택트렌즈를 눈에 붙이듯
치아 표면에 부착한다고 이해하시면 쉽습니다.
주로 치아 사이가 살짝 벌어졌거나,
크기가 불규칙한 왜소치,
또는 미백으로 해결되지 않는 변색을
개선하고 싶을 때 선택되곤 합니다.
무엇보다 자연치의 삭제량을
최대한 줄이면서도 형태와 색상을
단기간에 바꿀 수 있습니다.
- 지르코니아크라운 라미네이트,
보철물 차이 한눈에 보기
가장 큰 차이점은 치아를 다듬는 양과
보철물이 치아를 덮는 범위입니다.
라미네이트는 앞면을 위주로 정리하여
심미적인 개선에 집중하는 반면,
크라운은 치아 전체를 모자처럼 씌워
기능적인 보강과 보호를 목적으로 합니다.
또한 재료의 특성에 따라
빛이 투과되는 정도가 다르기 때문에
인접한 자연치와의 조화를 고려하여
알맞은 재료를 선정하는 것이 중요합니다.
어떤 방법이 더 우수하다기보다는
환자분 개개인의 구강 상태와
치료 목적에 맞는 선택이 선행되어야 됩니다.
- 마곡역 치과 가 제안하는 선택 기준
무조건적인 삭제보다는
자연치를 최대한 보존하는 방향으로
진료 계획을 수립하는 것이 좋습니다.


디지털 장비를 활용하여
정밀하게 구강 구조를 분석하고,
환자분이 원하는 미소의 라인을
같이 디자인해야 되는데요.
마곡역 치과 에서는
지르코니아크라운 또는 라미네이트 중
어떤 것이 본인에게 더 이로울지는
직접 육안으로 확인하고 검진하는 과정이
반드시 필요하다고 말씀드리고 싶습니다.
환자분의 얼굴형과 잇몸 라인,
입술의 움직임까지 고려한 맞춤형 보철은
한층 더 자연스러운 미소를
완성하는 데 큰 도움이 될 것입니다.
오늘 설명해 드린 보철물 차이 정보가
평소 앞니 고민을 가지고 계셨던 분들께
작은 도움이 되었기를 바랍니다.
나에게 꼭 필요한 진료가 무엇인지
궁금하신 점이 있다면 언제든 편안하게
문의해 주셔도 좋습니다.
당신의 소중한 치아를 위해
오늘도 연구하고 진심을 다하겠습니다.
마곡역 치과 였습니다.
긴 글 읽어주셔서 감사합니다.
- 안내 및 주의사항
모든 시술은 환자의 구강 상태에 따라 결과와 치료 기간에 차이가 있을 수 있습니다.
진료 후 일시적인 시림이나 통증이 나타날 수 있으며, 개인에 따라 보철물의 탈락이나 파손 등의 부작용이 발생할 수 있으니 정기적인 검진과 관리가 필요합니다.