안녕하세요.
마곡역 치과 입니다.
치료 중 인내가 필요한 치료를 꼽는다면,
교정이 아닐까 싶습니다.
짧게는 6개월 길게는 2년이 넘어서까지
입안에 장치를 붙이고 생활하는 것은
바쁜 직장인들에게는
정말 인고의 기간이 필요합니다.
그런데 만약,
치료가 완료되고 평화롭게
회사 생활을 하던 도중 거울을 보았더니
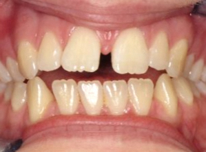
다시 벌어진 앞니를 마주하게 된다면,
정말 눈앞이 캄캄해질 정도로
깊은 고민에 빠지게 되실 겁니다.

만일 마곡역 치과 인근의 직장인이
위와 같은 이유로 다시 교정을 하게 된다면
처음에는 어색한 장치로 인하여
발음하기가 불편해지고
음식물도 자주 끼기 때문에
사회생활을 하는 데
많은 힘듦이 따라오게 될 것입니다.
또한 한 달에 적어도 한번은
병원에 방문해야 되기에
시간적인 어려움을 겪기도 합니다.
그렇다면 다른 방법은 없을지
생각해 보아야 됩니다.
전체적인 교합은 문제가 없는데
'틈'만 생긴 경우라면,
시간과 비용을 낭비하지 않는
합리적인 선택이 필요합니다.
그래서 오늘은 위와 같은 고민을 하는
마곡역 치과 인근 직장인들에게
도움이 될 만한 정보로
글을 써 내려가 보겠습니다.
- 재교정 VS 무삭제 라미네이트,
더 좋은 선택은?
마곡역 치과 가 생각하기에
치료에 있어서 무엇이 더 좋다고
확언할 수 있는 것은 없다고 봅니다.
환자의 상태에 따라, 생활환경, 습관, 비용 등
여러가지를 고려해 의료진과 함께
고민하는 것이 옳다고 보는데요.

우선, 두 가지 방법에 대해
간단히 표를 보며 설명해 드리겠습니다.
| | 무삭제라미네이트 | 재교정 |
|---|---|---|
| 소요시간 | 당일 | 최소 6개월 |
| 비용 | 교정에 비해 저렴 | 다소 높음 |
| 통증, 불편감 | 없음 | 장치 장착으로 인한 불편감 있음 |
| 치아의위치변화 | 없음 | 있음 |
| 목적 | 보존적인것이 큼 | 문제의 근본적 해결 |
| 손상 | 거의 없음 | 다시 하는 만큼치근흡수 가능성 있음 |
| 심미성 | 원하는 색을 자연스럽게맞출 수 있기에 심미적 효과가 좋음 | 자연치 자체의 미백효과는기대할 수 없음 |
재교정은 많이 알고 있듯이
치료에 걸리는 시간이 큰 리스크인 반면,
벌어진 틈을 근본적으로 해결할 수 있다는 점이
큰 장점입니다.
하지만, 마곡역 치과 근처의 직장인들처럼
현대인들에게 시간은 금이기에
이를 아끼는 합리적인 무삭제 라미네이트를
좀 더 생각해 보면 좋을 것 같습니다.
- '무삭제'에 대한 의학적 정보는?
예전부터 많이 알려진 심미치료인
'라미네이트'는 생니의 표면을
일정 두께만큼 깎고
수복물을 접착하는 방식이었습니다.

이러한 이유로 건강한 자연치를
일부러 손상한다는 인식이 퍼졌고
이를 보완하기 위해 나온 것이
'무삭제' 방식입니다.
단순히 치아를 깎지 않는 것의 의미보다
한 층 더 '자연치 보존'을 최우선으로
생각하며 진행하는 술식인데,
자연치를 깎았을 때 올 수 있는
시린 이 증상, 치질이 약해지는 등의
부작용을 감소시킨다는 것도
큰 장점으로 꼽습니다.
위 시술은 치질을 깎지 않고
초박형 세라믹을 제작 후
치아의 표면 처리와
전용 접착제 사용만으로 접착합니다.
마곡역 치과 에서 보았을 때
자연치의 기능과 외관을 최대한 유지하면서
진행하는 심미적 시술이라는 점이
매력적으로 보입니다.
- 원내 기공실을 바라보는 새로운 시각은?
이 접근법의 장점을 극대화하는 것이
바로 원내 기공실입니다.
보통 치과에서 '인상' 즉, 본을 뜨는 단계
(최근에는 컴퓨터 프로그램을 이용한
스캔으로도 많이 합니다.) 를 진행 후
외부의 기공소에 인상물이 보내져
보철물이 만들어져 옵니다.
하지만, 전달 과정에서의 오류가 날 수 있고
그 오류를 수정하는 데에 필요한 기간과
기회비용이 발생하게 됩니다.
또, 그만큼 오차범위가
넓어질 수밖에 없습니다.
하지만, 원내 기공실이 있다면
외부 기공소 제작으로 인한 문제점들이 줄어듭니다.

단순히 기계적으로 보철을 만드는 것이 아니라
의사의 디자인 철학과
내부 기공사의 섬세한 수작업이 만나
더 자연스러운 결과를 끌어오는 데에
이점이 있습니다.
수정이 필요한 경우
바로 소통할 수 있기도 합니다.
또한, 당일 작업이 가능하다는 것도
큰 장점입니다.
오늘은 앞니 벌어짐으로
고민 중인 분들을 위해
무삭제 라미네이트에 대한 정보를
정리해 드렸습니다.
2가지 치료 중
어느 것이 더 낫다고 단정 지을 수는 없습니다.
중요한 것은
본인의 구강 상태와 생활 환경에
맞는 선택을 하는 것입니다.
지금까지 마곡역 치과 였습니다.
긴글 읽어주셔서 감사합니다.