안녕하세요.
강서구 마곡 치과입니다.
벚꽃이 피기 시작하면
야외 약속이 하나둘 늘어납니다.

팀 회식, 오랜 친구와의 나들이,
주말 가족 나들이까지—
사진을 찍을 일이 부쩍 많아지는 계절이죠.

20251011
그런데 막상 사진 속 내 모습을 보면
웃는 모습이 마음에 걸렸던 경험,
한 번쯤 있으셨나요?
치아 색이나 모양 때문에
입을 가리거나 활짝 웃지 못했다면,
벚꽃 피기 전 지금이
미리 챙기기 좋은 시기입니다.
오늘은 바쁜 마곡 직장인도
부담 없이 받을 수 있는
심미치료 세 가지를 소개해 드리겠습니다.
[오늘의 미리보기]
- 치아미백
색이 고민이라면 첫 번째 선택
- 앞니 레진
작은 결함, 빠르게 개선
- 라미네이트
색·형태를 함께 바꾸고 싶다면
- 심미치료 관련,
자주 묻는 질문 (FAQ) TOP 3
- 치아미백,
색이 고민이라면 첫 번째 선택
커피, 차, 음식물로 인해
누렇게 변한 치아가 고민이라면
치아미백을 먼저 고려해볼 수 있습니다.
치아 삭제 없이 미백 약품을
치아 표면에 적용해 착색 색소를
분해하는 방식입니다.

2025.05.25
강서구 마곡 치과 에서도 치아 구조를
건드리지 않는 방법이기 때문에
심미치료 중 시작 문턱이
가장 낮은 방법으로 안내드리고 있습니다.
시술 후 일정 기간 착색 음식
조절이 필요하지만,
비교적 짧은 시간 안에
밝은 치아색을 기대할 수 있습니다.
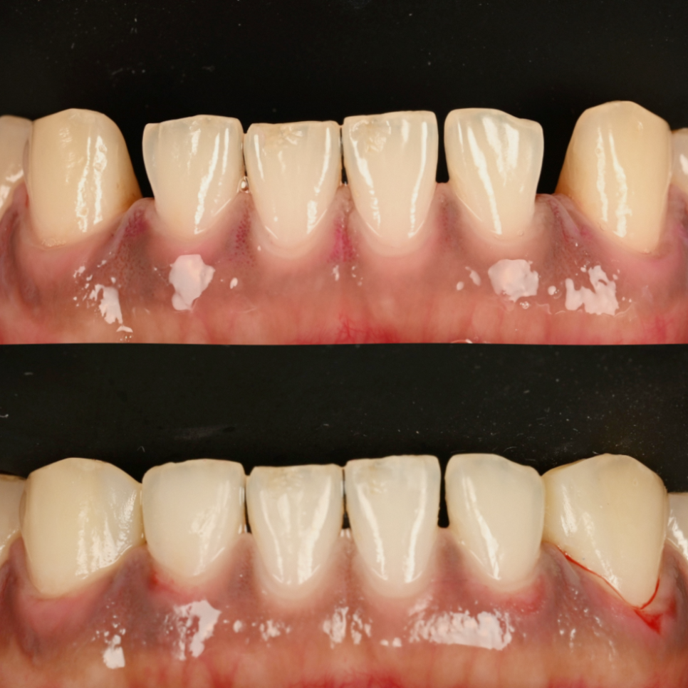
- 앞니 레진,
작은 결함을 빠르게 개선

20250725/20250730
앞니에 작은 칩이 생겼거나,
미세한 틈이 신경 쓰인다면
앞니 레진 치료를 고려해볼 수 있습니다.
치아와 유사한 색상의 재료로
손상된 부위를 자연스럽게 채우는 방식으로,
마치 흠집 난 도자기를
같은 색 보수재로 복원하는 것과 비슷합니다.
비교적 간단한 과정으로
마무리되는 경우가 많아
1회 내원으로 처치가 끝나기도 합니다.
주의할 점은?
레진 재료의 특성상 시간이 지나면서
변색이나 마모가 생길 수 있으며,
정기적인 관리와 점검이 필요합니다.
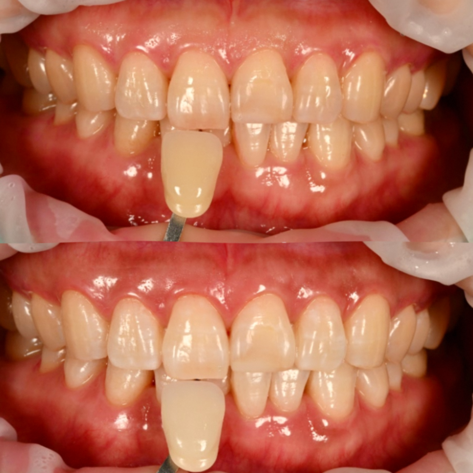
- 라미네이트,
색과 형태를 함께 바꾸고 싶다면
치아 앞면을 얇게 삭제한 뒤
도재 재료를 부착하는 심미치료입니다.

손톱에 네일 팁을 올리듯
치아 앞면에 얇은 판을 덧대는 원리로,
치아 색과 모양, 약간의 배열 문제까지
한 번에 개선할 수 있습니다.
주의할 점은?
치아 삭제가 동반되고
제작 과정이 포함되어
내원 횟수가 필요합니다.

20251011
상태에 따라 적합한 방법이 다르므로
사전 상담이 꼭 필요한 치료입니다.
- 심미치료 관련
자주 묻는 질문 (FAQ)
Q1. 치아미백 후
음식 조절을 꼭 해야 되나요?
A. 치아미백 직후에는 치아 표면의
미세 공극이 일시적으로 열려 있어
착색 물질이 더 잘 흡수될 수 있습니다.
시술 후 약 2~3일간은
커피, 홍차, 카레, 와인 등
착색이 강한 음식과 음료를
피하시는 것이 좋습니다.
Q2. 앞니 레진은
얼마나 오래 유지되나요?
A. 관리 상태와 사용 습관에 따라 다르지만
일반적으로 3~5년 정도 유지됩니다.
딱딱한 음식을 자주 씹거나
이를 가는 습관이 있다면
수명이 단축될 수 있습니다.
정기 검진을 통해 상태를 확인하고
필요 시 보수하는 것이 중요합니다.
Q3. 라미네이트는
누구나 받을 수 있나요?
A. 치아 상태에 따라 적합 여부가
달라질 수 있습니다.
충치가 심하거나 잇몸 상태가
좋지 않은 경우에는
선행 치료가 필요할 수 있습니다.
또한 이갈이나 이 악물기 습관이 있는 경우
라미네이트가 손상될 가능성이 있어
구강 상태를 먼저 점검하는 것이 중요합니다.
심미치료는 같은 방법이라도
치아 상태에 따라 결과가 달라집니다.
색이 고민이라면 치아미백,
형태나 작은 결함이 문제라면 레진,
색과 형태를 함께 바꾸고 싶다면 라미네이트가
선택지가 될 수 있습니다.
어떤 심미치료가 본인에게 맞는지는
정확한 검진을 통해 확인하는 것이 먼저입니다.
사진 찍히는 일이 많아지는 봄이 오기 전,
한 번 살펴보시길 권해드립니다.
지금까지 강서구 마곡 치과 였습니다.
긴 글 읽어주셔서 감사합니다.
