안녕하세요 마곡 치과 입니다.
따뜻해진 날씨에 야외 활동이 늘면서
자전거, 등산, 스포츠를 즐기는 분들이 많아졌습니다.
이에 따라서 예상치 못한 외상으로
치아의 손상되는 경우도 늘어나는 시기입니다.
가볍게 부딪히거나 넘어지는 상황만으로도
앞니가 깨지거나 금이 가는 일이 생길 수 있는 만큼
전치부는 충격을 직접 받기 쉬운 부위입니다.
이처럼 갑작스러운 사고로 파절이 생기기도 하지만,
일상 속 습관이나 식습관이 원인이 되어
발생하는 경우도 적지 않습니다.
특히 딱딱한 음식을 즐겨 드시는 분들은
순간적인 부담이 반복적으로 전달되기 때문에
더욱 주의가 필요한 문제입니다.
그런데 막상 앞니가 깨지고 나면
어떤 치료를 받아야 되는지
환자 입장에서는 알 수가 없습니다.
오늘은 손상 범위에 따른
레진, 라미네이트를 중점으로
여러분께 소개해 드리려 합니다.
목차
-
겉보기보다 중요한 파절의 깊이
-
레진으로 가능한 경우
-
라미네이트가 필요한 경우
-
자주 묻는 질문(Q&A)
-
겉보기보다 중요한 파절의 깊이

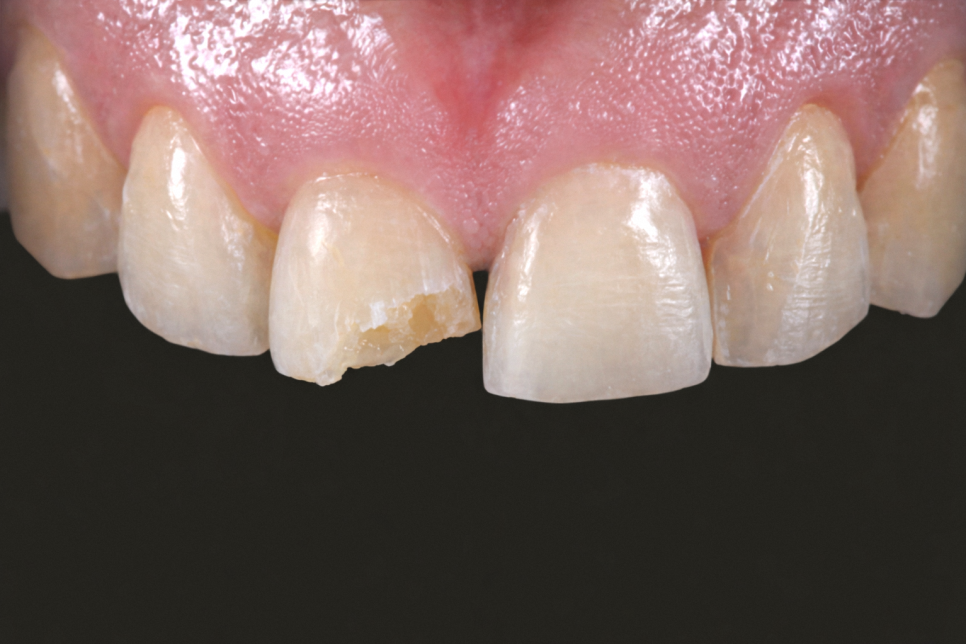
겉으로 보기엔 비슷한 파절도
진단해 보면 깊이가 다른 경우가 많습니다.
그러나 어느 층까지 깨졌느냐에 따라서
지금 느끼는 증상도 필요한 치료도 다릅니다.
따라서 겉으로 보이는 모습만 보고
가볍게 상태를 판단해서는 안 됩니다.
처음에는 단순히 끝부분만 떨어져 나가도,
실제로는 미세한 균열이 깊어질 수 있습니다.
특히 마곡 치과 에서 흔히 보는 케이스들이
통증이 크게 느껴지지 않아
시간을 두고 지켜보는 분들이 있습니다.

하지만 이 시간이 길어질수록
단순 수복으로 끝날 상황이
신경치료로 이어지는 경우가 생깁니다.
따라서 앞니 파절은 증상 여부보다는,
가능한 진단을 받아 보시는 것을 권장합니다.
- 레진으로 가능한 경우
파절이 법랑질에서 그친 경우에는
레진 수복을 먼저 검토할 수 있습니다.
자연치를 거의 삭제하지 않으면서도
손상 부위를 직접 채워주는 방식으로
남은 건전 치질을 보존할 수 있습니다.
색상과 투명도를 자연 치아에 맞춰
다층으로 쌓아 올리면 파절 전과
큰 차이 없이 회복할 수 있습니다.

보통 당일에도 마무리가 가능한 경우가 많아,
빠르게 외관을 회복할 수 있습니다.
다만 마곡 치과 에서 강조 드리는 것은
레진 치료가 모든 앞니 파절에
적합한 방법은 아닙니다.
재료 특성상 깨진 범위가 넓다면
장기적인 유지 측면에서 한계가 있습니다.
이런 상황에서는 단순히 메우는 것이 아니라,
보다 넓은 범위를 감싸주어야 됩니다.
- 라미네이트가 필요한 경우
손상 범위가 더 넓거나
심미성의 중요도가 높은 분에게는
라미네이트를 권유 드립니다.

자연치 겉면을 얇게 다듬은 뒤
얇은 세라믹 재료를 덧붙이는 방법입니다.
앞니는 작은 차이만 있어도 부각되기 때문에,
라미네이트의 얇고 정밀한 마감이
심미적인 완성도를 높이는 데 유리합니다.

강도와 변색 가능성도 적기 때문에
장기적으로 외형을 유지할 수 있습니다.
다만 라미네이트는 치아 표면을 삭제하는
비가역적인 처치가 동반됩니다.
한번 삭제되면 되돌릴 수 없기 때문에
파절 범위와 교합, 남은 법랑질의 양을
충분히 확인 후 결정하는 것이 좋습니다.
레진으로 충분히 유지력을 기대할수 있다면
굳이 라미네이트를 선택할 필요는 없습니다.
따라서 마곡 치과 에서 강조드리는 것은
정확한 진단에 따른 적합한 치료를 받는 것입니다.
- 자주 묻는 질문(Q&A)
Q. 치료 후 음식을
바로 먹어도 되나요?
치료 직후 단단하거나 끈적이는 음식은
가급적 피하시는 것이 좋습니다.
수복물이 안정되기까지
며칠간은 파절 부위에 하중이
가해지지 않도록 주의해야 됩니다.
Q. 앞니 파절이 자주 일어나요.
이는 단순 외상이 아니라
교합 문제나 이갈이, 이 악물기 등
구강 악습관이 원인일 수 있습니다.
이런 경우 원인 파악에 따른 치료가 병행되어야
재발 가능성을 막을 수 있습니다.
Q. 아이도 레진이나
라미네이트를 받을 수 있나요?
유치와 영구치 여부에 따라
치료 방향이 달라집니다.
유치라면 교환 시기와 남은 기간을 고려해
처치 방법을 결정해야 됩니다.
영구치가 깨진 경우에는
마곡 치과 에서 설명한 것과 같이,
손상 부위를 개선할 수 있지만,
내원 후 정확한 진단에 따라서
진료 방향은 달라질 수 있습니다.
오늘도 긴 글 읽어주셔서 감사합니다.
마곡 치과 였습니다.