아카이브 요약
이 페이지의 역할
에브리치과의원의 네이버 블로그 원문을 보존한 아카이브 페이지입니다. 치아 교정 카테고리의 앞니 살짝 틀어짐, 발산동 치과 부분 교정 하고 싶은 분?! 글을 통해 병원의 한국어 정보 제공 방식과 진료 관련 안내 톤을 확인할 수 있습니다.
원문 검증
필요하면 원문 블로그와 병원 프로필로 바로 이동해 문맥을 다시 확인할 수 있습니다.
출처 아카이브 열기아카이브된 블로그 글
에브리치과의원 · 에브리치과의원
안녕하세요, 발산동 치과 에서 교정과전문의와 협진하고 있는 통합치의학전문의 이수경입니다. 소개팅이나 면접 같은 중요한 자리에서 사람 인상을 결정하는데 걸리는 시간은 단 3초에 불과하다 알려져 있습니다. 좋은 첫인상을 심어주기 위해서 미용실에 가서 머리도 하고, 메이크업도 이쁘게 받는 것인데 우리가 잊고 있는 것이 하나...
게시일
2025년 12월 17일
원문 기준으로 확인된 발행일입니다.
카테고리
치아 교정
원문 블로그 카테고리를 정리해 함께 표시합니다.
이미지 수
7
현재 아카이브에 연결된 이미지 수입니다.
아카이브 요약
에브리치과의원의 네이버 블로그 원문을 보존한 아카이브 페이지입니다. 치아 교정 카테고리의 앞니 살짝 틀어짐, 발산동 치과 부분 교정 하고 싶은 분?! 글을 통해 병원의 한국어 정보 제공 방식과 진료 관련 안내 톤을 확인할 수 있습니다.
원문 검증
필요하면 원문 블로그와 병원 프로필로 바로 이동해 문맥을 다시 확인할 수 있습니다.
출처 아카이브 열기안녕하세요, 발산동 치과 에서 교정과전문의와 협진하고 있는
통합치의학전문의 이수경입니다.

소개팅이나 면접 같은 중요한 자리에서
사람 인상을 결정하는데 걸리는 시간은
단 3초에 불과하다 알려져 있습니다.
좋은 첫인상을 심어주기 위해서
미용실에 가서 머리도 하고,
메이크업도 이쁘게 받는 것인데
우리가 잊고 있는 것이 하나 있죠.
바로 "치아"
생각보다 살짝 틀어진 앞니, 혹은 이 사이 틈,
변색되어 누렇게 보이는 부분 등
구강과 관련된 요소들이
심미를 저하시키는 원인이 되곤 합니다.
그래서 최근 원데이 미백이나 교정 등
많은 관심을 받기 시작했습니다.
심미를 증진시키기 위한 치료.
꼭 필요하다면 받으셔야 되지만,
"진료"는 꼭 000 00하에 진행되어야 됩니다.
발산동 치과 구강 정보
000 00은 무엇일까?
정확한 진단
사람마다 갖고 있는 구강 환경도 다르고
문제점도 다릅니다.
그래서 획일화된 솔루션이 제공되었을 때
결과가 모두 달라질 수밖에 없겠죠.
옷도 기성 제품보다는 수제로 만들어진 게 더 딱 맞듯
치료도 개인에 따라 커스텀 되어야 됩니다.
그렇기 때문에 심미적인 요소를 증진시키기 위해서
너도 나도 하는 치료가 아니라,
내 구강 상태를 정확히 들여다보고
이에 맞춘 치료가 수행되어야 된답니다.
발산동 치과 구강 정보
앞니 살짝 틀어짐
치아 교정은 교합이 맞지 않아 받으시는 분도 있으나
앞니가 살짝 틀어지거나 사이 틈이 생겨나
심미적인 문제로 이어졌을 때도 시행할 수 있습니다.
치열이 살짝 틀어져 있거나
이 사이 틈이 생겨나 정중이개가 생겼을 때,
교합에 큰 영향을 주지 않을 수도 있으나
환자에겐 콤플렉스가 되어 자신감 결여나
대인관계 문제가 될 수 있습니다.
그래서 이런 경우에는 치열을 가지런히 하고,
이 사이 틈을 긴밀하게 모으기 위해서
[앞니 부분 교정]을 시행해 볼 수 있습니다.
그런데 만약 치열이 다소 심하게 틀어져
교합 자체에 문제가 있거나
어금니도 일부 틀어져 부정 교합 양상을
보이는 케이스에선 부적합하죠.
집에 비유하면,
이해가 빠르실듯합니다.
완성도만 두고 봤을 때는
전체 교정을 택하는 편에 더 좋습니다.
앞니부터 어금니까지 이상적인 교합을
재건할 수 있기 때문이죠.
그래서 마치 건물을 새로 다시 짓는 것과
비슷하다 볼 수 있습니다.

반면 부분적으로 진행할 경우에는 앞니에 한정되어
교합을 재건할 수 있습니다.
그래서 이상적인 교합을 만들긴 어려워도
불편을 자아내던 문제는 해소할 수 있죠.
마치 리모델링 하는 것과 비슷하다 할 수 있습니다.
내부까지 문제를 말끔히 해소하긴 어려워도
눈에 보이는 인테리어는 가능하기 때문이죠.
집과 마찬가지로 이 둘은 각자 서로 다른 이점을 갖고 있습니다.
완성도 측면에서는 전체적인 개선이 좋을지 몰라도
장치의 개수나 기간, 가격적인 측면에서는
부분적으로 개선하는 편이 더욱 합리적입니다.
서로 가진 장단점이 다르기에 어떤 방법을 사용했을 때
더 유리한 결과를 만들 수 있는지 꼼꼼히 따지고 비교해 봐야 됩니다.
그렇다면 각각 어떤 케이스에서
빛을 발하는지 발산동 치과 에서
예시 자료를 준비해 봤습니다.
발산동 치과 구강 정보
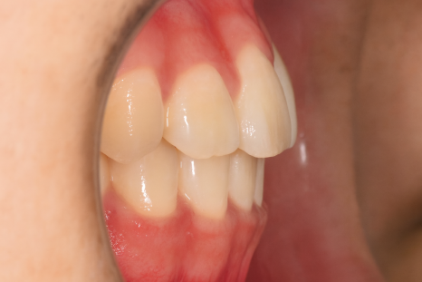
전치부만 진료해도 되는 케이스

발산동 치과 사진처럼 전치부만 틀어져 있으며,
어금니에 임플란트가 있어 치아 이동이
쉽지 않은 경우에 적용해 볼 수 있습니다.

제가 보여드린 예시 케이스처럼 아래 치열에만
문제가 있는 경우 하악 전치부만 장치를 부착하여
치아 틀어짐을 해소해 볼 수 있습니다.
발산동 치과 구강 정보
전체 치료가 필요한 케이스


반면 돌출감이 심하게 느껴져 전체 치열을
후방으로 이동하는 과정이 필요한 경우,
혹은 어금니와 앞니 둘 다 잘 맞물리지 못하거나
거꾸로 물리고 있는 케이스에서는

전체 교정을 통한 개선이 필요합니다.
이제 어떤 상황에서 필요한지
어느 정도 이해가 되셨나요?
어떤 치료가 더욱 적합한지,
더 유리한 결과를 만드는 방법은 무엇인지는
앞서 설명드린 것처럼 정확한 진단 하에
알 수 있습니다.
그렇기 때문에 관련된 고민이 있다면,
꼭 전문의와 상담받아본 후
내게 알맞은 치료를 택하시기 바랍니다.
지금까지 이수경이었습니다,