아카이브 요약
이 페이지의 역할
에브리치과의원의 네이버 블로그 원문을 보존한 아카이브 페이지입니다. 임플란트 카테고리의 강서 치과 발치 즉시 임플란트, 나도 할 수 있을까? 가능한 조건과 장점 글을 통해 병원의 한국어 정보 제공 방식과 진료 관련 안내 톤을 확인할 수 있습니다.
원문 검증
필요하면 원문 블로그와 병원 프로필로 바로 이동해 문맥을 다시 확인할 수 있습니다.
출처 아카이브 열기아카이브된 블로그 글
에브리치과의원 · 에브리치과의원
안녕하세요, 강서 치과 통합치의학 전문의 이수경입니다. 더 이상 치아를 보존하기 어려울 때 브릿지, 틀니, 임플란트와 같은 보철적 접근을 진행하게 됩니다. 환자분들의 입장에서는 기능은 물론 심미적인 모습과 장기적인 안정성까지 충분히 나와줘야 되기 때문에 자연치와 기능, 심미적으로 가장 유사한 임플란트를 선택하시...
게시일
2026년 2월 21일
원문 기준으로 확인된 발행일입니다.
카테고리
임플란트
원문 블로그 카테고리를 정리해 함께 표시합니다.
이미지 수
6
현재 아카이브에 연결된 이미지 수입니다.
아카이브 요약
에브리치과의원의 네이버 블로그 원문을 보존한 아카이브 페이지입니다. 임플란트 카테고리의 강서 치과 발치 즉시 임플란트, 나도 할 수 있을까? 가능한 조건과 장점 글을 통해 병원의 한국어 정보 제공 방식과 진료 관련 안내 톤을 확인할 수 있습니다.
원문 검증
필요하면 원문 블로그와 병원 프로필로 바로 이동해 문맥을 다시 확인할 수 있습니다.
출처 아카이브 열기안녕하세요, 강서 치과
통합치의학 전문의 이수경입니다.
더 이상 치아를 보존하기 어려울 때
브릿지, 틀니, 임플란트와 같은
보철적 접근을 진행하게 됩니다.
환자분들의 입장에서는
기능은 물론 심미적인 모습과
장기적인 안정성까지 충분히
나와줘야 되기 때문에
자연치와 기능, 심미적으로 가장 유사한
임플란트를 선택하시곤 합니다.
하지만, 개수, 위치, 현재 나의 문제 등에 따라
최종 완성까지의 기간이 오래 걸리는
치료 중 하나입니다.
발치 후 바로 심을 순 없나요?
라고 질문을 하시곤 하는데,
결론부터 말씀드리면 가능합니다.
다만, 여러 가지 조건이 맞았을 때
가능한 방법이기 때문에
오늘은 발치 즉시 임플란트가 가능한 기준과
장점, 주의 사항 등을 설명해 드리겠습니다.
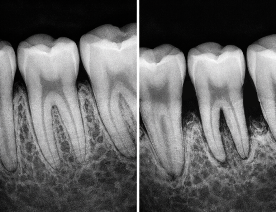
강서 치과 구강 정보
내 잇몸 상태가 아래 4가지
핵심 기준에 부합하는지
먼저 확인해 보시길 바랍니다.
가장 중요한 것은
임플란트를 단단하게 고정해 줄
'기초 공사'입니다.

골량: 임플란트 나사가 들어갔을 때
사방을 튼튼하게 감싸줄
뼈의 양이 충분해야 됩니다.
골밀도: 뼈가 너무 무르지 않고 단단해야
식립 즉시 강한 고정력을 얻을 수 있습니다.
만약 뼈가 부족하다면
즉시 식립과 동시에 뼈 이식을
병행하기도 합니다.
치아 뿌리 끝에 심한 고름 주머니가 있거나,
잇몸 전체가 붓고 피나는 급성 치주염 상태라면
즉시 식립이 어렵습니다.
염증이 심한 상태에서 무리하게 심으면
뼈와 붙지 못하고 탈락할 위험이 큽니다.

임플란트가 식립 직후 흔들리지 않고
안정적으로 고정될 수 있어야 됩니다.
초기 고정력이 충분해야
보철물을 올리기 전까지
임플란트가 흔들리지 않습니다.
당뇨, 골다공증, 면역력 저하 등
일부 질환이 있으면 즉시 임플란트가
제한될 수 있습니다.
필요시 내과 전문의와 협진 후
안전하게 진행합니다.
강서 치과 구강 정보
'즉시 식립'이 주는 확실한 장점
발치 즉시 임플란트는
치료 시간을 단축하고 잇몸과 뼈 모양을
최대한 자연스럽게 유지할 수 있다는
장점이 있습니다.
특히 앞니처럼
심미가 중요한 부위에서 발치 후
잇몸이 내려가거나 뼈가 흡수되는 것을
예방할 수 있어 만족도가 높습니다.

하지만 빠르다고 무조건 좋은 것은 아닙니다.
뼈 상태, 잇몸 건강, 초기 고정력, 전신 건강 등
여러 조건이 맞아야 진행할 수 있습니다.
조건이 충족되지 않으면,
조금 기다린 후 심는 것이
장기적으로 더 안정적일 수 있습니다.
즉, 발치 즉시 임플란트는
빠른 치료와 심미적 장점이 있지만,
자신에게 맞는 시기와 방법을
전문의와 충분히 상담하는 것이
가장 중요합니다.
강서 치과 구강 정보
꼭 지켜야 될 수술 후 관리법
발치 즉시 임플란트는 시술 직후
임플란트와 뼈가 단단히 결합하는
'골유착' 과정이 중요합니다.

이 시기에는 식립된 임플란트가
미세하게라도 흔들리지 않도록
수술 부위로 딱딱하거나 질긴 음식을
씹는 자극을 반드시 피해야 됩니다.
작은 충격이 반복되면
뼈가 제대로 붙지 못해
임플란트가 실패할 수 있기 때문입니다.

또한, 회복을 방해하는
가장 큰 적인 흡연과 음주는
최소 2주 이상 멀리해야 됩니다.
특히 담배의 니코틴은 혈관을 수축시켜
잇몸의 혈액 순환을 방해하고
염증을 유발하는 주범입니다.
수술이 잘 끝났더라도
잇몸 속에서 뼈가 차오르는 동안은
정기검진을 꼭 받으셔야 됩니다.
이 시기의 세심한 관리가
임플란트의 평생 수명을 결정짓습니다.
강서 치과 구강 정보
정밀 진단이 우선입니다
결국 발치 즉시 임플란트의 핵심은
'속도'보다 내 상태에 맞는
'정확한 판단'에 있습니다.
아무리 좋은 치료법이라도
개인의 잇몸뼈 상태나 전신 건강에 따라
최적의 시기는 달라질 수밖에 없기 때문입니다.
따라서 무조건 당일 시술을 고집하기보다는,
풍부한 임상 경험을 가진 의료진과 상담하여
내 치아를 가장 오랫동안
튼튼하게 유지할 수 있는
계획을 세우는 것이 중요합니다.
오늘 전해드린 소식이
임플란트를 고민 중이신 분들께
조금이나마 도움이 되었길 바랍니다.
현재 치아 손상으로 고민 중이시라면
3D CT 등 디지털 장비를 갖춘 치과를 찾아
나의 정확한 잇몸 상태부터
체크해 보시길 권장합니다.
지금까지 통합치의학 전문의
강서 치과 이수경이었습니다.
감사합니다.
