-소시지눈 고치기 과정-
옛날 방식인 스타틱 절개법을 할 경우, 보통은 일명 소시지눈이 되기 쉽다.
소시지눈의 특징은
라인의 크기가 두꺼우며 흉터가 깊이 패였고 눈이 약간 게슴치레 하게
떠지는 모습이 일반적이다.
또한 아침에 일어났을 때 또 슬픈 영화나 드라마를 보고
눈물이라도 흘린다면
그때마다 눈의 붓기가 상당하여 생활할때 여간 불편한게 아니다.
이런 불편한 점 들 때문에 많은 분들이 재수술을 선택하게 된다.
소시지눈은 고치기 어려운 눈이 아니다.
그전에 있었던 스타틱 절개법에서 벗어나 다이나믹 절개법으로 충분히 개선할 수 있는 눈이다.
[소시지가 있고 수술한 티가 나서 어색하며, 짝짝이 눈이 된 경우이다.]
![-소시지눈 고치기 과정- [안병준의 눈이야기] 관련 이미지 1](https://pub-9f2bb3498faf4d1d8714b41df24753e3.r2.dev/content/clinics/archive/8mx1evuht6/naver_blog/eyestory8538/assets/by_hash/dfb8e648948dacb93dd29fa958f2e911ab8c00d0765e822475c905cbfc1e84ae.jpg)
[눈을 감으면 라인의 크기가 14mm이며, 라인 부위가 깊이 패여있어 흉터가 진하다.]
![-소시지눈 고치기 과정- [안병준의 눈이야기] 관련 이미지 2](https://pub-9f2bb3498faf4d1d8714b41df24753e3.r2.dev/content/clinics/archive/8mx1evuht6/naver_blog/eyestory8538/assets/by_hash/9d38f70f48fe538a7f51e2dbad9c44874339eef91ba0e234db8c383d8473867e.jpg)
[새로운 라인의 크기를 7mm로 정하고 기존의 라인까지 디자인 한다.]
![-소시지눈 고치기 과정- [안병준의 눈이야기] 관련 이미지 3](https://pub-9f2bb3498faf4d1d8714b41df24753e3.r2.dev/content/clinics/archive/8mx1evuht6/naver_blog/eyestory8538/assets/by_hash/0e478fab14f07fe783f19915002248b18cacadde13269ab4758b1170ef6cc83b.jpg)
[디자인 라인을 따라서 피부를 절제한다.]
![-소시지눈 고치기 과정- [안병준의 눈이야기] 관련 이미지 4](https://pub-9f2bb3498faf4d1d8714b41df24753e3.r2.dev/content/clinics/archive/8mx1evuht6/naver_blog/eyestory8538/assets/by_hash/340d77e35583de8283cf76d86a8fe2c3d3864ebf72197912ec8e2ac209d1f6fb.jpg)
[기존의 수술에서 형성된 유착으로 인하여 피부가 땡기는 모습이며]
이를 풀어줘야 눈을 편하게 뜰 수 있다.
![-소시지눈 고치기 과정- [안병준의 눈이야기] 관련 이미지 5](https://pub-9f2bb3498faf4d1d8714b41df24753e3.r2.dev/content/clinics/archive/8mx1evuht6/naver_blog/eyestory8538/assets/by_hash/b7ae162cec3c4743c9fb800e2270cfee7ce799d06fe5686092a62ddce8bf2666.jpg)
[눈뜨는 근육이 방해받지 않고 자유롭게 움직이게 만들어 준다.]
![-소시지눈 고치기 과정- [안병준의 눈이야기] 관련 이미지 6](https://pub-9f2bb3498faf4d1d8714b41df24753e3.r2.dev/content/clinics/archive/8mx1evuht6/naver_blog/eyestory8538/assets/by_hash/156a37bfd579c6b3352cf05a37e3e87c05da5a6d7d93bb18cca2e78c325feeaf.jpg)
[자유롭게 움직이는 눈뜨는 근육에 새로운 라인을 만들어 준다.]
![-소시지눈 고치기 과정- [안병준의 눈이야기] 관련 이미지 7](https://pub-9f2bb3498faf4d1d8714b41df24753e3.r2.dev/content/clinics/archive/8mx1evuht6/naver_blog/eyestory8538/assets/by_hash/009878b7d149228a7c320ed7d42013062b5061c9e3f04cea95236e6a6ed11030.jpg)
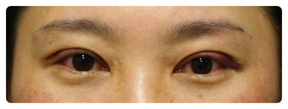
[수술 직후 눈뜬 모습]
![-소시지눈 고치기 과정- [안병준의 눈이야기] 관련 이미지 8](https://pub-9f2bb3498faf4d1d8714b41df24753e3.r2.dev/content/clinics/archive/8mx1evuht6/naver_blog/eyestory8538/assets/by_hash/6b6e9ddf10e69ff5b9eeef8bf09053c8eb0bce98db52b0afa0c9266ea45aacc7.jpg)
[수술직후 눈감은 모습]
![-소시지눈 고치기 과정- [안병준의 눈이야기] 관련 이미지 9](https://pub-9f2bb3498faf4d1d8714b41df24753e3.r2.dev/content/clinics/archive/8mx1evuht6/naver_blog/eyestory8538/assets/by_hash/526e66f298ab27cb5af471d5cbfd95655277fe82fc3b1b0d700ad4673bb10ae3.jpg)
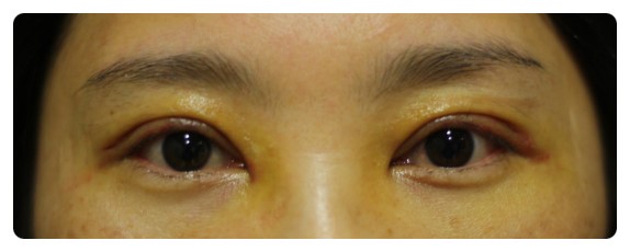
[5일째 실밥을 제거직후 눈뜬 모습]
![-소시지눈 고치기 과정- [안병준의 눈이야기] 관련 이미지 10](https://pub-9f2bb3498faf4d1d8714b41df24753e3.r2.dev/content/clinics/archive/8mx1evuht6/naver_blog/eyestory8538/assets/by_hash/ab2768f48920938c01dc439aa92887c28f8f62fa77e4002b0f835f0a2ab0160b.jpg)
[5일째 실밥 제거 직후 눈감은 모습]
![-소시지눈 고치기 과정- [안병준의 눈이야기] 관련 이미지 11](https://pub-9f2bb3498faf4d1d8714b41df24753e3.r2.dev/content/clinics/archive/8mx1evuht6/naver_blog/eyestory8538/assets/by_hash/8ad9d6ffd329a20810eed5ceaacd5ff69a182c7d3f6b0ebbce97270abd8e5e5d.jpg)
실밥제거 직후엔 실밥이 고정되어있던 부분들이나 절개 라인이 빨갛고 볼록볼록 부어 오르는
현상이 있다. 하지만 일시적인 현상이므로 하루 이틀 지나면 볼록볼록 한 붓기는 금방 가라앉고
라인이 훨씬 더 매끄럽고 깨끗해지기 때문에 이점들은 절대 걱정 안 해도 된다
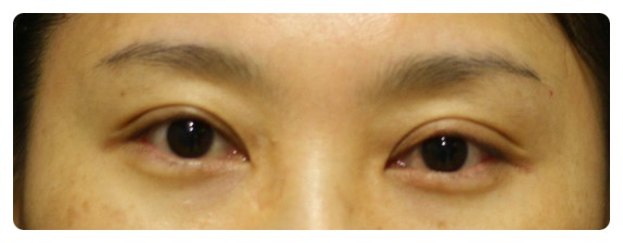
사진을 보면 알 수 있듯이 이제 기다리는 미학을 발휘하여 시간이 조금지나 붓기가 가라 앉으면
얼마나 좋은 결과를 볼 수 있을지 예상이 되지요?
소시지 눈은 고치기 절대 어렵지 않습니다. 재수술을 통하여 얼마던지 고칠 수 있는 눈입니다.
만약, 오래전 쌍꺼풀 수술로 인하여 일명 소시지 눈이 되어 맘고생을 하신다거나 생활함에 있어
불편한 분들이 계시다면 충분히 고칠 수 있으니 개선해 보심이 어떨런지요..
이상 소시지눈 고치기 과정이었습니다.
눈 성형의 지침서 - 안병준 원장
*안병준 성형외과
-
- 1104
-
- 1105
#자연스러운쌍꺼풀,#자연산쌍꺼풀,#자연쌍꺼풀,#자연스러운쌍꺼풀수술,#자연스럽게 쌍수하기,
#절개법,#부분절개,#부분절개법,#절개법잘하는곳,#절개법이란,#매몰법,#매몰법잘하는곳,#매몰법절개법,
#쌍꺼풀잘하는곳, #하안검성형술, #쌍꺼풀재수술잘하는곳, #눈매교정잘하는곳, #안검하수잘하는곳,
#가짜안검하수,#가성안검하수,#진짜안검하수,#진짜안검하수와가짜안검하수,#눈매교정없이안검하수고치기,
#쌍꺼풀재수술전문,#눈성형재수술전문,#쌍수흉터없애기,#쌍꺼풀흉터잘없애는곳,#쌍꺼풀재수술전문병원,
#안검성형술잘하는곳, #쌍꺼풀잘하는병원, #쌍꺼풀전문, #상안검성형술,
#소시지눈, #삼백안고치기, #남자쌍꺼풀수술,
#짝눈성형,#짝짝이눈,#짝짝이눈쌍수잘하는곳,#짝눈잘고치는곳,#짝짝이눈성형수술잘하는곳,
#짝눈성형잘하는곳,#처진눈꺼풀,#처진눈살제거,#처짐이많은눈,#눈꺼풀피부제거,#눈피부절제,
#짝짝이안검하수,#짝눈눈매교정,#짝눈눈매교정잘하는곳,#짝짝이눈눈매교정잘하는곳,
#쌍꺼풀재수술전문,#짝짝이눈 고치기,#짝눈잘고치는병원,#눈성형전문,#삼백안원인,#쌍꺼풀두겹라인,
#절개법,#절개법수술,#소세지눈고치기,#소시지눈잘고치는병원,#눈밑절개술,#눈밑절개술잘하는병원
#짝짝이눈 교정,#짝눈교정,#얼굴 좌우 비대칭,#얼굴비대칭,
#눈짝짝이교정,#눈짝짝이,#짝눈성형,#짝짝이눈성형,#속쌍꺼풀수술,
#속쌍꺼풀,#속쌍까풀,#속쌍꺼풀수술잘하는곳,
#상안검성형술,#상안검술,#상안검수술,#상안검,#상안검눈성형,#상안검눈수술,
#윗트임,#위트임,#앞트임,#앞트임복원,#자연스러운쌍꺼풀수술,
#앞트임 잘하는곳,#윗트임잘하는곳,#상안검술,#상안검술잘하는곳
#꺼진눈수술,#꺼진눈지방이식,#눈지방이식,#꺼진눈성형,#꺼진눈수술잘하는곳,#눈꺼풀지방이식,
#눈지방이식잘하는곳,#꺼진눈지방이식방법,#지방이식,#지방재배치,
#전형적인동양인눈,#동양인눈,#동양인눈성형,#동양인눈쌍수,
#동양인눈성형,#동양인눈쌍수,
#피부절제#눈피부제거,#피부제거,#동양인눈수술,#동양인눈쌍꺼풀,#동양인눈쌍꺼풀수술,
#동양인쌍꺼풀수술방법,#동양인쌍수,#몽고주름,#몽고주름없애기,#몽고주름수술,
#남자쌍꺼풀수술,#남자쌍수,#남자쌍꺼풀수술잘하는곳,#남자쌍꺼풀전문,#남자쌍꺼풀수술전문병원,