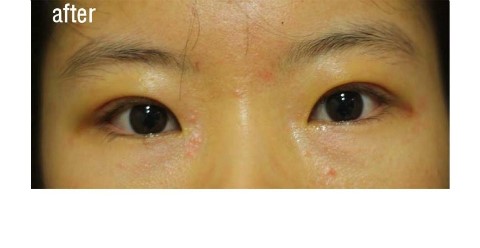
실밥 제거 직후 찍은 사진입니다.
![실밥 제거 후. [안병준의 눈이야기] 관련 이미지 1](https://pub-9f2bb3498faf4d1d8714b41df24753e3.r2.dev/content/clinics/archive/8mx1evuht6/naver_blog/eyestory8538/assets/by_hash/e11bb6e1122450705311131ea04c88ad13f150916ecb85ebcb312ccaf0804f91.jpg)
![실밥 제거 후. [안병준의 눈이야기] 관련 이미지 2](https://pub-9f2bb3498faf4d1d8714b41df24753e3.r2.dev/content/clinics/archive/8mx1evuht6/naver_blog/eyestory8538/assets/by_hash/e7f8e8821f553a211627066743d8bee92b5fa553e3ab4db4313f4aef92524295.jpg)
눈 성형의 지침서 - 안병준 원장
*안병준 성형외과
02. 552. 1104
-
- 1105
방배역 안병준성형외과 | 기술에 경험을 더하다 25년을 오직 눈 성형술에만 몰두했습니다. psahn.co.kr
#자연스러운쌍꺼풀,#자연산쌍꺼풀,#자연쌍꺼풀,#자연스러운쌍꺼풀수술,#자연스럽게 쌍수하기,
#절개법,#부분절개,#부분절개법,#절개법잘하는곳,#절개법이란,#매몰법,#매몰법잘하는곳,#매몰법절개법,
#쌍꺼풀잘하는곳, #하안검성형술, #쌍꺼풀재수술잘하는곳, #눈매교정잘하는곳, #안검하수잘하는곳,
#가짜안검하수,#가성안검하수,#진짜안검하수,#진짜안검하수와가짜안검하수,#눈매교정없이안검하수고치기,
#쌍꺼풀재수술전문,#눈성형재수술전문,#쌍수흉터없애기,#쌍꺼풀흉터잘없애는곳,#쌍꺼풀재수술전문병원,
#안검성형술잘하는곳, #쌍꺼풀잘하는병원, #쌍꺼풀전문, #상안검성형술,
#소시지눈, #삼백안고치기, #남자쌍꺼풀수술,
#짝눈성형,#짝짝이눈,#짝짝이눈쌍수잘하는곳,#짝눈잘고치는곳,#짝짝이눈성형수술잘하는곳,
#짝눈성형잘하는곳,#처진눈꺼풀,#처진눈살제거,#처짐이많은눈,#눈꺼풀피부제거,#눈피부절제,
#짝짝이안검하수,#짝눈눈매교정,#짝눈눈매교정잘하는곳,#짝짝이눈눈매교정잘하는곳,
#쌍꺼풀재수술전문,#짝짝이눈 고치기,#짝눈잘고치는병원,#눈성형전문,#삼백안원인,#쌍꺼풀두겹라인,
#절개법,#절개법수술,#소세지눈고치기,#소시지눈잘고치는병원,#눈밑절개술,#눈밑절개술잘하는병원
#짝짝이눈 교정,#짝눈교정,#얼굴 좌우 비대칭,#얼굴비대칭,
#눈짝짝이교정,#눈짝짝이,#짝눈성형,#짝짝이눈성형,#속쌍꺼풀수술,
#속쌍꺼풀,#속쌍까풀,#속쌍꺼풀수술잘하는곳,
#상안검성형술,#상안검술,#상안검수술,#상안검,#상안검눈성형,#상안검눈수술,
#윗트임,#위트임,#앞트임,#앞트임복원,#자연스러운쌍꺼풀수술,
#앞트임 잘하는곳,#윗트임잘하는곳,#상안검술,#상안검술잘하는곳
#꺼진눈수술,#꺼진눈지방이식,#눈지방이식,#꺼진눈성형,#꺼진눈수술잘하는곳,#눈꺼풀지방이식,
#눈지방이식잘하는곳,#꺼진눈지방이식방법,#지방이식,#지방재배치,
#전형적인동양인눈,#동양인눈,#동양인눈성형,#동양인눈쌍수,
#동양인눈성형,#동양인눈쌍수,
#피부절제#눈피부제거,#피부제거,#동양인눈수술,#동양인눈쌍꺼풀,#동양인눈쌍꺼풀수술,
#동양인쌍꺼풀수술방법,#동양인쌍수,#몽고주름,#몽고주름없애기,#몽고주름수술,
#남자쌍꺼풀수술,#남자쌍수,#남자쌍꺼풀수술잘하는곳,#남자쌍꺼풀전문,#남자쌍꺼풀수술전문병원,