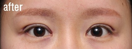
-흉터와 라인 줄이기-
5년전 절개로 수술후 크고 어색한 쌍꺼풀이 고민이신 분 입니다.
본인은 흉터와 라인을 줄이고, 수술티가 안났으면 하셨습니다.
안검하수에 대해 문의를 해오셨지만, 이런 경우는 라인만 낮추면 눈은 더 떠지는 경우라 설명드렸습니다.
대부분 안검하수라며 눈매교정을 권유받는 경우가 대다수지만 이런 경우는 큰라인이 문제이기 때문에
라인만 낮춰줘도 눈은 더 반듯하게 떠지는 법이지요..^^;
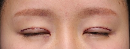
사진은 수술직후 수술방에서 바로 찍은 사진입니다.



눈 성형의 지침서 - 안병준 원장
*안병준 성형외과
02. 552. 1104
-
- 1105
방배역 안병준성형외과 | 기술에 경험을 더하다 25년을 오직 눈 성형술에만 몰두했습니다. psahn.co.kr
#자연스러운쌍꺼풀,#자연산쌍꺼풀,#자연쌍꺼풀,#자연스러운쌍꺼풀수술,#자연스럽게 쌍수하기, #절개법,#부분절개,#부분절개법,#절개법잘하는곳,#절개법이란,#매몰법,#매몰법잘하는곳,#매몰법절개법, #쌍꺼풀잘하는곳, #하안검성형술, #쌍꺼풀재수술잘하는곳, #눈매교정잘하는곳, #안검하수잘하는곳, #가짜안검하수,#가성안검하수,#진짜안검하수,#진짜안검하수와가짜안검하수,#눈매교정없이안검하수고치기, #쌍꺼풀재수술전문,#눈성형재수술전문,#쌍수흉터없애기,#쌍꺼풀흉터잘없애는곳,#쌍꺼풀재수술전문병원, #안검성형술잘하는곳, #쌍꺼풀잘하는병원, #쌍꺼풀전문, #상안검성형술, #소시지눈, #삼백안고치기, #남자쌍꺼풀수술, #짝눈성형,#짝짝이눈,#짝짝이눈쌍수잘하는곳,#짝눈잘고치는곳,#짝짝이눈성형수술잘하는곳, #짝눈성형잘하는곳,#처진눈꺼풀,#처진눈살제거,#처짐이많은눈,#눈꺼풀피부제거,#눈피부절제, #짝짝이안검하수,#짝눈눈매교정,#짝눈눈매교정잘하는곳,#짝짝이눈눈매교정잘하는곳, #쌍꺼풀재수술전문,#짝짝이눈 고치기,#짝눈잘고치는병원,#눈성형전문,#삼백안원인,#쌍꺼풀두겹라인, #절개법,#절개법수술,#소세지눈고치기,#소시지눈잘고치는병원,#눈밑절개술,#눈밑절개술잘하는병원 #짝짝이눈 교정,#짝눈교정,#얼굴 좌우 비대칭,#얼굴비대칭, #눈짝짝이교정,#눈짝짝이,#짝눈성형,#짝짝이눈성형,#속쌍꺼풀수술, #속쌍꺼풀,#속쌍까풀,#속쌍꺼풀수술잘하는곳, #상안검성형술,#상안검술,#상안검수술,#상안검,#상안검눈성형,#상안검눈수술, #윗트임,#위트임,#앞트임,#앞트임복원,#자연스러운쌍꺼풀수술, #앞트임 잘하는곳,#윗트임잘하는곳,#상안검술,#상안검술잘하는곳 #꺼진눈수술,#꺼진눈지방이식,#눈지방이식,#꺼진눈성형,#꺼진눈수술잘하는곳,#눈꺼풀지방이식, #눈지방이식잘하는곳,#꺼진눈지방이식방법,#지방이식,#지방재배치, #전형적인동양인눈,#동양인눈,#동양인눈성형,#동양인눈쌍수, #동양인눈성형,#동양인눈쌍수, #피부절제#눈피부제거,#피부제거,#동양인눈수술,#동양인눈쌍꺼풀,#동양인눈쌍꺼풀수술, #동양인쌍꺼풀수술방법,#동양인쌍수,#몽고주름,#몽고주름없애기,#몽고주름수술, #남자쌍꺼풀수술,#남자쌍수,#남자쌍꺼풀수술잘하는곳,#남자쌍꺼풀전문,#남자쌍꺼풀수술전문병원,