많은 분들이 안검하수가 아닌데도 안검하수 라는 진단을 받고 쌍꺼풀 수술 시
필요하지 않은 눈매교정술을 받는 사례가 참 많이 있습니다.
또는, 안검하수가 있다며 눈매교정을 병행한다고 하여 많은 추가비용을 들여 눈매교정을 받았다고는 하나
사실 눈매교정은 처음부터 필요하지 않았을 뿐더러 눈매교정도 이루지지 않고
의사분의 말만 믿고 자신이 눈매교정을 받은 줄 알고 부당한 수술비용을 지불하는 사례도 빈번히 이루어지고 있습니다.
이때문에 비싼 수술비용을 지불하는 부당함을 받는 분들 또한
불필요한 눈매교정을 받아 눈이 과하게 떠져 고민이신 분들을 위해
눈성형 지식in 란에 올려놨던 내용을 다시한번 알려드리고자 합니다.
많은 도움되시길 바랍니다.
[가짜 안검하수 와 진짜 안검하수]
정상인의 눈은 윗눈꺼풀이 검은 눈동자를 1-2mm 덮여있고 이를 정상이라 말하며, 2mm이상
덮여있는 경우를 안검하수라 한다. 이는 선천적이나 후천적으로 눈뜨는 근육이 약해 일어난다.
그럼 진짜 안검하수와 가짜 안검하수는 무엇일까?
방배역 안병준성형외과 | 기술에 경험을 더하다 25년을 오직 눈 성형술에만 몰두했습니다. psahn.co.kr
위에서 말한 눈꺼풀이 검은 눈동자를 2mm이상 덮은 경우를 진짜 안검하수라하고 통상 안검하수라 하며,
2mm를 덮은 경우를 경미한 안검하수, 2-3mm를 덮은 경우를 중증도 안검하수,
4mm이상을 덮은 경우를 심한 안검하수라 하며 각각의 경우에따라 수술의 방법이나 강도가 달라진다.

그럼 가짜 안검하수는 무엇일까?
가장 흔한 경우가 50대 이상의 사람들을 보면 이마에 주름이 대부분 있는데 이는 나이가 들면서 눈꺼풀 피부의 처짐이 눈동자를 덮어 눈썹이나 이마근육을 써 주름이 지게된다. 이때 처진 피부를 손으로 올려보면 윗눈꺼풀이 2mm 이하로 덮여있는 경우가 많다.
이를 가짜 안검하수라 한다.
동양인들은 서양인들과 달리 피부의 처짐이 많아 20대 여성에서도 눈 뜰때 눈썹과 이마근육을 쓰는 경우가 많으며
안검하수를 이해하지 못하는 일반인들은 본인 스스로 내가 안검하수라고 단정지어버린다.

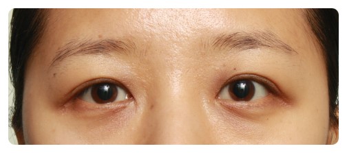
[피부가 처져 마치 안검하수처럼 보이는 가짜 안검하수인 경우 수술전]
상담을 하다보면 상담다닌 병원마다 안검하수에대한 의견이 달라 헤갈려하는 환자들이 많다. 눈을 뜰 때 눈썹이나 이마 근육을 쓴다고 다 안검하수는 아니고, 한손으로 눈썹의 사용을 억제하고 스틱으로 쌍꺼풀 라인을 만들었을 때 느낌이나 2mm 이하로 덮여있다면 이는 가짜 안검하수이다. 이런 가짜 안검하수는 쌍꺼풀 수술만으로 해결될 수 있다. 하지만 2mm 이하로 덮여있는 경우라도 보다 또렷하고 시원한 눈을 갖고자하는 경우에는 안검하수 수술법을 이용해 수술할 수는 있다.

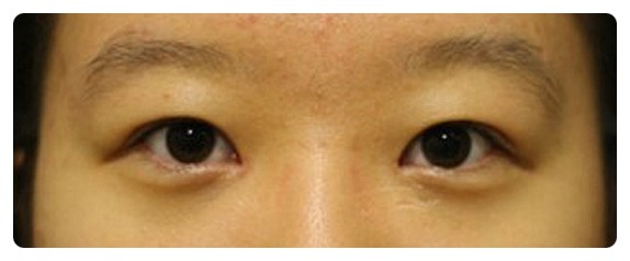
[충분한 피부를 제거하여 쌍꺼풀 수술로만 가짜 안검하수 교정 수술후 1달반]
안검하수에 대한 정의와 분류는 서양인의 눈 구조에 맞게 만들어졌다.
동양인들은 안검하수는 아니지만 졸려보이는 눈이 의외로 많으며, 이는 쌍꺼풀 수술만으로도 해결되는 경우가 많아
눈을 뜰 때 눈썹이 움직이는것만으로 다 안검하수는 아니며 정확한 진단을 통해 자신의 눈에 적합한 수술법을 찾는 것이 중요하다.
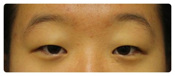
[진짜 안검하수인 경우 수술전]
[진짜 안검하수 수술2달 경과후]
눈 성형의 지침서 - 안병준 원장
*안병준 성형외과
02. 552. 1104
-
- 1105
방배역 안병준성형외과 | 기술에 경험을 더하다 25년을 오직 눈 성형술에만 몰두했습니다. psahn.co.kr
#자연스러운쌍꺼풀,#자연산쌍꺼풀,#자연쌍꺼풀,#자연스러운쌍꺼풀수술,#자연스럽게 쌍수하기,
#절개법,#부분절개,#부분절개법,#절개법잘하는곳,#절개법이란,#매몰법,#매몰법잘하는곳,#매몰법절개법,
#쌍꺼풀잘하는곳, #하안검성형술, #쌍꺼풀재수술잘하는곳, #눈매교정잘하는곳, #안검하수잘하는곳,
#가짜안검하수,#가성안검하수,#진짜안검하수,#진짜안검하수와가짜안검하수,#눈매교정없이안검하수고치기,
#쌍꺼풀재수술전문,#눈성형재수술전문,#쌍수흉터없애기,#쌍꺼풀흉터잘없애는곳,#쌍꺼풀재수술전문병원,
#안검성형술잘하는곳, #쌍꺼풀잘하는병원, #쌍꺼풀전문, #상안검성형술,
#소시지눈, #삼백안고치기, #남자쌍꺼풀수술,
#짝눈성형,#짝짝이눈,#짝짝이눈쌍수잘하는곳,#짝눈잘고치는곳,#짝짝이눈성형수술잘하는곳,
#짝눈성형잘하는곳,#처진눈꺼풀,#처진눈살제거,#처짐이많은눈,#눈꺼풀피부제거,#눈피부절제,
#짝짝이안검하수,#짝눈눈매교정,#짝눈눈매교정잘하는곳,#짝짝이눈눈매교정잘하는곳,
#쌍꺼풀재수술전문,#짝짝이눈 고치기,#짝눈잘고치는병원,#눈성형전문,#삼백안원인,#쌍꺼풀두겹라인,
#절개법,#절개법수술,#소세지눈고치기,#소시지눈잘고치는병원,#눈밑절개술,#눈밑절개술잘하는병원
#짝짝이눈 교정,#짝눈교정,#얼굴 좌우 비대칭,#얼굴비대칭,
#눈짝짝이교정,#눈짝짝이,#짝눈성형,#짝짝이눈성형,#속쌍꺼풀수술,
#속쌍꺼풀,#속쌍까풀,#속쌍꺼풀수술잘하는곳,
#상안검성형술,#상안검술,#상안검수술,#상안검,#상안검눈성형,#상안검눈수술,
#윗트임,#위트임,#앞트임,#앞트임복원,#자연스러운쌍꺼풀수술,
#앞트임 잘하는곳,#윗트임잘하는곳,#상안검술,#상안검술잘하는곳
#꺼진눈수술,#꺼진눈지방이식,#눈지방이식,#꺼진눈성형,#꺼진눈수술잘하는곳,#눈꺼풀지방이식,
#눈지방이식잘하는곳,#꺼진눈지방이식방법,#지방이식,#지방재배치,
#전형적인동양인눈,#동양인눈,#동양인눈성형,#동양인눈쌍수,
#동양인눈성형,#동양인눈쌍수,
#피부절제#눈피부제거,#피부제거,#동양인눈수술,#동양인눈쌍꺼풀,#동양인눈쌍꺼풀수술,
#동양인쌍꺼풀수술방법,#동양인쌍수,#몽고주름,#몽고주름없애기,#몽고주름수술,
#남자쌍꺼풀수술,#남자쌍수,#남자쌍꺼풀수술잘하는곳,#남자쌍꺼풀전문,#남자쌍꺼풀수술전문병원,