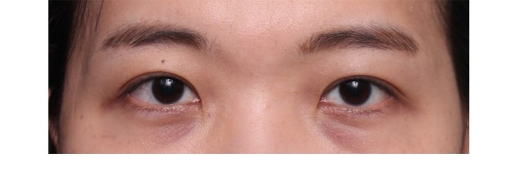
이번에 오랜만에 삼백안 교정사진을 올립니다.
삼백안의 원인은 보통 피부처짐 현상과 동반되어있는 안검하수가 원인이 됩니다.
처져있는 피부는 제거하고 눈매교정을 함께하여 안검하수를 고치게 됩니다.
이런 수술을 통해서
눈뜨기가 편안해지면서 삼백안 현상을 완화시킵니다.
많은 도움 되시길 바랍니다.


[수술직후]

[수술후4개월]
눈 성형의 지침서 - 안병준 원장
*안병준 성형외과
02. 552. 1104
-
- 1105
방배역 안병준성형외과 | 기술에 경험을 더하다 25년을 오직 눈 성형술에만 몰두했습니다. psahn.co.kr
#자연스러운쌍꺼풀,#자연산쌍꺼풀,#자연쌍꺼풀,#자연스러운쌍꺼풀수술,#자연스럽게 쌍수하기,
#절개법,#부분절개,#부분절개법,#절개법잘하는곳,#절개법이란,#매몰법,#매몰법잘하는곳,#매몰법절개법,
#쌍꺼풀잘하는곳, #하안검성형술, #쌍꺼풀재수술잘하는곳, #눈매교정잘하는곳, #안검하수잘하는곳,
#가짜안검하수,#가성안검하수,#진짜안검하수,#진짜안검하수와가짜안검하수,#눈매교정없이안검하수고치기,
#쌍꺼풀재수술전문,#눈성형재수술전문,#쌍수흉터없애기,#쌍꺼풀흉터잘없애는곳,#쌍꺼풀재수술전문병원,
#안검성형술잘하는곳, #쌍꺼풀잘하는병원, #쌍꺼풀전문, #상안검성형술,
#소시지눈, #삼백안고치기, #남자쌍꺼풀수술,
#짝눈성형,#짝짝이눈,#짝짝이눈쌍수잘하는곳,#짝눈잘고치는곳,#짝짝이눈성형수술잘하는곳,
#짝눈성형잘하는곳,#처진눈꺼풀,#처진눈살제거,#처짐이많은눈,#눈꺼풀피부제거,#눈피부절제,
#짝짝이안검하수,#짝눈눈매교정,#짝눈눈매교정잘하는곳,#짝짝이눈눈매교정잘하는곳,
#쌍꺼풀재수술전문,#짝짝이눈 고치기,#짝눈잘고치는병원,#눈성형전문,#삼백안원인,#쌍꺼풀두겹라인,
#절개법,#절개법수술,#소세지눈고치기,#소시지눈잘고치는병원,#눈밑절개술,#눈밑절개술잘하는병원
#짝짝이눈 교정,#짝눈교정,#얼굴 좌우 비대칭,#얼굴비대칭,
#눈짝짝이교정,#눈짝짝이,#짝눈성형,#짝짝이눈성형,#속쌍꺼풀수술,
#속쌍꺼풀,#속쌍까풀,#속쌍꺼풀수술잘하는곳,
#상안검성형술,#상안검술,#상안검수술,#상안검,#상안검눈성형,#상안검눈수술,
#윗트임,#위트임,#앞트임,#앞트임복원,#자연스러운쌍꺼풀수술,
#앞트임 잘하는곳,#윗트임잘하는곳,#상안검술,#상안검술잘하는곳
#꺼진눈수술,#꺼진눈지방이식,#눈지방이식,#꺼진눈성형,#꺼진눈수술잘하는곳,#눈꺼풀지방이식,
#눈지방이식잘하는곳,#꺼진눈지방이식방법,#지방이식,#지방재배치,
#전형적인동양인눈,#동양인눈,#동양인눈성형,#동양인눈쌍수,
#동양인눈성형,#동양인눈쌍수,
#피부절제#눈피부제거,#피부제거,#동양인눈수술,#동양인눈쌍꺼풀,#동양인눈쌍꺼풀수술,
#동양인쌍꺼풀수술방법,#동양인쌍수,#몽고주름,#몽고주름없애기,#몽고주름수술,
#남자쌍꺼풀수술,#남자쌍수,#남자쌍꺼풀수술잘하는곳,#남자쌍꺼풀전문,#남자쌍꺼풀수술전문병원,