수치과병원(Su Dental Hospital)
압구정 라미네이트 치아삭제량 궁금하신분
최근들어 부쩍, 선생님 저 치아 얼마나 삭제하나요? 치아 삭제 하지 않고 무삭제로 가능할까요?? 이런 질문 많이 해주시는 것 같아요. 그래서 이번에는 환자분 동의를 얻어 저희 병원에서 실제로 치료받은 증례하나를 공유해볼까 합니다. 환자분 주소는 ‘교정 후에도 미소가 이쁘지 않은 것 같아요’ ‘색이랑 모양이 마음에...
최근들어 부쩍, 선생님 저 치아 얼마나 삭제하나요? 치아 삭제 하지 않고 무삭제로 가능할까요?? 이런 질문 많이 해주시는 것 같아요.
그래서 이번에는 환자분 동의를 얻어 저희 병원에서 실제로 치료받은 증례하나를 공유해볼까 합니다.
환자분 주소는 ‘교정 후에도 미소가 이쁘지 않은 것 같아요’ ‘색이랑 모양이 마음에 안들어요’ 였답니다.

술전 사진
사실 술자 입장에서는 교정 치료 후에 #라미네이트 를 하시는 경우가 상당히 반갑답니다.
누이 좋고 매부 좋은 상황이랄까요?
장점 1. 시린 증상이 현저히 적다!
일단 의사 입장에서 치아의 배열이 기능적으로 가지런한 상태이기 때문에 무삭제 내지는 최소삭제가 가능하기 때문에 대부분의 치아 삭제는 법랑질 내부에서만 일어난답니다. 따라서 환자분이 경험하시는 시린 증상이 거의 없죠!
장점 2. 수명이 길다!
또한 접착이 대부분 법랑질 접착에서 이루어 지기에 결국 탈락률이나 파절률이 현저히 낮게 되어 기대 수명이 매우 길어지죠.
저희 병원에 실제로 15-20년 정도 무난하게 사용하시는 환자분들이 관리차 내원하시는데요, 아주 잘쓰고 계시는 경우가 많답니다.

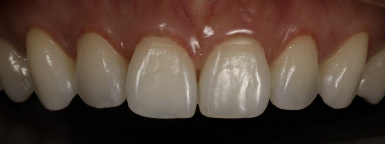
실제 치아 삭제 후 (프렙 후) 촬영사진
본론 케이스로 돌아와서 위의 경우가 실제로 치아 삭제 후에 촬영한 사진인데요, 보다시피 전체적으로 굴곡진 부분만 부드럽게 다듬은 수준으로 법랑질이 온전하게 남아있는 걸 보실 수 있답니다.
왜 무삭제를 하지 않았냐! 하신다면, 이 케이스의 경우 무삭제로 진행할 경우 ‘입툭튀’ 가 될 우려가 컸기 때문이랍니다. 치아가 안그래도 안모에 비해 작지 않은데 삭제가 무서워서 무삭제을 하게되는 경우, 자칫 잘못하면 안모에 비해 치아가 너무 크고 돌출되는 상황이 발생할 수 있으니, 무삭제가 무조건 정답은 아니라는 점, 꼭 기억해주시기 바랍니다!
아무튼, 그리고나면 본뜨기 과정을 하구요, 이 환자분 같은 경우 왼쪽 위 크라운 교체 하는 치아를 제외하고는 사실 임시치아를 만들지 않았답니다.
이후 열심히 보철물을 만들고 나면!

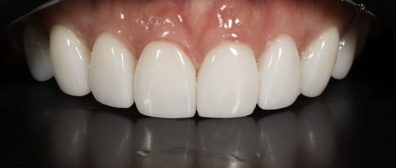
치료 완성 사진
이렇게 완성된답니다!
이렇게 보면 별것 아닌것 같지만 사실은 생각보다 많은 시간과 노력이 들어가는 작업이랍니다. 기공물의 디자인부터 제작, 접착까지 상당히 까다로운 과정들이 많이 있는데 이건 다음에 궁금하시면 더 설명해 드리도록 하구요. 위의 술전과 비교해서 아랫입술과 평행하게 갈 수 있도록 자연스러운 U 자 형성을 위한 치아 길이 조정, 조금 더 밝은 색조, 여성스러운 치아 디자인 부분에 중점을 두었답니다.
실제 스마일 사진은 이런 느낌이에요.

완성 후 스마일라인 포토
제가 요즘 대부분 권해드리는 스타일은, 자연치보다는 약간 밝게, 그럼에도 최대한 자연스럽게. 언뜻보면 라미네이트 한건지 안한건지 살짝 아리송한 느낌? 을 많이 권해드리고 있어요.
물론 환자분들에 따라서는 무조건 밝게! 를 외치는 분들도 간혹 있으시구요, 취향은 충분히 존중해 드린답니다.
다만 간혹 전문가의 의견을 물으시는 분들도 계셔서, 그럴때는 저는 피부톤보다 한두톤 정도 밝은 느낌의 전체 안모와 조화를 이루는 아름다움을 추천해드리고 있지요.

치료 전 / 프렙 후 / 완료 사진
한 사진에 모아서 정리해보았답니다.
** 본 증례는 의료법 준수 하 환자분 동의하에 포스팅 하였으며, 한 사례는 모든 시술의 결과를 보장하지 않습니다**

네이버 예약 링크
수치과병원 서울특별시 강남구 선릉로 823 한양타운 3층
Explore More
Keep Browsing This Clinic's Korean Content Trail.
Return to the source archive for more posts, or move back to the clinic profile to compare the rest of the clinic's public channels.