수치과병원(Su Dental Hospital)
앞니가 부러졌어요, 어떻게 해야할까요?
안녕하세요, 수치과병원 대표원장 박호산입니다. 이런 일이 살면서 한번도 안일어나면 좋을텐데, 살다보면 부득이하게 앞니가 부러지는 사고를 당하시는 환자분들이 있어요. 당장 아픔도 아픔이지만, 앞니가 부러졌을 때의 당혹감과 충격은 상당한 것 같아요. 제가 저번에 #스트라우만에서 초청강연으로 ‘#앞니파절 SOS’ 라...
안녕하세요, 수치과병원 대표원장 박호산입니다.
이런 일이 살면서 한번도 안일어나면 좋을텐데, 살다보면 부득이하게 앞니가 부러지는 사고를 당하시는 환자분들이 있어요.
당장 아픔도 아픔이지만, 앞니가 부러졌을 때의 당혹감과 충격은 상당한 것 같아요.
제가 저번에 #스트라우만에서 초청강연으로 ‘#앞니파절 SOS’ 라는 주제로 강연한적이 있는데요, 비슷한 선상에서 오늘도 케이스를 가지고 한번 풀어나가 볼까 합니다.

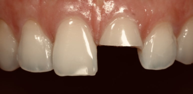
앞니파절 후 내원당시 사진
환자분께서 다급하게 내원하셨던 기억이 나네요. 아마 많이 놀라셨던 것 같아요, 그도 그럴것이 갑작스런 외상에 치아가 반이 뚝 부러졌으니 말이죠 ㅠㅠ
외상의 경우 중요한 부분은 치아의 어느 위치가 어떤 방향으로 파절되었느냐 랍니다!
끝부분인지 중간 부분인지 뿌리부분인지에 따라 치료 방법 및 회복기간이 크게 차이가 날 수 있기 때문이지요.
이번 케이스는 치관 수평파절로 치아 머리부분이 거의 정확하게 반이 떨어져 나간 상황이었구요, 다행이라면 뿌리부분은 전혀 손상이 없어 치아를 살려서 쓸수 있는 상황이었구요, 불행이라면 치아 내 신경이 노출되어 신경치료가 불가피 한 상황이었답니다 ㅠㅠ
어찌됐든 그래도 안심할 수 있는 부분은, 현대치의학의 발전으로 인해, 앞니 파절의 경우 꽤 빠른시간안에 감쪽같이 복원할 수 있다는 것! 이 아닐까 해요.
저희 클리닉의 경우 하루에도 완성 가능하답니다!

신경치료 및 프렙 후 임시치아까지 완성!
당일로 신경치료 후에 임시 치아를 만들어 드린 후 임시치아 상태에서 찍은 사진이랍니다.
이정도면 일상생활에 큰 지장이 없겠죠?
일주일후에 이렇게 잘 완성이 되었답니다.

보철물 완성 사진
조금 비교해서 보여드리자면,

파절 당시와 1주일 후 완성사진!
이렇게 비교해서 볼수 있구요.
감쪽같이 잘 치료되었다고 좋은 리뷰도 남겨주시고, 저도 참 보람된 케이스였답니다!
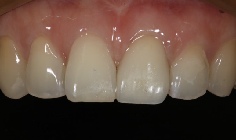
그로부터 벌써 6개월이 흘러, 정기검진을 와주셨구요, 그동안 저도 카메라 업그레이드를 하고 ㅎㅎ
오랜만에 내원하신 겸 예쁘게 사진 남겨놓았답니다.

Canon 5d mark IV/ 올세라믹 크라운 시술 후 6개월
저라도 이사진만 보면 어디가 보철물일까? 할 것 같아요! 자연스러운 색조와 모양 모두 만족스럽습니다!
겨울철 건강조심하시고 풍성한 연말과 새해 맞으시길 바래요:)
수치과병원 서울특별시 강남구 선릉로 823 한양타운 3층
압구정 라미네이트 수치과병원 최소삭제 1:1 맞춤형 Reborn라미네이트, 원내 치아기공소 운영, 원데이치아미백, 박호산 대표원장 책임진료! 압구정로데오역 5번출구
Explore More
Keep Browsing This Clinic's Korean Content Trail.
Return to the source archive for more posts, or move back to the clinic profile to compare the rest of the clinic's public channels.