수치과병원(Su Dental Hospital)
라미네이트 깨졌어요? 하루에 고쳐드립니다
안녕하세요, 심미치료 20년 차 압구정 수치과병원 대표원장 박호산입니다. 오늘은 라미네이트 치료의 가장 잦은 합병증, #라미네이트파절 에 관해서 말씀드리려고 해요. 자, 일단, 지금 혹시 깨지셨다면, 파절 편을 챙겨주세요. 파절 편을 가지고 내원하시면 임시치아 만들기도 쉽고, 컴퓨터로 디자인해서 복원하기도 쉽고,...
안녕하세요, 심미치료 20년 차 압구정 수치과병원 대표원장 박호산입니다.
오늘은 라미네이트 치료의 가장 잦은 합병증, #라미네이트파절 에 관해서 말씀드리려고 해요.
자, 일단, 지금 혹시 깨지셨다면, 파절 편을 챙겨주세요. 파절 편을 가지고 내원하시면 임시치아 만들기도 쉽고, 컴퓨터로 디자인해서 복원하기도 쉽고, 재질을 분석하고, 색조를 맞추는 것도 쉬워진답니다.
이렇게 내원하셨을 때 어떤 일이 일어나는지 한번 알아보겠습니다.
내원하시면 먼저 임상 사진 및 방사선 촬영을 통해서 부러짐의 정도를 먼저 파악하고 진단합니다.
사고로 인한 파절의 경우 보이지 않게 치아에 금이 가거나 뿌리가 부러진 경우도 있어, 엑스레이는 물론, 무엇보다 정확한 진단을 위해 최대 25배율의 자이스 현미경으로 관찰하기도 하고, Qray 광학 진단을 하기도 한답니다.

Zeiss Extaro 300 치과용 현미경
위 사진에 보이는 Zeiss Extaro 300, 제가 쓰는 현미경인데요, 심미 보철 치료할 때도, 신경치료할 때도, 크랙 진단할 때도 아주 유용한 도구 랍니다.

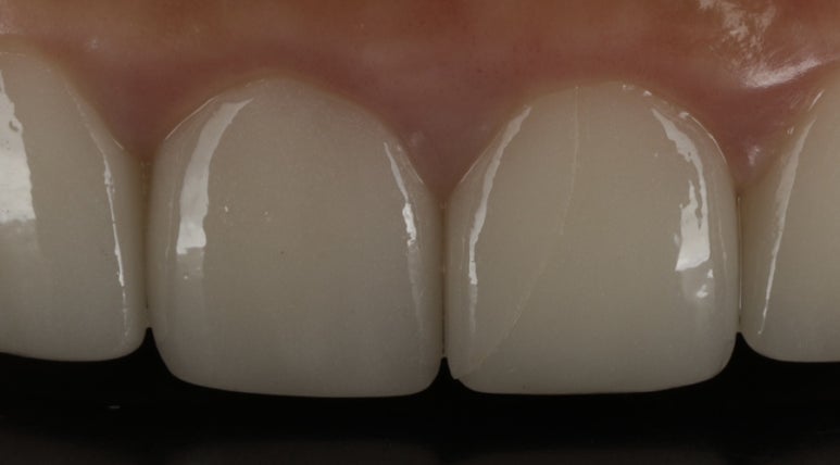
라미네이트 깨짐으로 내원하신 케이스
몇 년 전에 다른 치과에서 하신 우측 편에 보이는 라미네이트가 깨지셨다고 내원해 주신 케이스입니다.
이렇게 하나가 깨졌을 때 아주 유용한 설루션이 바로 #원데이라미네이트 랍니다. (맞춤법 검사 하다가 새로 알게되었네요, solution 은 설루션이라고 표기한다는 ㅎㅎ)
임시치아 과정도 없이 보철물 제거부터 제작, 최종 접착까지 모두 한 번에 마치는 시술인데요, 예전에는 상상도 못할 일이지만 디지털 치의학의 혁신적인 발전으로 이제 가능해졌답니다.
먼저 위의 현미경으로 최대한 추가 치아삭제 없이 보철물만 조심조심 갈아내고요. 그 후에 ‘덴츠플라이 시로나’의 야심작 프라임 스캔으로 구강 스캔을 하게 된답니다.

덴츠플라이 시로나의 프라임 스캔 및 프라임밀
이렇게 스캔을 하고 나면 바로 디자인 작업에 들어가게 되는데요.
아래 동영상처럼 프로그램상 앞니를 디자인하게 된답니다.
디자인이 완성되면 밀링이라는 작업을 통해 보철물을 제작하게 되는데, 아래에 영상 보시면, 프라임 밀로 열심히 보철물을 밀링 하는 걸 볼 수 있답니다.
이렇게 보철물이 제작되면 결정화, 글레이징 등의 후가공 수작업이 들어가고요, 최종 완성이 되면, 아래와 같이 환자분과 색조와 모양을 함께 평가한답니다.

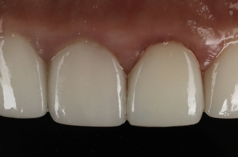
접착 후 사진
위와 같이 최대한 옆 치아의 색조와 모양이 대칭이 되도록 수정 작업을 거친 후에 3M 접착제로 최종 접착을 하게 되면 완성이랍니다!😊
오늘은 원 데이 라미네이트의 과정에 대해서 알아봤는데요, 저희 병원에서 제작하는 라미네이트의 파절률은 이맥스(e.max, Ivoclar) 기준 10년에 5% 미만으로 그렇게 높은 편은 아니지만, 이렇게 파절이 되었다 하더라도 이제는 하루면 수복이 가능하니 너무 걱정 마시고 찾아와주시면 된답니다.
아무쪼록 예쁜 앞니 오래오래 사용하시길 바라며, 오늘은 여기까지 적도록 하겠습니다.
감사합니다.

치아 파절, 하루에 완성하는 수치과병원 원 데이 시스템
Explore More
Keep Browsing This Clinic's Korean Content Trail.
Return to the source archive for more posts, or move back to the clinic profile to compare the rest of the clinic's public channels.