수치과병원(Su Dental Hospital)
임플란트 수술, 미국 보드 인증 임플란트 수술 전문의가 알려드립니다.
안녕하세요 수치과 병원 대표원장 박호산입니다. 오늘은 오랜만에 '#임플란트수술' 에 관한 제 짧은 소견과 철학을 전달할까 합니다. 한국 보건 복지부 인증 전문의 제도에는 '임플란트 전문의'라는 항목은 없습니다. 치주과 전문의, 구강악안면 외과 전문의가 있지요. 하지만 미국에는 '임플란트 수술 전문의'라는 전문의...
안녕하세요 수치과 병원 대표원장 박호산입니다.
오늘은 오랜만에 '#임플란트수술' 에 관한 제 짧은 소견과 철학을 전달할까 합니다.
한국 보건 복지부 인증 전문의 제도에는 '임플란트 전문의'라는 항목은 없습니다. 치주과 전문의, 구강악안면 외과 전문의가 있지요.
하지만 미국에는 '임플란트 수술 전문의'라는 전문의가 있답니다. 미국에서는 보드 인증 전문의 제도가 있는데요, 영어로 'Board-certified dental specialist'라고 한답니다. 여기서 각 과별로 전문의를 인증해 주는 보드가 있는데, 그중 ABP(American Board of Periodontoloy)라는 기관에서 필기 및 구술시험을 거쳐 임플란트 수술 전문의 인증을 해준답니다.
그리고 이곳에서 인증받은 전문의는 'board-certified dental implant surgeon'이라는 문구로 광고를 해도 의료광고 심의에 저촉되지 않게 됩니다.

미국 치주과 + 임플란트 수술 전문의 인증 기관 홈페이지
그런데, 이 인증받기 난이도가 꽤 높아요. 한국처럼 수련 후에 필기시험 한번 치는 제도가 아니라, 1차 필기, 2차 면접 및 구술시험이 있는 제도인데, 2차 구술시험이 정말 쉽지가 않거든요. 특히 영어가 모국어가 아닌 경우 더욱 힘들죠. 실시간으로 두 분의 교수님 혹은 시험관 앞에서 논문으로 뒷받침된 수술 방법 및 근거 등을 제시하고 뒷받침할 수 있어야 통과할 수 있답니다. 이게 단순히 외워서 되는 부분도 아니라 실제로 많은 논문들을 읽고, 자신의 진료 근거에 대해 객관적으로 입증하고 토론할 수 있어야 해서, 제가 평생 봐왔던 어떤 시험 보다 가장 떨리는 시험이었던 것 같아요.
어쩌면 뉴욕 컬럼비아 치과대학 졸업장보다, 이 전문의 보드 시험에 합격한 순간이 더 기뻤을 지도 모르겠네요. 그만큼 준비하는데 시간과 노력이 많이 들었거든요.
미국 유학 시간, 미국 수련시간, 미국에서 환자를 본 시간 모두를 합한 지식과 경험과 영어실력을 총망라한 시험이었다고나 할까요.
총 2년에 걸쳐 준비한 끝에 결국 합격하고 보드 인증을 받아, 아래와 같은 인증서를 마침내 획득했답니다.

미국 치주과 및 임플란트 수술 전문의 인증서_대표원장 박호산
벌써 이렇게 인증받은 지가 2018년이니 올해 미국 전문의 5년 차네요. 참으로 빠른 세월입니다.
미국의 경우 일반 치과의사들은 대부분 임플란트 수술을 직접 하지 않고, 저 같은 전문의에게 의뢰 / 리퍼를 한답니다. 일반 치과의사들은 제가 수술을 한 후에 다시 환자를 보내드리면, 본을 뜨고 크라운을 제작하는 보철 과정만을 전담하는 거지요.
워낙 임플란트 수술 관련 의료사고나 분쟁의 위험이 크기 때문에 일반 치과의사들이 위험에 대한 부담감을 느끼는 경우가 많고, 미국 자체도 환자가 소송을 걸었을 때 논문의 근거한 치료법으로 충분히 방어를 해야 하기에 수술을 맡기는 거죠.
어쨌든, 저의 힘들게 얻은 '미국 보드 인증 임플란트 수술 전문의(US board-certified Implant Surgeon)'라는 타이틀을 설명하는데 꽤 많은 지면을 할애했네요. 자 본론으로 들어가서, 제가 생각하는 임플란트 수술의 중요한 측면에 대해 이야기를 나누어 보도록 하겠습니다.
- 임플란트 수술은 '최소 침습적'이어야 한다. (Minimally-invasive surgery)
일단 기본적으로, 수술이라는 것 자체가 인체에 해를 가하는 행위인데요, 실보다 득이 크기 때문에 정당화되지만, 결국은 위해 행위지요. 그렇다면 좋은 수술이란? 가급적 위해를 최대한 가하지 않고 할 수 있는 수술이 좋겠지요. 예를 들면 개복술보다는 복강경을 이용한 수술이 최소침습적인 면에서 더 나은 수술법이라고 볼 수 있겠습니다. 이를 조금 더 어려운 말로 할 때 최소 침습적 수술, minimally-invasive surgery라고 부르는데요, 수술의 미니멀리즘이라고 보면 맞을 것 같아요.
결국 임플란트라는 티타늄 나사를 잇몸뼈에 심는 과정에서 가장 최소 침습적 수술은 잇몸 절개를 최소화하고, 봉합조차 필요 없는 바로, 플랩리스(flapless) 방식입니다.

고전 방식 vs 플랩리스 방식
위의 그림 중 첫 번째 그림이 통상적인 방식인데요, 잇몸 절개 후에 나사를 묻어두고 봉합을 한 후에 3-6개월 후에 2차 수술을 통해 다시 잇몸을 열어서 힐링 어버트먼트를 체결하는 방식이고요. 1980년대 브레네막 임플란트 초창기 술식이죠.
두 번째 그림이 나타내는 방식이 제가 선호하는 플랩리스 방식인데요, 레이저나 메스를 사용해서 임플란트 나사가 들어갈 만큼만 절개한 후 나사를 심고, 힐링 어버트먼트를 바로 체결하고 봉합 없이, 한번 수술로 모든 수술의 필요성을 끝내는 방식입니다.
사실 오히려 더 쉬워 보이지만, 뼈를 실제로 보지 않고 심어야 하기 때문에 통상적인 방법으로 많은 수술을 경험한 후에 비로소 할 수 있는 술식이지요.
실제 잘 이루어진 플랩리스 수술은 봉합도 없고, 잇몸을 잇몸뼈로부터 분리시키는 게 아니라서, 술후 환자분 만족도는 매우 높답니다. 거의 붓기와 통증이 없이 일상생활이 가능하기 때문이죠. 또한 술식 시간도 10-15분이면 끝나기 때문에 술자 입장에서도 매우 좋은 술식이지요.
물론 잇몸뼈가 너무 없어서 많은 뼈이식을 필요로 하는 경우 혹은 부착치은이라 불리는 핑크빛 잇몸이 너무 부족해서 잇몸이 식이 필요한 경우 등에서는 플랩리스 대신 전통적인 방식이 필요할 때가 분명히 있고요. 하지만 플랩리스가 가능한 케이스라면? 저는 무조건 플랩리스로 갑니다.
- 임플란트 수술은 '보철물 올리기가 쉬워야' 한다
이게 무슨 말씀이냐면, 결국 임플란트 수술의 궁극적 목적은 사실 수술 자체가 아니라 보철물, 즉 머리를 올려서 씹게 하는 데 있다는 거죠.

너무 순 측으로 치우쳐 보철물 올리기 어려운 각도_출처: 구글
이렇게 임플란트가 심어진 위치 혹은 각도가 치아머리가 있어야 하는 위치 혹은 각도와 많이 벗어난 경우, 정상적인 크라운 보철물을 만드는데 아주 난항을 겪게 되고, 아주 심한 경우는 임플란트를 뽑고 다시 심어야 하는 경우도 생긴답니다. 특히 앞니의 경우 어금니보다 뼈도 얇고 조금만 위치가 잘못되어도 입술 쪽 나사 부분이 노출되는 초유의 사태가 발생하기 때문에, 앞니 임플란트의 경우 더욱더, 바른 위치에 임플란트가 심어지는 게 매우 매우 중요하다고 볼 수 있답니다.

임플란트가 너무 순 측에 위치하여 뿌리 나사 부분이 잇몸 밖으로 노출된 경우
이런 케이스가 가장 안타까운 케이스인데요, 심어진 위치가 너무 잇몸 바깥쪽인 경우 몇 년 지나지 않아 잇몸이 퇴축되어 나사산이 노출되는 경우가 생긴답니다. 물론 정상적으로 심겼으나 임플란트 주위염이 너무 심해져서 생기는 경우도 있고요. 이런 경우 다시 잇몸 이식 및 뼈이식 등을 통해 다시 복원하는 방법도 있지만, 때로는 나사를 제거하고 다시 식립해야 하는 경우도 생기고요. 미국에서 일반 치과의사가 앞니 임플란트를 심었다가 저런 일이 생기는 경우 바로 소송 직행에 자칫 잘못하면 평생 쌓아 올린 치과의사 커리어가 한방에 끝나기 때문에, 앞니 임플란트는 더더욱 전문의에게 맡긴답니다. 500만 원 벌려다가 면허 날아가는 상황이 생길 수 있는 거죠.
- 최소한의 수술로 손상된 조직을 최대한 복원할 수 있어야 한다.
임플란트 수술에 마지막으로 제가 강조하는 부분은 잃어버린 조직의 복원에 대한 부분입니다. 위의 두 가지 원칙을 철저히 지키더라도, 진정한 임플란트 수술의 라면 이 마지막 부분을 잘해야 하는데요. 이미 뼈가 녹거나, 이미 잇몸 조직이 손상된 경우에 이 부분을 얼마나 예지성 있게 수술적으로 복원할 수 있는지가 진정한 수술의 길이라 할 수 있답니다. 또한 불필요하게 많은 수술을 하는 것도 환자분의 고통을 가중시키는 부분이라 '가능하면 한번 수술에 원하는 모든 것을 얻는다'라는, One surgery to achieve everything, if possible! - 을 저의 수술 원칙으로 삼고 있습니다.
이 부분은 저희 병원에 내원하신 환자분 중 한 증례를 가지고 풀어보면 좋을 것 같아요.

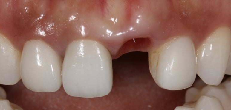
수술 전 상황 - 치근 파절 #21번 치아
이 환자분의 경우 왼쪽 앞니 (사진상 오른쪽) 치아가 뿌리 쪽이 부러져서 내원하신 경우인데요. 위와 같이 뿌리 중간이 부러진 경우 더 이상 치아를 살리기 어려워서 발치 후 임플란트를 하게 된답니다.
정면에서 일단 저한테 가장 중요하게 신경 쓰이는 부분은 잇몸 높이가 달라서 치아 크기가 비대칭이라는 부분인데요. 아래 사진에서 볼 수 있듯이 치아가 부러진 후에 앞쪽으로 많이 이동되어 잇몸이 올라갔다고도 볼 수 있을 것 같습니다.

수술 전 - 임플란트 수술 후 - 임시치아 장착 후 엑스레이 사진
이런 경우 임플란트 수술에 있어서 1차 원칙, 가능한 한 최소침습적인 방식으로 발치를 하고, 당일 바로 임플란트 나사를 식립한답니다. 이 환자분의 경우 발치 후 즉시 식립 시 초기 고정을 얻기 쉬운 #스트라우만 BLX 임플란트를 사용하여 수술을 진행하였답니다.

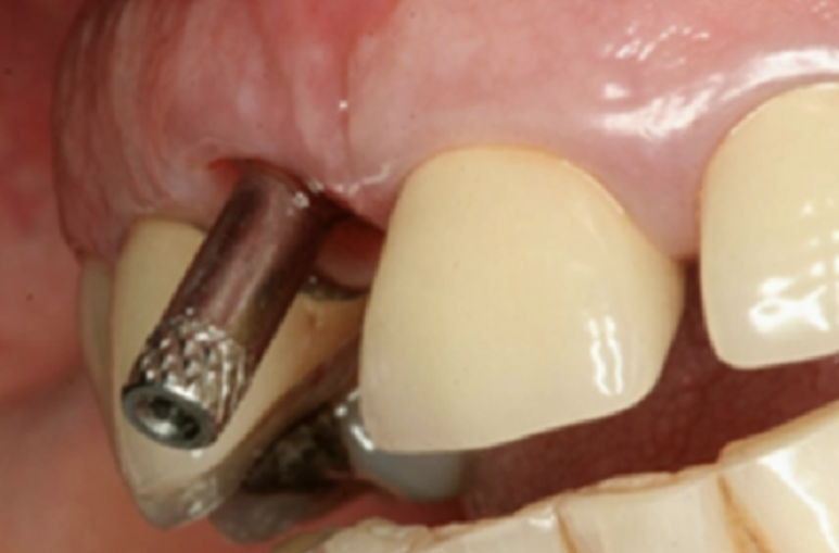
수술 직후 당일 사진 및 엑스레이
수술 직후의 사진인데요, 위 환자분의 경우 플랩리스 방식, 비절개 방식으로 발치를 하고, 임플란트 나사를 심은 후, 주변에 뼈이식을 한 후에, 임플란트에 임시치아를 직접 연결하여 제작하고, 잇몸 높이가 최대한 대칭이 맞게 끔 임시치아 모양을 조정했답니다. 플랩리스 방식으로 봉합을 하지 않고 수술을 마무리했답니다.
한번 수술에, 제가 원하는 모든 것을 한 셈이지요.
이후에 임플란트와 뼈가 잘 붙게 되면,

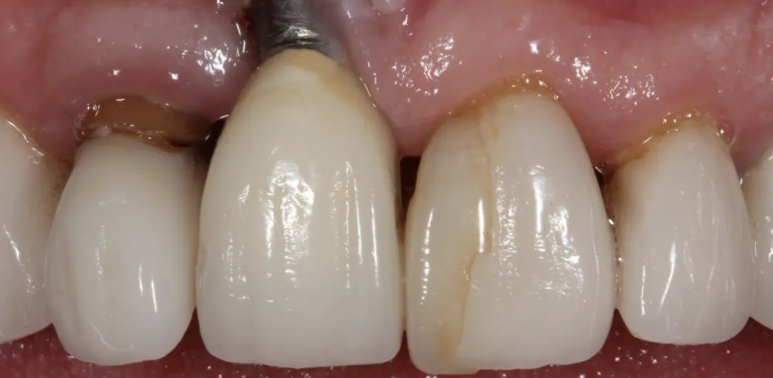
수술 4개월 후 - 잇몸 높이가 대칭이 맞아진 것을 볼 수 있습니다
위와 같이 잇몸 주위 조직이 건강하게 치유가 되고 옆 치아와 잇몸 높이 대칭성도 잘 맞게 아문 것을 확인할 수 있답니다.

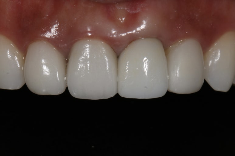
보철물 완성 사진
마지막으로 보철물까지 올린 후에 완성 사진을 찍었답니다.
잇몸 높이가 옆 치아와 대칭성을 이루는 부분이 사실 가장 관건인데 이 부분이 잘 이루어진 것을 확인할 수 있답니다.

전후 비교 사진_ 잇몸 높이가 달랐던 술전 상황과는 달리 임플란트 수술 후에 잇몸 높이가 같아진 것을 확인할 수 있음
다행히 이렇게 케이스가 잘 마무리되었고요, 저희 병원 같은 경우 앞니 보철을 원내 제작하기 때문에 색조와 모양도 만족스럽게 마무리가 잘 되었답니다.
오늘은 이렇게 짧게나마 미국 보드 인증 임플란트 수술 전문의가 생각하는 임플란트 수술에 대한 원칙들을 정리해 보았답니다.
긴 글 읽어주셔서 정말 감사합니다.


궁금할 땐 네이버 톡톡하세요!

수치과병원 서울특별시 강남구 선릉로 823 한양타운 3층
Explore More
Keep Browsing This Clinic's Korean Content Trail.
Return to the source archive for more posts, or move back to the clinic profile to compare the rest of the clinic's public channels.