수치과병원(Su Dental Hospital)
핀홀 잇몸 리프팅을 이용한 라미네이트 재치료 증례
안녕하세요, 미국 보드 인증 치주과 및 임플란트 수술 전문의(US board-cerfitied periodontist and implant surgeon) 박호산 원장입니다. 치주과 전문의란 ‘periodontist’ 즉 잇몸에 관련된 질환을 예방하고 치료하는 치주학을 심화 전공으로 삼고 전문의 자격을 취득한 치과의사...
안녕하세요, 미국 보드 인증 치주과 및 임플란트 수술 전문의(US board-cerfitied periodontist and implant surgeon) 박호산 원장입니다.
치주과 전문의란 ‘periodontist’ 즉 잇몸에 관련된 질환을 예방하고 치료하는 치주학을 심화 전공으로 삼고 전문의 자격을 취득한 치과의사를 뜻하는데요, 한국에서는 보건복지부에서 전문의 인증을 해주고, 미국에서는 American Board of Periodontology라는 곳에서 인증을 해준답니다.
결국 치주과 전문의가 하는 일은 잇몸 수술, 임플란트 수술, 잇몸 성형 수술, 잇몸 이식 수술 등의 수술 관련이 대부분이라 미국에서는 보통 치과계의 PS, plastic surgeon의 개념이라고 가르친답니다. 구강외과 전문의는 조금 더 큰 수술을 하는, 즉, 조금 더 GS, general surgeon에 가깝다고 볼 수 있죠.
그만큼 치주과 전문의들은 조금 더 fine 한 수술 기법을 연구하고, 어떻게 하면 심미적으로 아름다운 잇몸 라인을 만들지, 어떻게 하면 건강한 잇몸을 만들고 유지할 수 있을지 더 연구하고 임상에 매진하게 되는데요, 한마디로 치주과 전문의는 ‘잇몸 전문의’라고 보시면 될 것 같아요.
잇몸이 염증이 심하거나, 잇몸이 예쁘지 않거나, 잇몸 퇴축이 있거나, 등등 잇몸 관련 문의는 꼭 저희 치과뿐만이 아니라 가까운 치주과 전문의를 찾아주시면 되겠습니다.
오늘의 케이스는 저에게도 꽤 기억에 남는 특별한 케이스인데요. 10년 전에 하신 라미네이트가 심미적으로 마음에 들지 않아서 다시 하려고 내원하신 분이셨어요. 물론 제가 한 치료는 아니지만 10년 전에 저희 병원에 계셨던 다른 원장님께서 치료하신 케이스였어요. 아직 제가 뉴욕에 있던 시절이네요.

10년 전 라미네이트 불만족 사례

왼쪽 송곳니(사진상 오른쪽) 변색 및 잇몸 라인 불균형
먼저는 환자분 왼쪽 (사진상 오른쪽) 송곳니가 너무 돌출되어 보이는 부분, 그리고 치아 길이가 달라 보이는 부분, 셋째로 색이 너무 밝아서 인위적으로 보인다는 부분이었어요.
첫 번째와 두 번째는 충분히 수긍할 만한 내용이었는데, 마지막 세 번째는 조금 의아했답니다. 대부분 저희 병원에 내원하시는 여성 환자분들은 색은 가능한 한 밝게 원하시는 편인데, 이 환자분께서는 가능한 노랗게, 심지어 옆의 자연치아보다도 노랗게 원하셨어요. 아마도 이제는 가능한 앞니가 라미네이트 티가 나지 않는 자연스러움을 원하시는 것 같았어요. 저는 개인 취향은 최대한 존중해 드리는 편이라, 특히 색에 관한 부분은 환자분들께서 원하는 대로 선택하실 수 있도록 최대한 도와드리고 있답니다. 그래서 결론은 라미네이트 티가 나지 않는 ‘자연치아로의 회귀’ 가 이번 치료 컨셉이었어요.
자, 다시 케이스로 돌아와서, 사실 이 케이스 치료하는 데 있어서 가장 어려운 부분은 저기 튀어나오고 길어 보이는 송곳니를 어떻게 심미적으로 수정할 것인지에 대한 고민입니다.
짧은 치아를 길게 만드는 건 사실 아주 간단하고 쉬운 일이랍니다. 잇몸을 메스나 레이저로 잘라내거나 (치은 절제술), 많은 잇몸을 잘라내야 한다면 치조골 조정을 통한 치관확장술을 하면 되기 때문이죠. 혹 보철물이 짧게 제작되었다면 아래로 길게 제작하면 그만이고요.
그런데 이 케이스의 경우 핑크 에스테틱이 훼손된 경우인데, 치아 길이가 달라 보이는 이유가 아래로 길어서가 아닌 위로 길어서, 즉 잇몸이 많이 올라가 있어서 그런 경우인 셈이죠. 단순히 아래로 보철물이 길게 제작된 경우 재제작도 필요 없이 길이만 약간 조정하면 되지만, 잇몸이 올라간 경우는 결국 실제로 잇몸을 내리거나, 핑크색 도자기로 인공적으로 잇몸이 있는 척 착시를 주거나 둘 중의 한 가지 방법밖에 없죠.
결국, 여러 가지 방법을 환자분과 논의한 끝에 송곳니 쪽 잇몸을 내리는 핀홀 잇몸 리프팅 시술을 하기로 했답니다. 핀홀 잇몸 수술이란 Pinhole Surgical Technique이라고 해서 비절개 비봉합 방식의 최소 침습적인 인공 잇몸 이식 수술법이며, 이 술식을 개발하신 Dr. Chao 이름을 따서 Chao Pinhole Surgical Technique이라고 하기도 한답니다.

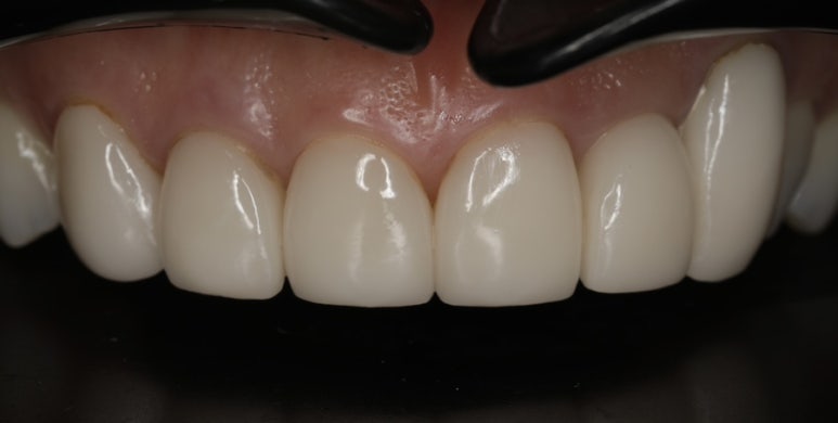
핀홀 수술 후 일주일 지난 후 셋팅사진
이렇게 잇몸을 내려서 반대편 송곳니와 대칭을 맞추었고요, 환자분의 바람대로 조금 더 자연치 색조에 맞게 B1 정도의 shade에 커스텀 스테이닝 작업을 통해 절단연 부분 자연치 투과도를 재현하도록 했답니다. 치아의 미세한 디자인 부분 또한 라인 앵글을 조금 더 살려서 인위적인 부분을 최대한 개선했습니다. 환자분은 매우 마음에 들어 하셨어요!
이 부분이 가장 중요한 부분이고, 임상가로서는 때로는 가장 어렵고, 또 때로는 그만큼 가장 보람된 부분이기도 하답니다.
저로서도 수술 결과가 매우 만족스럽게 나와 자랑스럽게, 여기다가 케이스를 공유하고 있지요!

핀홀 잇몸 리프팅 후 한결 자연스러워진 미소
환자분도 이제는 더 자신 있게, 활짝 웃을 수 있게 되셨다는, 오늘의 해피 엔딩이었습니다!
라미네이트 재시술의 경우 여러 가지 고려 사항이 많은데, 혹시 잇몸 라인 때문에 고민이시라면, 편하게 문의하시면 최선을 다해 답해드리도록 하겠습니다.

국민일보 주최 2022 라미네이트 부문 1위 대상 수치과병원

#라미네이트 재치료 #핀홀잇몸리프팅 #핀홀잇몸이식
Explore More
Keep Browsing This Clinic's Korean Content Trail.
Return to the source archive for more posts, or move back to the clinic profile to compare the rest of the clinic's public channels.