수치과병원(Su Dental Hospital)
압구정 원데이 라미네이트, 하루에 된다고요?!
오늘은 저희 병원에서 최근에 가장 많이 진행하고 있는 원데이 라미네이트 시술에 대한 글을 써보고자 합니다. 이전에는 짧게는 일주일, 길게는 2주일 이상 걸렸던 라미네이트 치료가, 하루에 가능하다고 하니, 당장 저희 병원에 오래 다니신 환자분들도 깜짝 놀라시는 경우가 많아요. 그리고 시술이 괜찮고 안전한 건지, 부작...
오늘은 저희 병원에서 최근에 가장 많이 진행하고 있는 원데이 라미네이트 시술에 대한 글을 써보고자 합니다.
이전에는 짧게는 일주일, 길게는 2주일 이상 걸렸던 라미네이트 치료가, 하루에 가능하다고 하니, 당장 저희 병원에 오래 다니신 환자분들도 깜짝 놀라시는 경우가 많아요.
그리고 시술이 괜찮고 안전한 건지, 부작용은 없는지, 비용은 어떤지 등등 다양한 질문들이 많으셔서, 한번 하나씩 하나씩 정리해 보고자 합니다.
먼저 이번에는 시술 과정이 어떻게 되는지 알아보도록 할게요.
[원데이 라미네이트 시술 과정]
- 상담 및 치료 계획 수립 (~ 30분)
먼저 상담을 해야겠지요. 미소라인 및 스마일 분석을 통한 치료 계획을 수립하게 된답니다.

일반적으로 웃으실 때 보이는 윗치아 송곳니부터 송곳니까지 6개 혹은 작은 어금니까지 8개 정도의 치아를 바꾸는 경우가 많고, 원데이 라미네이트를 진행할 때도 물리적 시간 소요가 되기 때문에 보통 하루에 최대 8개까지 권해드려요. 위아래 16개 치아를 하게 되시면 보통 위에 하루, 아래 하루 이렇게 이틀에 나누어서 하게 된답니다.
아래 치아가 크게 보이지 않으시는 분들은 당일 라미네이트가 제작되는 동안 치아미백을 병행해서 쉐이드를 맞추는 경우가 많답니다.
저희 병원 원데이 라미네이트 비용은 재질 및 보증 기간에 따라 치아 당 44만 원부터, 77만 원, 99만 원 이렇게 세 가지로 선택 가능하시답니다.
치아 개수와 재질을 선택하신 후에는 바로 당일에 치료를 하시는 경우도 있고, 하루 시간을 잡고 하시는 경우도 있는데요, 요즘은 해외에서도 많이 방문하시다 보니 미리 연락을 주신 후에 하루를 잡고 당일에 상담, 프렙, 완성까지 하루에 끝내시는 경우도 자주 있답니다.
- 치아 프렙, 스캔, 본뜨기 과정 (1시간 반~2시간)
치료 계획이 수립된 이후에, 일부 무삭제가 가능한 케이스가 아니면, 대부분 최소삭제 라미네이트로 겉면만 일부 다듬고 진행을 하게 된답니다.

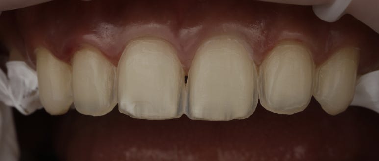
라미네이트 치아 삭제량, 라미네이트 프렙
실제 라미네이트 프렙 후 접착 직전의 사진인데요, 치아의 앞면 및 절단면 위주로, 법랑질에 국한된 삭제를 하는 경우 대부분 부작용도 거의 드물고, 접착력도 좋기 때문에, 제가 가장 선호하는 프렙 디자인이랍니다.

프라임 스캔으로 스캔 한 사진
프렙이 완성되면 이렇게 스캔 및 본뜨기 과정이 시행되고요.
원데이로 진행할 때는 위 상태에서 따로 임시치아 제작 없이 3시간 정도 제작시간 동안 환자분은 휴식시간을 갖습니다.
- 라미네이트 시적 및 최종 접착 과정 (1시간~1시간 반)

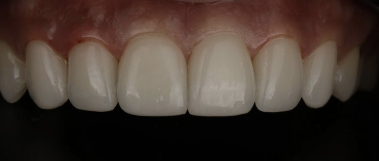
원데이 라미네이트 접착 후_ e.max CAD
보철물이 예쁘게 완성되면, 치아 위에 얹어본 후 색상과 모양 등이 마음에 드시는지 한 번 더 확인 과정을 거친 후에, 꼼꼼한 접착 단계를 거쳐 최종 접착하게 된답니다.

완성 후 스마일 포토
하루 만에 이렇게 자연스러운 미소가 완성되었답니다!
[신영일의 비즈정보 플러스] 수치과병원 신영일의 비즈정보 플러스
naver.me
더 궁금하신 분은 머니투데이에 소개된 저희 병원 원데이 라미네이트 편도 참고 부탁드려요!
수치과병원 서울특별시 강남구 선릉로 823 한양타운 3층
궁금할 땐 네이버 톡톡하세요!
Explore More
Keep Browsing This Clinic's Korean Content Trail.
Return to the source archive for more posts, or move back to the clinic profile to compare the rest of the clinic's public channels.