수치과병원(Su Dental Hospital)
강남 라미네이트 비용은? 44만 원부터
이번 글은 모두가 궁금해하시는 #라미네이트 가격, 비용에 대한 부분을 투명하게 적어보고자 합니다. 물론 이 비용은 저희 치과에 국한된 부분이니 참고로 해주시면 감사하겠습니다. 결론부터 말씀드리면, 저희 치과 기준 원 데이 라미네이트 비용은 부가세 포함 치아 당 44만 원부터 77만 원, 99만 원 이렇게 세 가지...
이번 글은 모두가 궁금해하시는 #라미네이트 가격, 비용에 대한 부분을 투명하게 적어보고자 합니다.
물론 이 비용은 저희 치과에 국한된 부분이니 참고로 해주시면 감사하겠습니다.
결론부터 말씀드리면, 저희 치과 기준 원 데이 라미네이트 비용은 부가세 포함 치아 당 44만 원부터 77만 원, 99만 원 이렇게 세 가지 옵션이 있답니다.
44만 원 옵션 - 세렉 라미네이트 by Cerec bloc by Vita ( Vita Mark II)
가장 기본적인 옵션으로 독일 비타라는 회사에서 만드는 Cerec bloc 을 사용하고요, Vita Mark II 도 동일한 재질이나 색상 옵션이 Vita 3D Masters라는 시스템으로 약간 다르기 때문에, 저희는 편의상 Cerec bloc 을 주로 사용한답니다.

비타 캐드캠 블록/ 세렉라미네이트
이렇게 생겼지요. 장점은 기계로 밀링성이 쉽기 때문에 빠른 밀링 시간, 또한 결정화 과정이 생략되기 때문에, 특히 원 데이 치료 시에 빠른 제작이 가능하다는 장점 또한 있답니다. 한마디로 제작시간 단축! 이랍니다. 단점은 강도가 상대적으로 조금 떨어지는 장석계 세라믹이기 때문에 일부가 깨지는 확률이 조금 더 높고, 상대적으로 낮은 강도를 보상해야 하기 때문에 0.5mm 정도의 두께를 감안해서 치아 프렙을 해야 한다는 점이 있겠습니다.
굴곡강도 : 130 +/- 20 Mpa
저희 병원에서는 무상 A/S 1년의 기간을 두어서, 1년 안에 파절되거나 탈락되는 경우 무상으로 재제작을 해드리고 있어요.
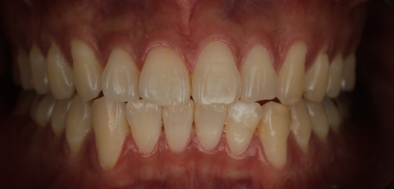
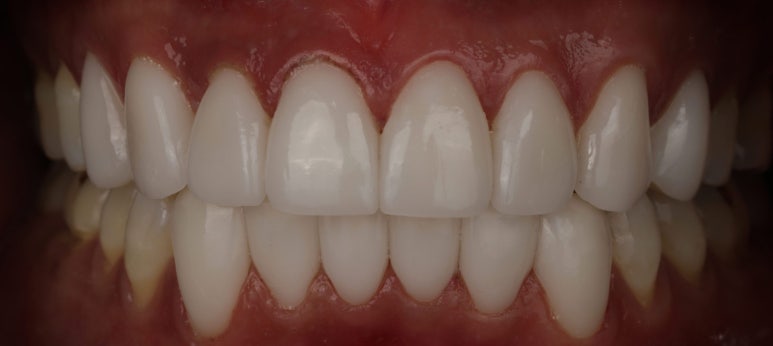
샘플 케이스 사진은 아래에 띄워보겠습니다.

라미네이트 치료 전_

44만 원 세렉라미네이트_치료후
상악 8개 + 하악 6개 총 14개를 진행한 케이스로 특히 다수의 치아를 치료할 경우 비용이 부담이 되실 수 있는데 전체 비용을 낮추고 치료 개수를 늘리기에도 적합한 옵션이랍니다.
77만 원 옵션 - Hass Rosetta SM 라미네이트
두 번째 옵션은 제가 자랑스럽게 생각하는 우리나라 기업 (주) 하스 바이오에서 제작하는 굴곡강도 440MPa, 로제타 시리즈입니다. 로제타 옵션은 뒤에 나올 상위 등급인 이맥스와 비교해서 꽤 대등한 스펙을 보여주고 있고, 저희가 사용한 지는 5년 정도 되었지만 임상결과 또한 꽤 만족스러워서 많이 사용하고 있답니다.

77만 원 하스 로제타 라미네이트_ 사진출처_하스바이오 홈페이지

이축 굴곡강도 440 MPa _ 사진 출처_ 하스 바이오 홈페이지
국산 리튬다이실리케이트 블록 중, 제 체감으로 가장 안정적인 결과물을 보여주고 있고, 강도 및 심미성, 경제성 모두 골고루 뛰어난 모델이라 가성비 옵션으로는 꽤 괜찮은 선택이랍니다. 간혹 왜 국산인 로제타가 독일산 세렉 라미네이트보다 비싸냐고 묻는 분들이 간혹 계시는데, 여기는 블록 자체의 단가보다는 결정화 - 라는 기공 과정이 추가되기 때문입니다. 이 결정화라는 과정을 통해 라미네이트는 퍼니스라고 불리는 아궁이에 한 번 더 들어가게 되고, 이를 통해 더욱 강도가 강해진답니다.
워런티 기간은 무상 A/S 1년 이후에 치료 시점부터 5년까지 유상 A/S 기간이 부여된답니다.
99만 원 - Ivoclar e.max CAD 라미네이트
사실 라미네이트계의 월드 베스트셀러 아이템인 e.max CAD는 비싼 것 말고는 단점이 없는 재료라고 생각합니다. 테슬라의 영향으로 리튬 가격이 올라서인지, 최근 계속해서 가격을 인상하는 관계로 원가 부담은 늘었지만, 굴곡강도 530MPa, 장기간 연구결과를 통한 높은 생존율 검증까지 거친, 신뢰성 높은 재료이지요.

99만 원_이맥스 라미네이트_ 출처_이보클라 홈페이지

530MPa 굴곡강도_이맥스 라미네이트_ 출처_이보클라 홈페이지
하스 로제타 제품과 마찬가지로 보라색 돌인 메타실리케이트 상태에서 결정화 단계를 거쳐 리튬 다이실리케이트로 상변화를 일으키며 강도가 단단해진답니다.
이맥스는 자체 10년 워런티를 보장하고, 저희도 10년 A/S 기간을 갖고 있답니다.

아래에는 보기 좋게 표로 정리해 보았답니다.


그동안 라미네이트 비용이 궁금하셨던 분들 충분한 답변이 되었길 바래요.
더 궁금하신 게 있거나 대면 상담을 원하시면 네이버 톡톡 혹은 카톡 채널로 문의 부탁드려요.
궁금할 땐 네이버 톡톡하세요!
수치과병원 서울특별시 강남구 선릉로 823 한양타운 3층
Explore More
Keep Browsing This Clinic's Korean Content Trail.
Return to the source archive for more posts, or move back to the clinic profile to compare the rest of the clinic's public channels.