수치과병원(Su Dental Hospital)
틀니는 이제 안녕, 전악 스트라우만 임플란트 수복 증례
오늘은 머나먼 호주에서 저희 수치과병원을 찾아 #스트라우만 임플란트를 하러 오신 환자분 증례를 나누어 보고자 합니다. 이번 치료 컨셉은 '틀니는 이제 안녕(Say good bye to the dentures)' 이었답니다. 위와 같은 상태로 내원하시게 되었답니다. 상악은 의치, 소위 말해서 틀니 상태로 내원하셨고,...
오늘은 머나먼 호주에서 저희 수치과병원을 찾아 #스트라우만 임플란트를 하러 오신 환자분 증례를 나누어 보고자 합니다.
이번 치료 컨셉은 '틀니는 이제 안녕(Say good bye to the dentures)' 이었답니다.

위와 같은 상태로 내원하시게 되었답니다.
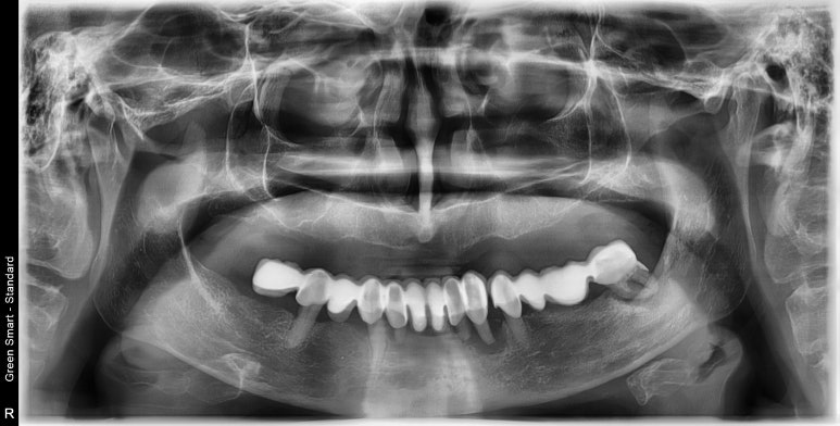
상악은 의치, 소위 말해서 틀니 상태로 내원하셨고, 하악은 브릿지 상태였으나 남아있는 치아의 잇몸 상태가 좋지 않아 발치를 계획하게 되었답니다.

초진 사진
총 7개 치아가 남아있었는데 그마저도 3개 정도를 제외하고는 상태가 썩 좋지 않으셨답니다.
하여 상악에는 총 6개 임플란트, 하악에도 총 6개 임플란트를 심고, 국산과 외산 임플란트 중 장단점 설명을 들으시고 나서 저희 병원 시그니쳐 임플란트인 #스트라우만 BLX 임플란트로 결정하셨답니다.
혹시 국산 vs 외산 임플란트 사이에서 고민중이신 분은 아랫 글을 참고 부탁드려요
https://blog.naver.com/sudental2k/222875697459
수입임플란트 도대체 뭐가 좋을까요?? 혹시 수입임플란트, 혹은 외산임플란트라고 들어보셨나요? 모든 치과가 그런건 아니지만, 임플란트 좀 심는...
blog.naver.com

상악 6개, 하악 6개 스트라우만 임플란트 식립
상악 및 하악에 총 12개의 임플란트를 식립하고 아래 3개의 치아는 고정성 임시치아를 만들어 드리기 위해 남겨두었답니다.
저희 컬럼비아 치주과 수련시절, 타나우 교수님(Dr. Tarnow) 은 이런말씀을 종종 하셨죠.
"Hopeless teeth are not useless teeth!" (뽑아야 할 치아라고 해서 꼭 쓸모없는 치아는 아니다!)
안그래도 틀니가 불편하신 분인데, 위에 틀니한것 모자라 아무리 임시라고 해도, 임플란트를 심었는데 아래까지 틀니를 해드리는 것은 환자분에 대한 도의가 아니라고 생각했어요.
그래서 남은 치아를 사용해서 고정성 임시치아를 부족하게나마 제작해드렸답니다.
그리고 4개월간 임플란트와 뼈가 고정되는 시간을 충분히 부여한 후에, 호주에서 비행기를 타고 다시 저희 병원에 내원하셨죠.
꼼꼼히 인상채득을 하고, 교합 고경을 체크한 후에, 환자분의 빠듯한 비행 스케줄을 맞추기 위해 단 5일만에 전악 임플란트 보철물이 완성이 되었답니다! ( 통상적으로는 7-14일이 소요됩니다 )

보철물 완성 후 안모 사진, 스트라우만 BLX 임플란트


남은 잔존치는 보철물을 올리면서 당일 발치후 최종 보철물 수복을 진행하였답니다.
15년은 젊어지신 모습에 저도 뿌듯했던 케이스 였답니다.
안면부 주름도 보철물 하나로 많이 개선되신 모습이죠?
치과의사로서 가장 보람된 순간은 역시 치료를 통해 환자분 삶의 질이 유의미한 개선을 보일 때 인 것 같아요.
특히 치료 전후과 확실히 차이가 날때, 저도 환자분도 만족스럽고 좋은 치료겠죠?
정리하는 의미에서 전후 사진을 비교해 보았답니다.

안모상 주름 개선, 젊어보이는 효과 부여를 관찰할 수 있답니다.

전후 비교/ 중심선을 잘 맞출수 있었답니다.

엑스레이 비교사진입니다.
환자분께서 흔쾌히 블로그 및 SNS 사용도 동의 해주셨답니다. 그리고 셀카도 남겨주셨어요!
임플란트를 이제 제3의 치열 (the 3rd dentition) 이라고 해요. 그만큼 자연치아가 소실되어도 임플란트로 대체해서 심미와 기능을 회복할 수 있을 만큼, 치의학이 많이 발전되었죠.
앞으로의 30-40년도 건강하게 사시길 바라는 마음입니다.
총 내원횟수 : 4회
총 치료기간 : 4개월

궁금할 땐 네이버 톡톡하세요!
수치과병원 서울특별시 강남구 선릉로 823 한양타운 3층
** 본 케이스는 환자분 동의하에 블로그에 올리게 되었답니다. 치료 방법 및 결과는 환자분들마다 다를 수 있으니 의료진과 충분한 상의 후 결정하시길 바래요. 오늘도 미소 가득한 좋은 하루 되세요! :)
#틀니는 이제 안녕 #스트라우만 #전악임플란트 #틀니임플란트 #올온엑스 #압구정로데오임플란트
Explore More
Keep Browsing This Clinic's Korean Content Trail.
Return to the source archive for more posts, or move back to the clinic profile to compare the rest of the clinic's public channels.