수치과병원(Su Dental Hospital)
블랙트라이앵글 개선을 위한 라미네이트 수복증례
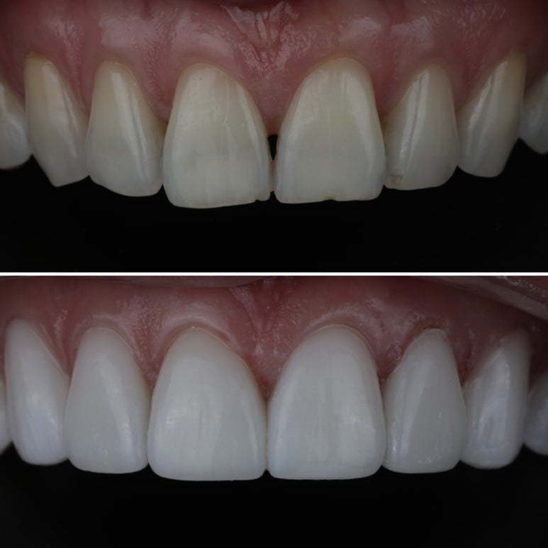
본원에서는 다양한 방법으로 블랙트라이앵글 치료를 도와드리고 있답니다. 그중에서도 블랙트라이앵글 개선 뿐만 아니라 전체적으로 밝은 미소를 만들어주는 라미네이트 치료 증례가 있어 공유하고자 합니다. 상 : 치료전 하 : 치료 후 블랙트라이앵글이란 잇몸이 위로 올라가면서 공간이 까맣게 생기는 부분을 일컫는데요, 아무래도 나이들...
본원에서는 다양한 방법으로 블랙트라이앵글 치료를 도와드리고 있답니다. 그중에서도 블랙트라이앵글 개선 뿐만 아니라 전체적으로 밝은 미소를 만들어주는 라미네이트 치료 증례가 있어 공유하고자 합니다.

상 : 치료전 하 : 치료 후
블랙트라이앵글이란 잇몸이 위로 올라가면서 공간이 까맣게 생기는 부분을 일컫는데요, 아무래도 나이들어 보일 수 있어 비심미적인 인상을 준답니다. 특히 앞니 한가운데가 생기는 경우 더더욱 눈에 띄기 마련이지요.
이번에 저희 병원을 찾아주신 환자분도 블랙트라이앵글 개선이 주 치료 목적이었구요, 또한 더불어 잔체적인 치아 색조 또한 밝게 희망하셨답니다.

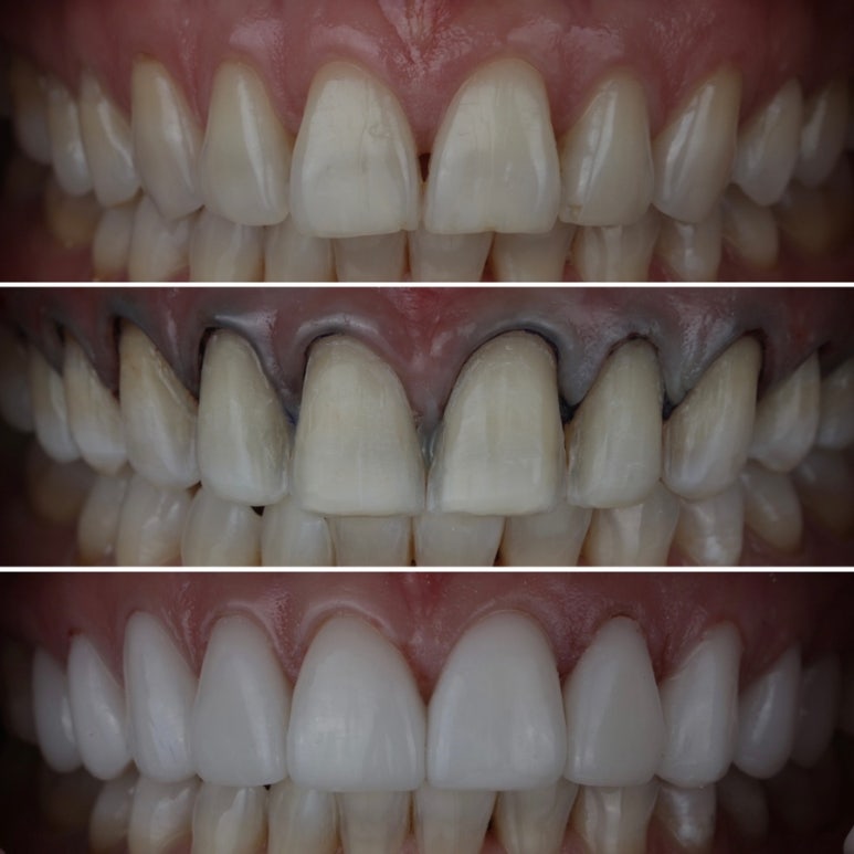
상 : 치료 전 하 : 치료 후
웃으실때 치아가 많이 보이시는 편이라 작은 어금니부터 작은 어금니까지 총 10개의 라미네이트 치료 수복을 진행했고, 아래는 치아미백을 진행했답니다. 총 치료기간은 3일이 소요되었어요.

상 : 치료 전 / 중 : 치아삭제 후 / 하 : 치료 완료
배열이 고르신 편이었기 때문에, 치과용 미세 현미경을 사용하여 최대한 치질을 보존하는 방법으로 미세하게 프랩을 진행하고, 약간의 잇몸 성형 또한 함께 시술했답니다.

치료 후 보다 자신감 있는 미소를 되찾게 되었다고 매우 만족해 하셔서 더욱 보람된 하루 였답니다.
Explore More
Keep Browsing This Clinic's Korean Content Trail.
Return to the source archive for more posts, or move back to the clinic profile to compare the rest of the clinic's public channels.