수치과병원(Su Dental Hospital)
English speaking dentist in Seoul (feat. Veneers in South Korea)
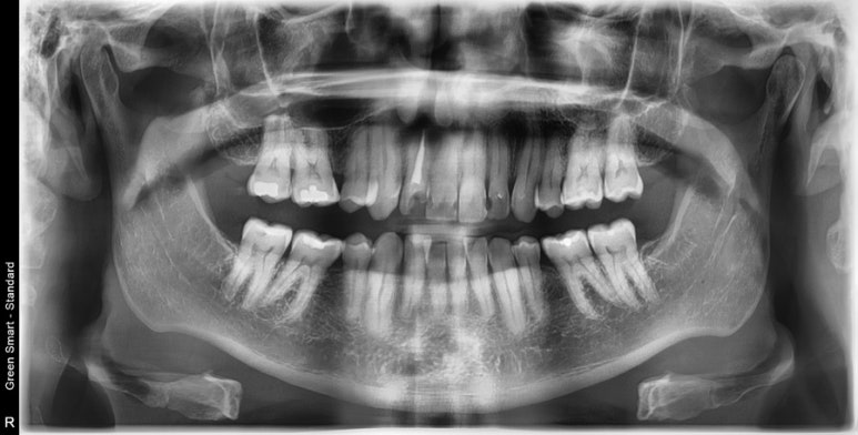
Today I’d like to introduce one of my memorable cases. The patient was from the States, a retired veteran who was recommended full mouth extraction and full mouth implant treatme...
Today I’d like to introduce one of my memorable cases.
The patient was from the States, a retired veteran who was recommended full mouth extraction and full mouth implant treatment, so-called all on 6 implant treatment.

I was shocked after I see this xray. He had a healthy bone and gum tissue, without any gum disease!
I was really surprised that a dentist recommended full mouth extraction and implant treatment to this kind of patient, especially in States.
I said to the patient, “If I were you, I definitely would save all the natural teeth!”
Patients often underestimate their natural teeth, for various reasons they can hate their own teeth. But I’d like to emphasize that well maintained natural teeth last even 60-80 years.

Full mouth veneers and crowns
I introduced him veneers and crowns instead of implant treatment. We can still save majority of natural teeth, and they are flossable, esthetic, and functional.

And definitely he was happy with his new smile! And he was very thankful that he didn’t pull any teeth out.
One of the happiest days as a dentist.
Explore More
Keep Browsing This Clinic's Korean Content Trail.
Return to the source archive for more posts, or move back to the clinic profile to compare the rest of the clinic's public channels.