수치과병원(Su Dental Hospital)
원데이 라미네이트 재시술, 언제, 왜 필요할까요??
아름다운 미소를 위해 했던 라미네이트 시술, 시간이 10여년 지나다 보면 다양한 이유로 재시술이 필요할 수 있답니다. 이번 포스팅에서는 라미네이트 재시술의 필요성, 과정, 주의사항을 함께 알아보도록 하고 저희 병원의 시그니처 시술인 ‘원데이 라미네이트 재시술‘ 에 대해서도 소개하고자 합니다. 라미네이트 재시술이 필요한...
아름다운 미소를 위해 했던 라미네이트 시술, 시간이 10여년 지나다 보면 다양한 이유로 재시술이 필요할 수 있답니다. 이번 포스팅에서는 라미네이트 재시술의 필요성, 과정, 주의사항을 함께 알아보도록 하고 저희 병원의 시그니처 시술인 ‘원데이 라미네이트 재시술‘ 에 대해서도 소개하고자 합니다.
라미네이트 재시술이 필요한 경우는?
아래와 같은 경우 재시술을 고려하게 된답니다.
- 라미네이트가 손상된 경우
-
외상이나 단단한 음식 섭취등으로 라미네이트가 금이 가거나 깨지는 경우
-
접착력이 약해져 떨어진 경우
- 변색 발생
- 시간이 지남에 따라 치아 내부가 검게 변하는 경우나 경계부위가 검게 변색되는 경우 등
- 치아 건강 문제
- 남아있는 치아에 충치가 생기거나 잇몸질환 등의 이유로 치아이동이 생기는 경우
- 심미적 불만족
- 초기 시술 결과가 마음에 들지 않거나, 보다 자연스러운 결과를 희망할 때
원데이 라미네이트 재시술, 어떻게 진행될까요?
- 진단 및 분석
꼭 필요할 때 재시술을 해야하기 때문에 재시술이 정말 필요한지, 개선한다면 어떤 점들을 개선할 수 있을지 분석하게 됩니다.
- 기존 라미네이트 제거 과정
이 과정이 정말 중요한데요, 최대한 치아를 삭제하지 않고 라미네이트만 제거해야하는데, 육안으로 경계가 구분이 어려워 저희 병원에서는 25배율 자이스 치과용 현미경을 사용하여 라미네이트 재시술을 하고 있답니다.

Zeiss extaro 300, 라미네이트 재시술
- Scan 혹은 본뜨기 과정
gingival cord 를 사용하여 잇몸과 치아의 경계면을 분리시킨 후 본을 뜨게 됩니다. 저희 병원에서는 명품 스캐너 프라임스캔을 사용하고 있어요.

- 라미네이트 디자인 및 제작 과정
저희 병원에서는 8개 치아까지는 가급적 원데이에 끝내는 원데이 라미네이트 시술을 하고 있구요.
정밀도를 자랑하는 프라임밀과 저희 수치과 병원의 금손 기공실장님의 장인정신이 깃든 손끝으로 하나하나 섬세하게 제작 된답니다.

- 색조 및 모양 평가 후 접착과정
이렇게 만들어진 라미네이트는 모양과 색상이 환자분 마음에 드시는 지 면밀히 관찰 후에 꼼꼼하게 접착과정을 거쳐 접착하게 된답니다.
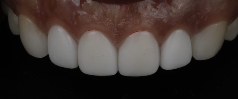
라미네이트 재시술 사례
아래 케이스의 경우 라미네이트 변색을 이유로 타치과에서 비교적 최근에 무삭제 라미네이트로 유명한 병원에서 시술을 받으셨다가, 결과가 만족스럽지 않아 저희 병원을 다시 찾아주신 환자분이었어요.

자세히 사진을 보시면 치아별로 색조가 고르지 못하고 얼룩덜룩한 모습, 측절치 색조가 다른 치아에 비해 밝고 나머지 중절치와 견치가 조금 어두운 부분이 관찰되었답니다. 물론 색에 예민하시지 않으신 분들은 원래 그래요, 하고 넘어가실 수도 있는데, 저희는 고민끝에 측절치 2개를 남겨두고 나머지 치아를 재시술 하기로 했답니다.
최대한 추가로 치아삭제를 하지 않고 기존 라미네이트를 뜯어보니 치아는 충분히 삭제되어있는 케이스였습니다.
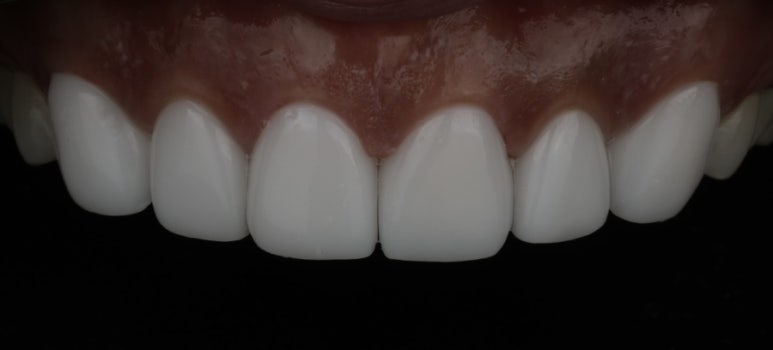
그리고 다시 제작해서 부착!

라미네이트 재시술 사례
위 차이가 보이신다면 꽤 날카로운 심미안을 가지셨다고 보여집니다. 조금 더 균일한 색상으로 수정했구요. 아주 작은 차이인것 같지만 환자분은 크게 만족하셨던 케이스라 뿌듯함이 있었답니다.

균일한 색조를 회복한 모습
환자분 한분 한분이 자신감있고 더욱 환하게 웃는 하루가 되기를 소망하는 마음, 저를 비롯한 수치과 병원 의료진의 한 마음이랍니다.
수치과병원 서울특별시 강남구 선릉로 823 한양타운 3층
궁금할 땐 네이버 톡톡하세요!
Explore More
Keep Browsing This Clinic's Korean Content Trail.
Return to the source archive for more posts, or move back to the clinic profile to compare the rest of the clinic's public channels.