아카이브 요약
이 페이지의 역할
하루플란트치과의원의 네이버 블로그 원문을 보존한 아카이브 페이지입니다. 임플란트 센터 카테고리의 하루플란트치과 변성만 대표원장 타치과 임플란트 불가판정 성공사례 글을 통해 병원의 한국어 정보 제공 방식과 진료 관련 안내 톤을 확인할 수 있습니다.
원문 검증
필요하면 원문 블로그와 병원 프로필로 바로 이동해 문맥을 다시 확인할 수 있습니다.
출처 아카이브 열기아카이브된 블로그 글
하루플란트치과의원 · Naver Blog
임플란트 식립 불가 판정 받았다면? 안녕하세요, 하루플란트치과 입니다. 오늘은 타치과에서 임플란트 식립이 어렵다고 판정 받은분, 혹은 대학병원에 내원하라는 진단을 받은 분들의 수술 성공 사례를 가져와보았습니다. 저희 치과에는 유독 고난도 임플란트, 어려운 케이스의 환자분들이 많이 내원하고 계신데요. ...
게시일
2023년 6월 7일
원문 기준으로 확인된 발행일입니다.
카테고리
임플란트 센터
원문 블로그 카테고리를 정리해 함께 표시합니다.
이미지 수
11
현재 아카이브에 연결된 이미지 수입니다.
아카이브 요약
하루플란트치과의원의 네이버 블로그 원문을 보존한 아카이브 페이지입니다. 임플란트 센터 카테고리의 하루플란트치과 변성만 대표원장 타치과 임플란트 불가판정 성공사례 글을 통해 병원의 한국어 정보 제공 방식과 진료 관련 안내 톤을 확인할 수 있습니다.
원문 검증
필요하면 원문 블로그와 병원 프로필로 바로 이동해 문맥을 다시 확인할 수 있습니다.
출처 아카이브 열기임플란트 식립 불가 판정 받았다면?

안녕하세요, 하루플란트치과 입니다.
오늘은 타치과에서 임플란트 식립이
어렵다고 판정 받은분,
혹은 대학병원에 내원하라는 진단을
받은 분들의 수술 성공 사례를 가져와보았습니다.
저희 치과에는 유독 고난도 임플란트,
어려운 케이스의 환자분들이
많이 내원하고 계신데요.
의료진의 임플란트 치료 능력은
천차만별이기 때문에
몇 군데 치과의 의견만으로
치료 방법이 결정될 수는 없습니다.
하루플란트치과 에서는
24년 경력의 서울대 출신
임플란트 전문가 변성만 대표원장이
직접 수술을 진행하고 있어
고난도 케이스도 성공적인
임플란트 수술이 가능합니다.

그동안 씹지도 못하고 일상생활이 많이 힘드셨죠?
하루플란트치과 임플란트로
씹는 즐거움을 되찾아 드리겠습니다!
타치과 임플란트 식립 불가 판정
수술 성공 케이스 1

2021.04
이 분은 상악동이 너무 크고
하치조 신경과의 거리가 너무 가까워서
타치과에서 임플란트 불가 판정을 받고
하루플란트치과에 내원하신 분입니다.
하치조 신경은 아래턱 신경에서 일어나
턱뼈관으로 들어가 아래 치아와
아래턱뼈에 분포하는 신경으로
하치조 신경과의 거리가 너무 가까운 경우
뼈이식을 통해서 잇몸뼈를 확보해준다면
하치조 신경과의 거리가 확보되어
임플란트를 식립할 수 있는 공간이 생깁니다.

2022.12
많은 양의 고난도 뼈이식이
필요한 상황이었는데요,
잇몸 상태에 맞는 적절한 양의
골 이식재를 사용해 뼈이식 후
임플란트를 완성한 엑스레이 사진입니다.

임플란트 완성 후 구강 내 사진입니다.
아주 튼튼하게 식립되었고
환자분도 매우 만족한 사례입니다.
타치과 임플란트 식립 불가 판정
수술 성공 케이스 2

2021.08
다음은 치아가 하나도 없는
무치악환자분의 전악 임플란트 사례인데요.
이 분 또한 하치조 신경까지 거리가 매우 가깝고
상악동 골흡수가 매우 심해
임플란트 수술 불가 판정을 받고
하루플란트치과 를 찾아오셨습니다.

수술 전 구강 내 사진입니다.
잇몸뼈 흡수가 매우 심한 상태였습니다.
이 상태에서 임플란트를 식립할 경우
쉽게 흔들리거나 탈락할 수 있기 때문에
뼈이식을 우선적으로 진행해야 합니다.

2022.03
고난도 뼈이식 후 전체 임플란트가
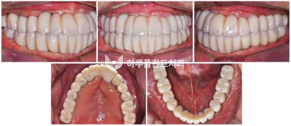
훌륭하게 마무리 되었습니다.

난이도 높은 전악임플란트가
성공적으로 마무리 된 후 의 구강 사진입니다.
치아의 기능은 물론 심미성까지
완벽히 회복된 모습이죠.
위의 증례들 처럼 타치과에서
임플란트 불가 판정을 받은
매우 불리한 조건의 잇몸뼈에서도
고난이도 임플란트 케이스 경험이 풍부한
노하우를 갖고 있는 훌륭한 의료진이라면
충분히 좋은 결과를 낼 수 있습니다.
아무리 잇몸뼈 환경이 좋지 않더라도
임플란트가 불가능한 경우는 많지 않으니
최소 2~3군데 이상의 치과에 방문하시어
충분한 설명을 들으신 후
신중한 선택하시기 바랍니다.
뛰어난 작가를 평가하는 기준이
그 작가의 작품이듯이
뛰어난 임플란트 의료진의 기준은
그 의료진의 논문, 학위 등이 아닌
다양한 임상경험과, 실제 임플란트 치료 결과물일 것입니다.

강남역 하루플란트치과 에서는
20년 이상의 경력을 갖춘 변성만 대표원장님의
풍부한 노하우를 바탕으로
타치과실패케이스, 전악임플란트 등의
고난도 임플란트가 가능합니다.
하루플란트치과 의 정직하고 진정성있는 진료와
개인별 1:1 맞춤 진료 시스템으로
높은 만족감을 느껴보세요!
☎ 문의전화 02-534-2875
💬카카오톡 HARUPLANT
※ 상기 치료 전후 사진은 동일 인물, 동일 조건으로 촬영하였습니다.
