아카이브 요약
이 페이지의 역할
하루플란트치과의원의 네이버 블로그 원문을 보존한 아카이브 페이지입니다. 일반진료 센터 카테고리의 강남역스케일링 통증,시림 없는 프리미엄 에어플로우 스케일링 글을 통해 병원의 한국어 정보 제공 방식과 진료 관련 안내 톤을 확인할 수 있습니다.
원문 검증
필요하면 원문 블로그와 병원 프로필로 바로 이동해 문맥을 다시 확인할 수 있습니다.
출처 아카이브 열기아카이브된 블로그 글
하루플란트치과의원 · 하루플란트치과
안녕하세요, 강남역10번출구에 위치한 하루플란트치과입니다. 여러분들은 주기적인 스케일링을 통해 구강관리 하고 계신가요? 구강건강을 지키는 가장 기본이 바로 정기 검진과 스케일링으로 일반적으로는 1년에 1~2회 정도 권장되고 있습니다. 하지만 여러 가지 이유로 스케일링을 미루고 있는 분들이 많을 텐데요, ...
게시일
2023년 8월 18일
원문 기준으로 확인된 발행일입니다.
카테고리
일반진료 센터
원문 블로그 카테고리를 정리해 함께 표시합니다.
이미지 수
18
현재 아카이브에 연결된 이미지 수입니다.
아카이브 요약
하루플란트치과의원의 네이버 블로그 원문을 보존한 아카이브 페이지입니다. 일반진료 센터 카테고리의 강남역스케일링 통증,시림 없는 프리미엄 에어플로우 스케일링 글을 통해 병원의 한국어 정보 제공 방식과 진료 관련 안내 톤을 확인할 수 있습니다.
원문 검증
필요하면 원문 블로그와 병원 프로필로 바로 이동해 문맥을 다시 확인할 수 있습니다.
출처 아카이브 열기
안녕하세요,
강남역10번출구에 위치한 하루플란트치과입니다.
여러분들은 주기적인 스케일링을 통해
구강관리 하고 계신가요?
구강건강을 지키는 가장 기본이
바로 정기 검진과 스케일링으로
일반적으로는 1년에 1~2회 정도 권장되고 있습니다.
하지만 여러 가지 이유로 스케일링을
미루고 있는 분들이 많을 텐데요,
다양한 이유 중 이 시림 증상 때문에
꺼리는 분들도 적지 않을 거라 생각합니다.
게다가 스케일링할 때 나는 특유의 소리에
공포감을 느끼는 분들도 많이 계시죠.
일반적인 스케일링은 갈고리 형태의 스케일러를
이용해 직접적으로 치아를 긁어내거나
초음파 진동 기구를 통해 치석을 떨어트리는
방식이기 때문에 잇몸을 자극해
이 시림 현상이 발생할 수 밖에 없습니다.
그래서 하루플란트치과에서는
긁어내지 않는 에어플로우 스케일링을 진행합니다.


스위스 EMS의 최고급 스케일링 장비인
에어플로우(AirFlow)를 이용한 스케일링인데요,
고가의 장비이다보니 보유하고 있는곳이 드믈어요.
그러니 사전에 해당 장비를 보유하고 있는지
체크해보시는 것이 좋겠습니다.

하루플란트치과는 국내에 몇 안 되는
전 세계적으로 인정받는 GBT 인증 치과입니다.
GBT 인증 치과는 스위스 GBT 본사의
프로토콜을 활용하여 구강 건강 예방 및
유지 관리 치료를 하는 치과로,
EMS의 공식 인증을 받은 곳입니다.
GBT 교육을 통해 더욱더 전문적인
예방관리를 시행하고
향상된 진료를 제공하고 있습니다.


에어플로우 프리미엄 스케일링은
일반적인 스케일링과 달리
밀가루보다 고운 입자의 파우더가
물과 함께 강한 압력으로 분사되며
치아 표면 바이오 필름뿐만 아니라
플러그, 착색까지 통증 없이 부드럽게
제거해 주는 프리미엄 스케일링 기계입니다.
*바이오필름이란?
치아 표면에 부착하는 미생물 군집을 말하며
치주염, 치아우식증 등 다양한 구강질환의
원인으로 꼽히고 있습니다.
그러므로 올바른 양치질과 주기적인 스케일링을
통해 바이오필름을 제거해 주는 것이 좋습니다.
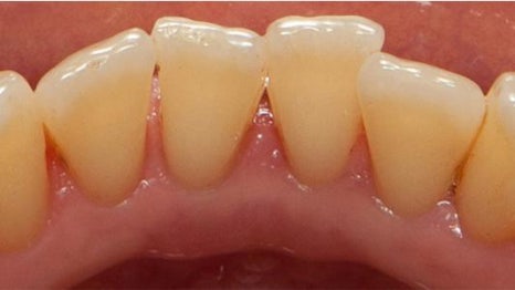
바이오필름


치은연상 및 치은연하 4mm까지의 바이오필름을 효과적으로 제거합니다.
스테인


커피, 차, 흡연 등으로 발생한 착색을
최소 침습법으로 제거합니다.
치석


완전 석회화 되지 않은 초기의 치석을 제거합니다.

더불어 구강 컨디션에 따라
강도를 10단계까지 조절할 수 있어
잇몸 상태가 좋지 않거나
관리가 힘든 교정장치 사이,
임플란트 주변, 보철물 주변은 물론
어린이에게도 자극을 주지 않고
편안하게 받을 수 있다는 장점이 있습니다.

어린이 스케일링 케어

교정 스케일링 케어

임플란트 스케일링 케어
에어플로우 스케일링을 받게 되면 상쾌하고
치아 표면이 매끈하게 변한 것을
확연하게 느끼실 수 있습니다.
환자분들도 스케일링 후
굉장히 만족하시더라구요ㅎㅎ
하루플란트치과에서는 추가 비용 없이
프리미엄 에어플로우 스케일링을
진행하실 수 있습니다.


에어플로우 스케일링 받는 강민지 대표원장님
하루플란트치과 원장님들 또한 1년에 한 번씩 꾸준히
에어플로우 스케일링을 진행하고 있답니다!
스케일링은 다른 치과 치료에 비해
비교적 간단하고 시간도 오래 걸리지 않기 때문에
아무 치과에 방문해서 받아도 된다고
생각하시는 분들도 계시는데요.
아무리 간단한 진료라도
어느 정도는 알아보고 가셔야 합니다.
스케일링 장비와 의료진의 실력에 따라
만족도가 크게 달라지기 때문입니다.
하루플란트치과에서 스케일링을 진행하는의료진은
모두 치과위생사 국가전문자격증을 취득한
숙련된 치과위생사로서 믿고 맡겨주셔도 됩니다.
스케일링 귀찮아서 미루고 계시다면
강남역 하루플란트치과에 내원하셔서
꼭 받아보시길 바랍니다.
더 궁금하신 점이 있다면
하루플란트치과로 주저하지 마시고 편하게 연락 주세요.
항상 진정성 있고 친절한 답변 약속드리겠습니다.
감사합니다 :)
📞 문의전화 02-534-2875
💬카카오톡 HARUPLANT