아카이브 요약
이 페이지의 역할
하루플란트치과의원의 네이버 블로그 원문을 보존한 아카이브 페이지입니다. 하루플란트 방송출연 카테고리의 임플란트 전문가 변성만 원장 TV 출연 - 통증 줄인 무절개 임플란트 글을 통해 병원의 한국어 정보 제공 방식과 진료 관련 안내 톤을 확인할 수 있습니다.
원문 검증
필요하면 원문 블로그와 병원 프로필로 바로 이동해 문맥을 다시 확인할 수 있습니다.
출처 아카이브 열기아카이브된 블로그 글
하루플란트치과의원 · Naver Blog
안녕하세요~ 강남역 하루플란트치과입니다^^ 하루플란트치과 변성만 대표원장님께서 TV아름다운내인생에 출연하셨어요~ 강남무절개임플란트 치과의사 변성만 평소 많은 분들이 궁금해하시는 임플란트 중에서도 통증, 출혈 없이 빠른 회복이 가능한 무절개 임플란트에 대한 이야기를 나누고 오셨다고합니다ㅎㅎ 임플란트는 치아...
게시일
2023년 11월 24일
원문 기준으로 확인된 발행일입니다.
카테고리
하루플란트 방송출연
원문 블로그 카테고리를 정리해 함께 표시합니다.
이미지 수
16
현재 아카이브에 연결된 이미지 수입니다.
아카이브 요약
하루플란트치과의원의 네이버 블로그 원문을 보존한 아카이브 페이지입니다. 하루플란트 방송출연 카테고리의 임플란트 전문가 변성만 원장 TV 출연 - 통증 줄인 무절개 임플란트 글을 통해 병원의 한국어 정보 제공 방식과 진료 관련 안내 톤을 확인할 수 있습니다.
원문 검증
필요하면 원문 블로그와 병원 프로필로 바로 이동해 문맥을 다시 확인할 수 있습니다.
출처 아카이브 열기안녕하세요~
강남역 하루플란트치과입니다^^
하루플란트치과 변성만 대표원장님께서
TV아름다운내인생에 출연하셨어요~

강남무절개임플란트 치과의사 변성만
평소 많은 분들이 궁금해하시는
임플란트 중에서도
통증, 출혈 없이 빠른 회복이 가능한
무절개 임플란트에 대한
이야기를 나누고 오셨다고합니다ㅎㅎ
임플란트는 치아를 잃었을 때
가장 먼저 떠올리게 되는
대중적인 치료법입니다.
그러나 통증에 대한 부담과 걱정 때문에
치료를 망설이고 계신 분들이 많을 텐데요.
임플란트, 통증 없이
편안하고 안전하게 할 수는 없을까?
이번 방송은 위와 같은
고민을 갖고 계신 분들께
매우 도움이 될 것 같습니다.
통증과 치료기간을 단축시키는
무절개 임플란트
강남무절개임플란트 치과의사 변성만
보통 임플란트 수술은
절개 방식으로 하는 것이 일반적입니다.
그러다 보면 통증을 빼놓고 말할 수가 없는데
절개 없이 식립할 수 있는 방법이 있습니다.

강남무절개임플란트 치과의사 변성만
어떻게 잇몸을 절개하지 않고 식립이 가능할까요?
절개하지 않고도 잇몸뼈의 모양을
입체적으로 알 수 있게 해주는
진단핀을 사용하기 때문인데요.
사진과 함께 설명도와드리겠습니다^^


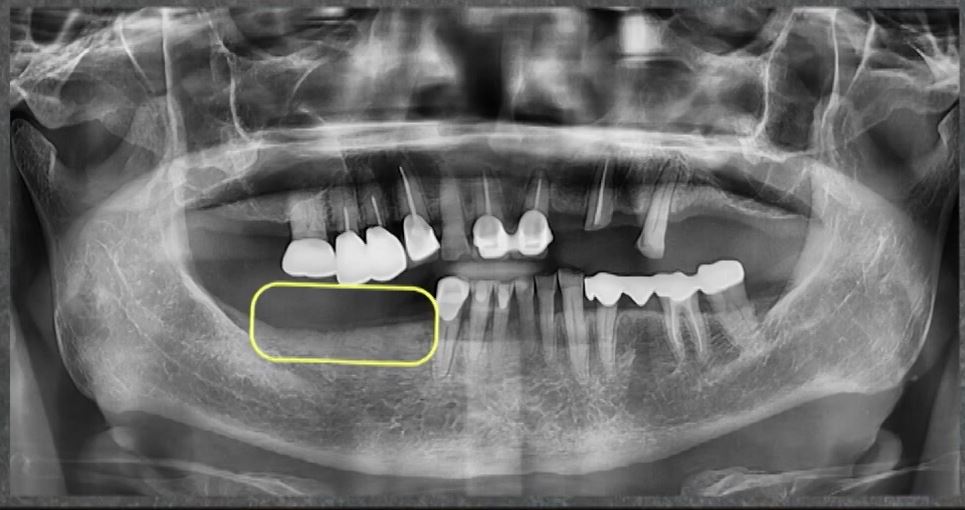
사진에 보이는 네모칸 부위에
3개의 임플란트를
무절개로 식립할 예정입니다.
타치과에서 뼈이식 진단을 받고
하루플란트치과를 찾아주신 분인데요.
사진으로 보시다시피
잇몸뼈의 폭이 매우 좁은 상태입니다.

먼저 무절개 임플란트를 위해
매우 얇은 진단핀을 삽입합니다.

진단핀 삽입 직후의 모습을 보면
절개가 전혀 없이 깨끗한 모습을 확인할 수 있습니다.
이렇게 진단핀을 꽂은 상태에서 CT촬영을 하는데요.


CT 단면에서 3차원적으로
진단핀의 위치를 확인한 결과,
3개 중 가운데 핀 위치가
편측으로 밀려 위치 수정이 필요한 상태입니다.

올바른 위치로 수정 후
촬영한 CT촬영 사진입니다.
진단핀이 정확한 수술을 할 수 있도록
매우 중요한 이정표 역할을 해줍니다.
특히 이렇게 잇몸뼈의 폭이 좁은 경우에는
진단핀의 역할이 더욱더 중요하죠.


다음은 드릴링 과정입니다.
진단핀의 상부와 딱 맞게 특수 제작된
내비게이션 드릴을 이용해
진단핀의 위치와 방향을
그대로 따라 들어가게 되는데
그래서 이름이 "내비게이션" 드릴 입니다.


내비게이션 드릴을 이용해 진단핀을 제거한 후
임플란트를 식립한 최종 엑스레이 사진인데요.
매우 정확한 위치와 방향으로 식립된 것이 보이시죠?

정 중앙에 아주 정확하게
임플란트가 위치되어 있으며
심지어는 좁았던 잇몸뼈의 폭이
넓어진 것도 확인할 수 있습니다.

출혈과 붓기 없이
깨끗한 상태죠~?

수술 당일 최종 보철까지 완성 후
엑스레이 사진입니다.
보통 임플란트 하면 몇 개월은 걸린다고
생각을 하고 계실 텐데요.
이렇게 무절개임플란트 수술을 하게 된다면
잇몸도 열지 않고, 뼈이식 없이
당일 최종 보철까지 가능하니
많은 환자분들께서 만족하는 시술입니다.
무절개 임플란트는
출혈과 통증을 줄일 뿐만 아니라
내원횟수도 줄어들고 경제적으로도
많은 도움이 되는 장점이 있습니다.
하루플란트치과 변성만 원장님의
무절개 임플란트 후기가 더 궁금하시다면
아래 #하루플란트치과 유튜브 영상을
참고해주세요~
👇👇👇
☎ 문의전화 02-534-2875
💬카카오톡 하루플란트치과의원